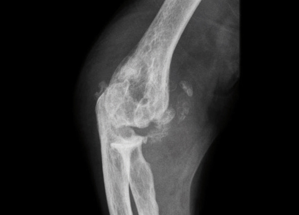
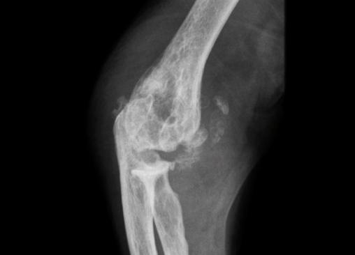
© Gérard Chalès, Pascal Guggenbuhl (La Revue du Praticien) Radiographie du coude (profil). Chondrocalcinose articulaire : arthropathie destructrice. Extrait de : Arthropathie microcristalline