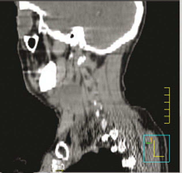
TDM simple : carcinome épidermoïde du sinus piriforme gauche avec une adénopathie tumorale nécrosée sous-digastrique gauche.