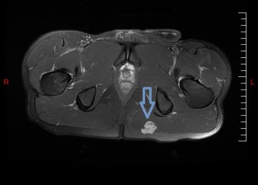
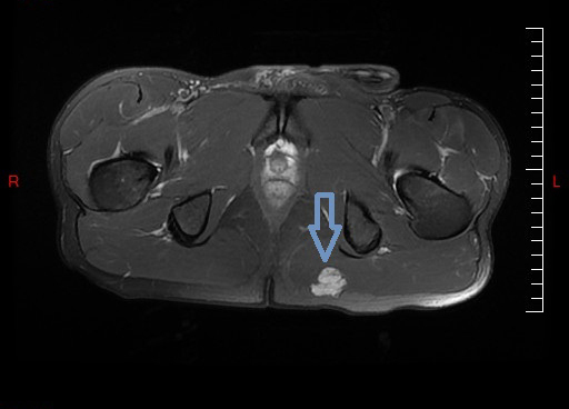
Collection P. Frances IRM d'une myosite ossifiante circonscrite (MOC) post-traumatique développée dans le muscle grand glutéal (ex-grand fessier)