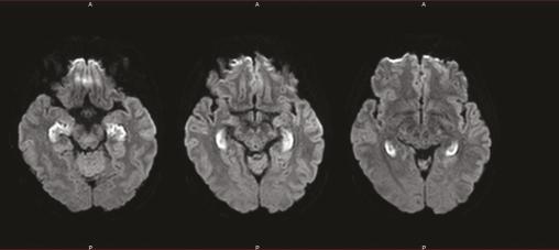
IRM cérébrale en séquence de diffusion. Coupes axiales sur les hippocampes révélant des lésions toxiques dues aux opioïdes et provoquant une amnésie hippocampique.
Lire aussi
Article
Article
IRM cérébrale en séquence de diffusion. Coupes axiales sur les hippocampes révélant des lésions toxiques dues aux opioïdes et provoquant une amnésie hippocampique.