Mme N., 42 ans, secrétaire dans un garage automobile, consulte au service d’accueil et de traitement des urgences (SAU) pour une douleur épigastrique ayant débuté il y a 3 jours, alors qu’elle rentrait de son dîner d’anniversaire. Elle est célibataire, n’a pas d’enfant. Elle dit prendre un traitement contre la tension (lercanidipine 20 mg) et un traitement contre le cholestérol (atorvastatine 40 mg). Elle pèse 115 kg pour 1,59 m, soit un indice de masse corporelle (IMC) de 45,5 kg/m2.
En l’interrogeant plus précisément, elle décrit une douleur épigastrique et en hyponchondre droit, irradiant dans le dos, majorée par la respiration.
Ses constantes : tension artérielle (TA) à 140/85 mmHg ; fréquence cardiaque (FC) à 100 bpm ; saturation en oxygène (SpO2) à 97 % et température (T°) à 38,6 °C.
En l’interrogeant plus précisément, elle décrit une douleur épigastrique et en hyponchondre droit, irradiant dans le dos, majorée par la respiration.
Ses constantes : tension artérielle (TA) à 140/85 mmHg ; fréquence cardiaque (FC) à 100 bpm ; saturation en oxygène (SpO2) à 97 % et température (T°) à 38,6 °C.
Question 1 - Vous recherchez un ou des diagnostic(s) compatible(s) avec ce que Mme N. a décrit à l’interrogatoire.
La douleur ulcéreuse est épigastrique, calmée par la prise alimentaire, mais n’irradie pas et n’est pas influencée par la respiration.
Il faut y penser systématiquement devant une douleur épigastrique mais le fait que la douleur n’irradie pas dans le bras ni la mâchoire n’est pas en faveur de ce diagnostic. La douleur allant dans l’hyponchondre droit et exacerbée par la respiration est un des éléments contre l’origine cardiaque.
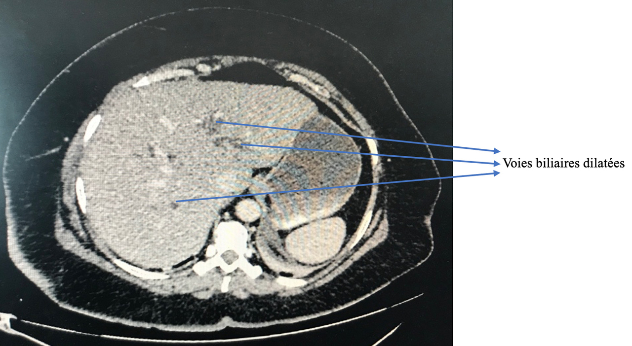
La cholécystite se traduit par un syndrome infectieux avec une douleur de l’hypochondre droit. C’est une possibilité.
La douleur de la pancréatite est épigastrique irradiant dans le dos, majorée par la respiration profonde et la position antalgique est en chien de fusil.
L’absence d’altération de l’état général et la douleur apparaissant après un repas gras il y a 3 jours n’est pas en faveur de ce diagnostic. Le cancer du pancréas n’entraîne des douleurs souvent qu’à un stade très avancé, qui sont plus progressives.




Les autres examens biologiques vous aideront à déterminer la cause de la pancréatite aiguë.
Causes de pancréatite aiguë :
– lithiasique : la plus fréquente ;
– alcoolique : elle survient le plus souvent sur un terrain de pancréatite alcoolique chronique mais peut aussi exister en dehors de l’alcoolisme chronique, sur alcoolisation aiguë massive (beaucoup plus rare).
Ces 2 causes représentent environ 80 % des pancréatiques aiguës.
– hypertriglycéridémie : cause plus rare mais à ne pas oublier, les triglycérides baissent très rapidement après l’événement aigu, il est donc essentiel de les doser dans le bilan initial ;
– médicamenteuses : azathioprine ;
– hypercalcémie ;
– auto-immune : pancréatite à IgG4 ;
– génétique : CFTR (gène de la mucoviscidose, qui peut être responsable de pancréatite aiguë).
Ces deux dernières étiologies sont plus rares et à rechercher chez des patients ayant une pancréatite sans cause évidente uniquement.