IRM cérébrale en séquence FLAIR. Coupes hippocampiques.
Colonne 1 : hippocampes normaux (flèches).
Colonne 2 : hippocampes atrophiés (flèches), dont témoigne l’élargissement de la corne temporale, signes d'une maladie d'Alzheimer
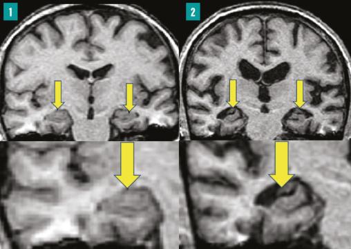
IRM cérébrale en séquence FLAIR. Coupes hippocampiques.
Colonne 1 : hippocampes normaux (flèches).
Colonne 2 : hippocampes atrophiés (flèches), dont témoigne l’élargissement de la corne temporale, signes d'une maladie d'Alzheimer