Fracture de Pouteau-Colles gauche
FRACTURE DE POUTEAU-COLLES
Image
Fracture articulaire en T sagittale droite
FRACTURES ARTICULAIRES
FRACTURES DU RADIUS
Image
Ostéosynthèse par plaque antérieure « console » sur radius droit
FRACTURES DU RADIUS
OSTEOSYNTHESE
Image
Fracture marginale antérieure droite
FRACTURES ARTICULAIRES
FRACTURES DU RADIUS
Image
Hémophilie acquise
HEMOPHILIE ACQUISE
Image
Lithiase d'oxalate de calcium
UROLITHIASE
Image
Calculs multiples de whewellite
UROLITHIASE
HYPEROXALURIE
Image
Calcul de carbapatite de type IVa1
UROLITHIASE
HYPERCALCIURIE
Image
Calcul d’acide urique
UROLITHIASE
Image
Calcul coralliforme du rein gauche
CALCULS CORALLIFORMES
Image
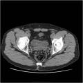
Calcul urétéral
CALCULS URETERAUX
COLIQUE NEPHRETIQUE
Image
Calcul rénal
CALCULS RENAUX
Image
Lymphome T cutané : mycosis fongoïde
MYCOSIS FONGOIDE
Image
Lymphome T cutané : mycosis fongoïde
MYCOSIS FONGOIDE
Image
Image
Lupus cunaté subaigu
LUPUS
Image
Lupus tumidus
LUPUS
Image
Lupus cutané aigu
LUPUS
Image
Lupus engelure
LUPUS
Image
Signe de Romaña
MALADIE DE CHAGAS
Image
Lymphome T cutané
LYMPHOME T CUTANE
Image
Anomalie d'implantation de l'artère coronaire gauche naissant de l'artère pulmonaire (syndrome de Bland-White-Garland)
SYNDROME DE BLAND-WHITE-GARLAND
Image
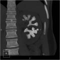
Mal de Pott (D11-D12).
TUBERCULOSE VERTEBRALE
Image
Mal de Pott
TUBERCULOSE VERTEBRALE
Image
Infection de prothèse de hanche droite
INFECTIONS OSSEUSES
Image