Les amnésies transitoires occupent une place particulière dans le domaine des troubles de la mémoire. L’ictus amnésique (IA) en est le prototype,1 mais les amnésies épileptiques, vasculaires, toxiques ou traumatiques doivent aussi être prises en considération.
Ictus amnésique, événement accidentel
L’IA a été décrit en 1956 dans le Journal de médecine de Lyon par le psychiatre Jean Guyotat et le neurologue Jean Courjon,2 dans des termes qui n’ont rien perdu de leur pertinence : « amnésie brutale, surtout de fixation », « survenant vers la soixantaine », d’une « durée d’environ quatre heures » ; « le malade ne se souvient pas de ce qui s’est passé » ; « doit être distingué des formes psychiques de l’épilepsie » ; « semble de pronostic favorable ».
La même année, Morris B. Bender a rapporté aux États-Unis douze cas semblables, et en 1958, Fisher et Adams ont donné à l’IA l’appellation anglo-saxonne de « transient global amnesia ». En 1990, Hodges et Warlow3 ont publié les critères diagnostiques toujours utilisés aujourd’hui (tableau 1 ).
L’incidence de l’IA est de 3 à 8 pour 100 000, avec une prédominance féminine4 et un pic entre 60 et 65 ans. L’épisode dure moins de vingt-quatre heures. Des récidives sont possibles. Le seul facteur de risque est la migraine.5
Le début est soudain, précédé, dans plus de 50 % des cas, d’un facteur déclenchant :4 émotion intense (annonce d’une mauvaise nouvelle, par exemple), effort physique inhabituel, bain froid, douleur aiguë, relation sexuelle, examen médical douloureux ou anxiogène.
Le sujet se trouve d’une minute à l’autre en état de désorientation temporelle et de perplexité anxieuse. Il ne sait plus l’heure ni la date, ni ce qu’il a fait les heures ou jours précédents. Il pose inlassablement aux personnes de son entourage les mêmes questions : « Quelle heure est-il ? Que faisons-nous là ? » L’orientation spatiale est conservée, sauf si l’ictus survient dans un lieu inhabituel. Le patient échoue à tous les tests de mémoire épisodique. L’IA est accompagné d’un état d’anxiété, le sujet percevant clairement un trouble sans parvenir à l’identifier : il sait qu’il est malade mais il ne sait pas qu’il est amnésique.6
Les autres formes de mémoire sont respectées : connaissances sémantiques et didactiques, mémoire à court terme, mémoire procédurale. Le patient peut mener à bien au cours de l’épi-sode des procédures complexes, par exemple conduire une automobile. L’amnésie rétrograde est de quelques heures à plusieurs années, suivant un gradient temporel, les éléments oubliés étant les plus récents. Il n’y a jamais d’amnésie d’identité.
Les autres fonctions cognitives sont normales, ainsi que l’examen neurologique. Il y a souvent une légère élévation de la pression artérielle.
Après quelques heures, l’amnésie rétrograde disparaît progressivement, l’oubli à mesure se dissipe. Il persiste une amnésie lacunaire définitive de l’épisode, qui reste parfois une source d’inquiétude : le sujet se demande souvent s’il n’a pas commis ou subi pendant cet intervalle de temps quelque action inappropriée, voire répréhensible. L’épisode ou les heures qui suivent sont parfois marqués par une céphalée ou un état de fatigue.
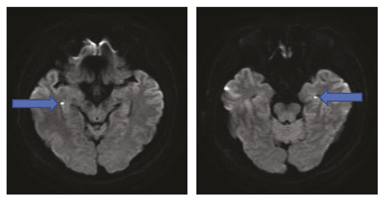
Le diagnostic repose sur les critères figurant dans letableau 1 . La présence d’un témoin du début de l’épisode est capitale, afin d’exclure une amnésie post-traumatique ou post-critique. Le tableau d’abolition aiguë isolée de la mémoire épisodique élimine une confusion mentale, une aphasie, un état psychotique. L’imagerie par résonance magnétique (IRM) exclut un accident vasculaire cérébral et montre parfois à la partie latérale de l’hippocampe (de façon uni- ou bilatérale) des hypersignaux punctiformes en séquence de diffusion et en T27 qui sont reconnus comme la signature de l’IA (figure ) et disparaissent en quelques jours.
L’hypothèse physiopathologique est celle d’un stress métabolique de l’hippocampe. Les hypersignaux en IRM traduisent un œdème cytotoxique, la spectro-IRM montre un pic de lactates de même localisation.8 Une élévation de la cortisolémie souvent constatée va dans le même sens. La cardiopathie de Takotsubo, également liée au stress, parfois décrite en association avec l’IA,9 pourrait expliquer l’élévation de la troponine parfois notée au cours de l’IA.
