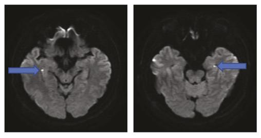
IRM montrant des hypersignaux punctiformes en séquence de diffusion à la partie latérale des hippocampes droit et gauche au cours d’un ictus amnésique.
IRM montrant des hypersignaux punctiformes en séquence de diffusion à la partie latérale des hippocampes droit et gauche au cours d’un ictus amnésique.