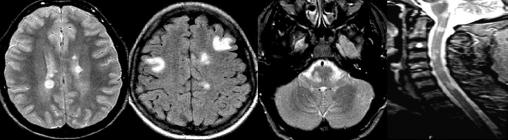
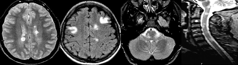
De gauche à droite : périventriculaires, corticales/juxtacorticales, infratentorielles et médullaires. Les lésions périventriculaires doivent être au contact des ventricules et sont ovoïdes et perpendiculaires à l’axe des ventricules. Les lésions juxtacorticales doivent être au contact du cortex. 

Avec l’aimable autorisation du Pr. S Vukusic.