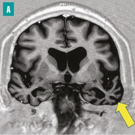
IRM cérébrale en séquence d’inversion-récupération, coupe coronale. Atrophie du cortex temporal prédominant à gauche, dont témoigne l’élargissement des sillons corticaux (flèche)
IRM cérébrale en séquence d’inversion-récupération, coupe coronale. Atrophie du cortex temporal prédominant à gauche, dont témoigne l’élargissement des sillons corticaux (flèche)