Recherche avancée

Précisez votre recherche

Par mots
Par parution

Affinez votre recherche en cliquant sur les rubriques (articles, dossiers, tests...)

Displaying 426 - 450 of 1537

Dermatoses et envenimations marines

EAU MER
EAU DOUCE
MORSURES ET PIQURES
ENVENIMATION
Image

Maladie d’Ollier

ENCHONDROMATOSE
Image
promo

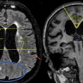
Hydrocéphalie à pression normale

HYDROCEPHALE CHRONIQUE DE L'ADULTE
HYDROCEPHALIE
Image

Syndrome douloureux régional complexe

SYNDROME DOULOUREUX REGIONAL COMPLEXE
GONALGIE
Image

Larva migrans

LARVA MIGRANS
I
Image

Lymphome hodgkinien

MALADIE DE HODGKIN
HISTOLOGIE
Image

Endométriose profonde

ENDOMETRIOSE
Image

Endometriose ovarienne

ENDOMETRIOSE
Image

Goutte : aspect en double contour

ARTHROPATHIES A CRISTAUX
Image

Fasciite à streptocoque

INFECTIONS DES TISSUS MOUS
FASCIITE
Image

Anatomie des gaines synoviales des tendons fléchisseurs des doigts

INFECTIONS DES TISSUS MOUS
CELULLITE SOUS-CUTANEE
BOURSE SYNOVIALE
Image

Phlegmon de l'index

INFECTIONS DES TISSUS MOUS
CELULLITE SOUS-CUTANEE
Phlegmon
Image
Image
Image