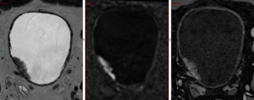
IRM en séquences T2, diffusion et T1 gadolinium : tumeur de vessie de 34 × 10 mm à la face latérale droite, à base d’implantation sessile, au contact du méat urétéral, VIRADS 3/5 (pas de modification du signal de la couche musculaire). Absence d’adénopathies pelviennes, d’extension extravésicale ou d’atteinte du cadre osseux. À l’examen anatomopathologique : classification Ta de haut grade/G3.
Lire aussi
Article Web
Article