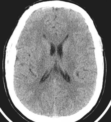
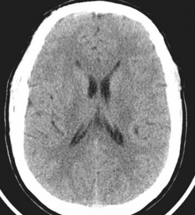
Il s’agit d’un scanner cérébral sans injection à la phase aigue d’un accident ischémique cérébral (AIC) suspecté. L’infarctus peut se traduire par une hypodensité focale ou par un aspect normal comme ici, dans les toutes premières heures.