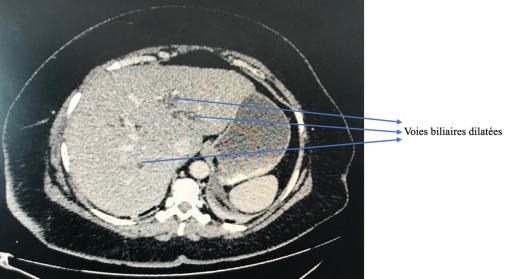
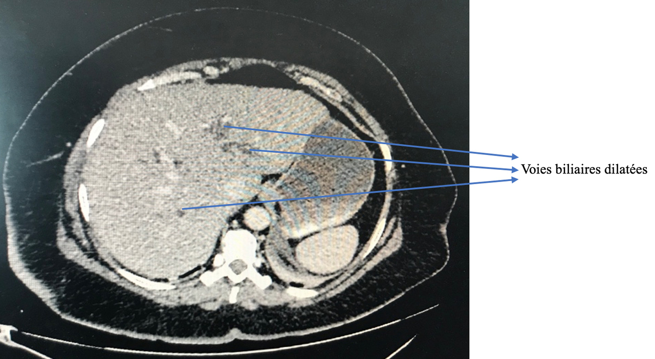
PACS CHSD, La Revue du Praticien Foie homogène avec voies biliaires trop bien visibles, ce qui signifie qu’elles sont dilatées. Extrait de : Dossier progressif n°160