L’IA n’est pas une maladie mais un événement accidentel. La récupération est totale et le risque ultérieur d’une pathologie vasculaire ou de troubles cognitifs n’est pas accru.
La même année, Morris B. Bender a rapporté aux États-Unis douze cas semblables, et en 1958, Fisher et Adams ont donné à l’IA l’appellation anglo-saxonne de « transient global amnesia ». En 1990, Hodges et Warlow3 ont publié les critères diagnostiques toujours utilisés aujourd’hui (
L’incidence de l’IA est de 3 à 8 pour 100 000, avec une prédominance féminine4 et un pic entre 60 et 65 ans. L’épisode dure moins de vingt-quatre heures. Des récidives sont possibles. Le seul facteur de risque est la migraine.5
Le début est soudain, précédé, dans plus de 50 % des cas, d’un facteur déclenchant :4 émotion intense (annonce d’une mauvaise nouvelle, par exemple), effort physique inhabituel, bain froid, douleur aiguë, relation sexuelle, examen médical douloureux ou anxiogène.
Le sujet se trouve d’une minute à l’autre en état de désorientation temporelle et de perplexité anxieuse. Il ne sait plus l’heure ni la date, ni ce qu’il a fait les heures ou jours précédents. Il pose inlassablement aux personnes de son entourage les mêmes questions : « Quelle heure est-il ? Que faisons-nous là ? » L’orientation spatiale est conservée, sauf si l’ictus survient dans un lieu inhabituel. Le patient échoue à tous les tests de mémoire épisodique. L’IA est accompagné d’un état d’anxiété, le sujet percevant clairement un trouble sans parvenir à l’identifier : il sait qu’il est malade mais il ne sait pas qu’il est amnésique.6
Les autres formes de mémoire sont respectées : connaissances sémantiques et didactiques, mémoire à court terme, mémoire procédurale. Le patient peut mener à bien au cours de l’épi-sode des procédures complexes, par exemple conduire une automobile. L’amnésie rétrograde est de quelques heures à plusieurs années, suivant un gradient temporel, les éléments oubliés étant les plus récents. Il n’y a jamais d’amnésie d’identité.
Les autres fonctions cognitives sont normales, ainsi que l’examen neurologique. Il y a souvent une légère élévation de la pression artérielle.
Après quelques heures, l’amnésie rétrograde disparaît progressivement, l’oubli à mesure se dissipe. Il persiste une amnésie lacunaire définitive de l’épisode, qui reste parfois une source d’inquiétude : le sujet se demande souvent s’il n’a pas commis ou subi pendant cet intervalle de temps quelque action inappropriée, voire répréhensible. L’épisode ou les heures qui suivent sont parfois marqués par une céphalée ou un état de fatigue.
Le diagnostic repose sur les critères figurant dans le
L’hypothèse physiopathologique est celle d’un stress métabolique de l’hippocampe. Les hypersignaux en IRM traduisent un œdème cytotoxique, la spectro-IRM montre un pic de lactates de même localisation.8 Une élévation de la cortisolémie souvent constatée va dans le même sens. La cardiopathie de Takotsubo, également liée au stress, parfois décrite en association avec l’IA,9 pourrait expliquer l’élévation de la troponine parfois notée au cours de l’IA.
L’IA n’est pas une maladie mais un événement accidentel. La récupération est totale et le risque ultérieur d’une pathologie vasculaire ou de troubles cognitifs n’est pas accru.
Lire aussi | Notre dossier – Troubles de la mémoire
Amnésie épileptique transitoire, trouble aigu de la mémoire épisodique
L’amnésie épileptique transitoire (AET)10 est une forme d’épilepsie mésiotemporale, survenant vers la cinquantaine, responsable d’un trouble aigu de la mémoire épisodique. Les différences par rapport à l’IA sont : durée plus brève, répétition des épisodes (en moyenne un par mois), survenue préférentielle au réveil, présence possible d’une aphasie ou d’un état confusionnel. L’AET peut s’accompagner de troubles cognitifs permanents, réalisant un « syndrome amnésique épileptique » qui peut faire croire, à tort, à une maladie dégénérative débutante.
L’électroencéphalogramme (EEG) montre des anomalies paroxystiques temporales, mais un tracé de sommeil est souvent nécessaire pour les mettre en évidence. Une monothérapie antiépileptique est le plus souvent efficace. Letableau 2 énumère les critères de diagnostic.
