Maladie d'Alzheimer
DEMENCE D'ALZHEIMER
Image
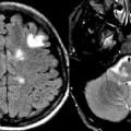
Encéphalite dysimmunitaire à Ac anti-GABA-B
ENCEPHALITE
Image
Syndrome de Korsakoff
TROUBLE DE LA MEMOIRE
CARENCE VITAMINIQUE
Image
Démence sémantique
DEMENCE SEMANTIQUE
TROUBLE DE LA MEMOIRE
Image
Encéphalite toxique
TROUBLE DE LA MEMOIRE
ENCEPHALITE
Image
Image
Épilepsie de l’enfant
EPILEPSIE
Image
Trichoteiromanie
ALOPECIE
Image
Acné iatrogène
ACNE
MALADIE IATROGENE
Image
Adénocarcinome de l’anus
ADENOCARCINOME COLORECTAL
Image
Pterygium colli
PTERYGIUM COLLI
Image
Entorse grave du pouce
ENTORSE
Image
Entorse grave du pouce
ENTORSE
Image
Tumeur de vessie
TUMEUR DE LA VESSIE URINAIRE
CANCER DE LA VESSIE
Image
Rectocolite hémorragique active et cicatricielle, visible à la coloscopie.
MALADIES INFLAMMATOIRES INTESTINALES
RECTOCOLITE
Image
Sclérose en plaques : exemples d'images de lésions à l'IRM
SCLEROSE EN PLAQUES
Image
Incontinentia pigmenti
MALADIES GENETIQUES DE LA PEAU
INCONTINENTIA PIGMENTI
Image
Kératodermie palmo-plantaire diffuse
MALADIES GENETIQUES DE LA PEAU
KERATODERMIE PALMAIRE
KERATODERMIE PALMOPLANTAIRE
Image
Onychomycose chronique
POLYENDOCRINOPATHIE AUTOIMMUNE TYPE 1
ONYCHOMYCOSE
Image
Kératodermie palmo-plantaire diffuse
MALADIES GENETIQUES DE LA PEAU
KERATODERMIE PALMAIRE
KERATODERMIE PALMOPLANTAIRE
Image
Pelade chronique
PELADE
EPIDERMOLYSE BULLEUSE
MALADIE GENETIQUE
Image
Épidermolyse bulleuse
MALADIES GENETIQUES DE LA PEAU
BULLE CUTANEE
Image
Chalazion de la paupière supérieure droite
CHALAZION
PATHOLOGIE DE LA PAUPIERE
Image
Zona ophtalmique
ZONA OPHTALMIQUE
PATHOLOGIE DE LA PAUPIERE
Image
Ptosis aponévrotique bilatéral
PATHOLOGIE DE LA PAUPIERE
PTOSIS
Image