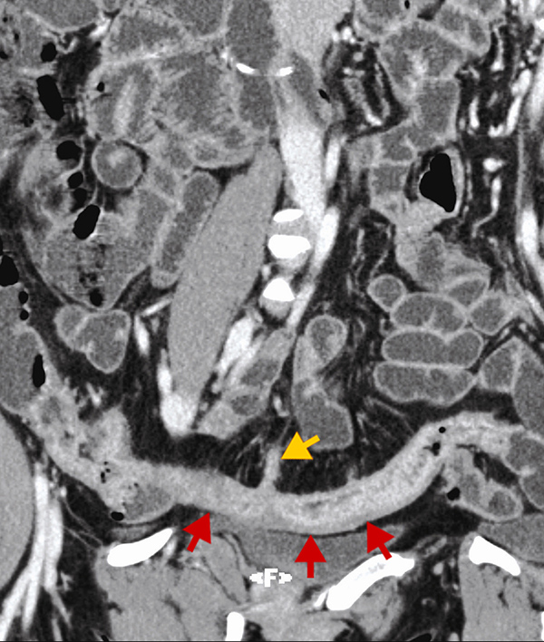
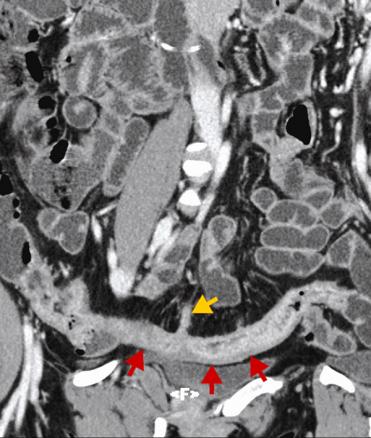
Entéroscanner avec ingestion de mannitol et injection de produit de constrate iodé. Reconstruction curviligne montrant une atteinte inflammatoire de la dernière anse (flèches rouges) avec fistule (flèche jaune) sur le bord mésentérique de l'anse.