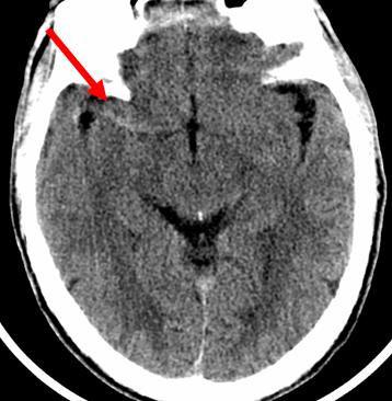
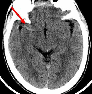
TDM cérébral sans injections : Hyperdensité sur le trajet de l’artère sylvienne (flèche) réalisant une trop belle artère, correspond à un thrombus frais endoluminal (occlusion).Il s’agit d’un signe précoce d’accident ischémique cérébral.