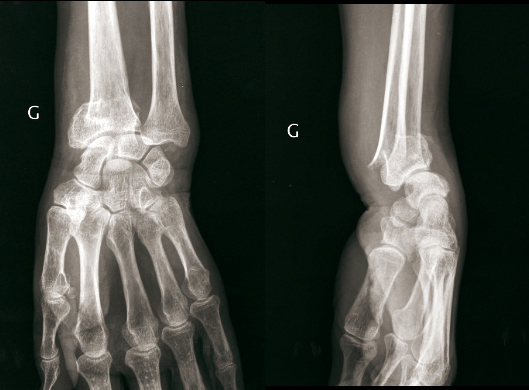
© Henry Coudane, Frédéric Éloy (La Revue du Praticien) Fracture extra-articulaire à déplacement postérieur. (À gauche) Radio de face. (À droite) Radio de profil.