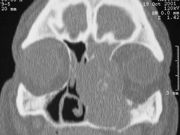
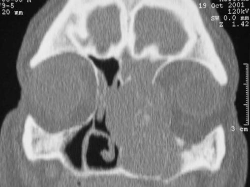
Coupe scannographique coronale montrant une tumeur ethmoïdale gauche invasive, lysant les parois médiale et latérale. Cet aspect agressif est fortement évocateur d’un adénocarcinome de l’ethmoïde. Ces tumeurs restent latentes très longtemps et sont souvent diagnostiquées à un stade tardif. Elles doivent être évoquées et recherchées devant toute sinusite rebelle au traitement, notamment si le patient rapporte des épisodes d’épistaxis récidivants toujours du même côté.