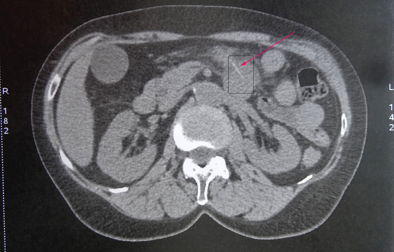
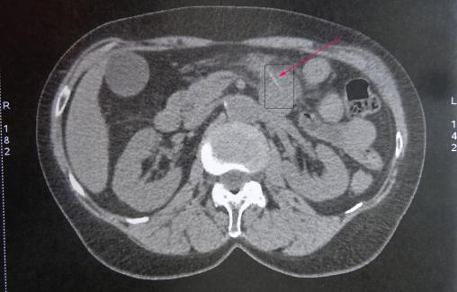
Collection P. Frances Scanner abdominal montrant une arête de poisson fichée au niveau du jéjunum (flèche rouge), à l’origine d’un début de perforation de l'intestin grêle