Vous êtes interne de neurologie de garde aux urgences. Dans la soirée, un homme de 36 ans consulte pour une forte douleur de l’œil droit. Elle a démarré vers 14 h sans événement déclencheur particulier, et n’a fait qu’augmenter depuis, arrivant à une évaluation à 9/10 par le patient, principalement lorsqu’il essaie de mobiliser son regard.
Il n’a pas d’antécédent connu hormis une appendicectomie il y a 4 ans et une mononucléose à ses 25 ans, ses vaccins sont à jour, il ne prend pas de traitement. Il fume 1 paquet de cigarettes par jour depuis ses 16 ans, boit environ 3-4 verres d’alcool par semaine. Il n’a pas voyagé récemment.
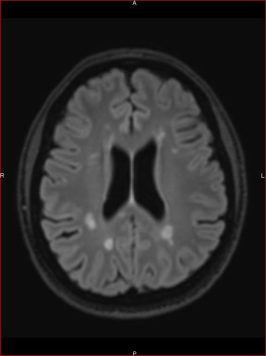
Vous examinez son œil : il vous dit que l’ouvrir lui donne rapidement mal à la tête car cet œil « voit flou » depuis 1 heure. L’œil n’est pas rouge, les pupilles sont symétriques et réactives. Après exposition à la lumière, les réflexes photomoteurs direct droit et consensuel gauche sont abolis, alors que les consensuel droit et direct gauche sont retrouvés intacts.
Le patient est apyrétique. L’examen cardiovasculaire est sans particularité, les champs pulmonaires sont libres et il ne tousse pas, l’examen cutané ne retrouve pas d’anomalie, il n’a pas de déficit sensitivomoteur, pas de syndrome cérébelleux, les réflexes ostéotendineux sont retrouvés bilatéraux et symétriques, et les paires crâniennes, en dehors de cette baisse de l’acuité visuelle, sont intègres.
Il n’a pas d’antécédent connu hormis une appendicectomie il y a 4 ans et une mononucléose à ses 25 ans, ses vaccins sont à jour, il ne prend pas de traitement. Il fume 1 paquet de cigarettes par jour depuis ses 16 ans, boit environ 3-4 verres d’alcool par semaine. Il n’a pas voyagé récemment.
Vous examinez son œil : il vous dit que l’ouvrir lui donne rapidement mal à la tête car cet œil « voit flou » depuis 1 heure. L’œil n’est pas rouge, les pupilles sont symétriques et réactives. Après exposition à la lumière, les réflexes photomoteurs direct droit et consensuel gauche sont abolis, alors que les consensuel droit et direct gauche sont retrouvés intacts.
Le patient est apyrétique. L’examen cardiovasculaire est sans particularité, les champs pulmonaires sont libres et il ne tousse pas, l’examen cutané ne retrouve pas d’anomalie, il n’a pas de déficit sensitivomoteur, pas de syndrome cérébelleux, les réflexes ostéotendineux sont retrouvés bilatéraux et symétriques, et les paires crâniennes, en dehors de cette baisse de l’acuité visuelle, sont intègres.
Question 1 - Devant ce tableau, vous évoquez en priorité (une ou plusieurs réponses exactes) :
L’œil serait plutôt rouge, non douloureux (une simple gêne), sans baisse de l’acuité visuelle.
L’œil serait bien douloureux avec une baisse de l’acuité visuelle, mais il serait également rouge.
Les atteintes vasculaires de la rétine n’entraînent pas de douleur.
Les AVC sont très rarement pourvoyeurs de douleur, et donnent plutôt des signes négatifs (perte d’une fonction).

Lorsqu’il y a une atteinte du nerf optique, la motricité intrinsèque de l’œil concerné est intacte, alors que l’information lumineuse n’est pas relayée au cerveau, et donc n’active pas le réflexe photomoteur. C’est pour cela qu’il y a abolition des réflexes photomoteurs direct ipsilatéral et consensuel controlatéral à la lésion, mais conservation des réflexes photomoteurs consensuel ipsilatéral et direct controlatéral à la lésion.