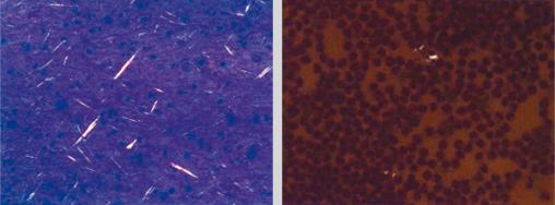
Aspect microscopique de cristaux d'urate de sodium (à gauche) et pyrophosphate de calcium (à droite). Coloration MGG ; grossissement x 400. Le diagnostic étiologique d’une arthrite microcristalline est apporté par la mise en évidence de cristaux d’urate monosodique en cas de goutte, de pyrophosphate de calcium en cas de chondrocalcinose articulaire. Tiré de : Guggenbuhl P, Coiffier G, Albert JD, Chalès G. Dossier. Arthropathies microcristallines. Rev Prat 2015;65(5):665-82. Courtoisie du Dr N. Stock, service d'anatomie et cytologie pathologiques (pôle cellules et tissus, CHU Pontchaillou, Rennes).