L’électroencéphalogramme (EEG) montre des anomalies paroxystiques temporales, mais un tracé de sommeil est souvent nécessaire pour les mettre en évidence. Une monothérapie antiépileptique est le plus souvent efficace. Le
Lire aussi | Troubles de la mémoire : les 10 messages-clés
Amnésies transitoires d’origine vasculaire, rares
L’amnésie est le plus souvent associée à des troubles de la vue, de la parole ou de l’équilibre, mais elle peut être isolée. De tels cas sont rares11, et le diagnostic repose alors sur l’IRM. Des syndromes amnésiques aigus révélateurs d’une dissection aortique ont été rapportés :12 pâleur, hypotension artérielle, hyperleucocytose, élévation de la créatininémie doivent y faire penser.
Lire aussi | Amnésie dissociative : une amnésie fonctionnelle
Autres causes d’amnésie transitoire
Une amnésie transitoire peut être due à d’autres causes, listées dans le tableau 3.
Les amnésies post-traumatiques sont rapidement régressives en cas de traumatisme bénin (activité sportive, par exemple), plus durables en cas de traumatisme sévère ou dans un contexte médico-légal.
L’hypoglycémie est détectée par une mesure de la glycémie au doigt, systématique dans le contexte d’urgence.
Les amnésies transitoires toxiques sont fréquentes, en particulier alcooliques ou médicamenteuses. Les benzodiazépines à demi-vie courte mais aussi les hypnotiques, certains antidépresseurs et les anticholinergiques peuvent être en cause. Toute amnésie aiguë impose un examen de l’ordonnance du patient.
Les encéphalites limbiques et l’amnésie psychogène peuvent avoir un début aigu, mais le contexte et l’évolution permettent de faire rapidement le diagnostic.
Les amnésies post-traumatiques sont rapidement régressives en cas de traumatisme bénin (activité sportive, par exemple), plus durables en cas de traumatisme sévère ou dans un contexte médico-légal.
L’hypoglycémie est détectée par une mesure de la glycémie au doigt, systématique dans le contexte d’urgence.
Les amnésies transitoires toxiques sont fréquentes, en particulier alcooliques ou médicamenteuses. Les benzodiazépines à demi-vie courte mais aussi les hypnotiques, certains antidépresseurs et les anticholinergiques peuvent être en cause. Toute amnésie aiguë impose un examen de l’ordonnance du patient.
Les encéphalites limbiques et l’amnésie psychogène peuvent avoir un début aigu, mais le contexte et l’évolution permettent de faire rapidement le diagnostic.
Lire aussi | Troubles de la mémoire : les 10 messages-clés
Essentielle anamnèse
Devant une amnésie transitoire, l’anamnèse et l’analyse clinique initiale sont essentielles. La discussion se concentre sur l’ictus amnésique, l’amnésie épileptique transitoire et les accidents vasculaires cérébraux. L’IRM permet de dépister ces derniers, et parfois de confirmer un diagnostic d’IA par la mise en évidence d’hypersignaux dans l’hippocampe. En cas de suspicion d’EAT, l’EEG, le suivi clinique et la réponse au traitement confirment le diagnostic.
- anomalies épileptiques à l’électroencéphalogramme
- autres éléments cliniques percritiques en faveur d’une épilepsie (par exemple : mâchonnements, hallucinations olfactives)
- réponse franche au traitement antiépileptique
Références
1. Viader F, Quinette P, Cogez J. Les amnésies transitoires. Bulletin de l’Académie nationale de médecine 2021;205:139-48.
2. Guyotat J, Courjon J. Les ictus amnésiques. Le Journal de médecine de Lyon. 1956;37:697-701.
3. Hodges JR, Warlow CP. Syndromes of transient amnesia: Towards a classification. J Neurol Neurosurg Psychiatry 1990;53:834-43.
4. Quinette P, Guillery-Girard B, Dayan J, de la Sayette V, Marquis S, Viader F, et al. What does transient global amnesia really mean? Review of the literature and thorough study of 142 cases. Brain 2006;129(Pt 7):1640-58.
5. Lin KH, Chen YT, Fuh JL, Li SY, Chen TJ, Tang CH, et al. Migraine is associated with a higher risk of transient global amnesia: A nationwide cohort study. Eur J Neurol 2014;21(5):718-24.
6. Hainselin M, Quinette P, Desgranges B, Martinaud O, de la Sayette V, Hannequin D, et al. Awareness of disease state without explicit knowledge of memory failure in transient global amnesia. Cortex 2012;48(8):1079-84.
7. Strupp M, Brüning R, Wu RH, Deimling M, Reiser M, Brandt T. Diffusion-weighted MRI in transient global amnesia: Elevated signal intensity in the left mesial temporal lobe in 7 of 10 patients. Ann Neurol 1998;43(2):164-70.
8. Bartsch T, Alfke K, Wolff S, Rohr A, Jansen O, Deuschl G. Focal MR spectroscopy of hippocampal CA-1 lesions in transient global amnesia. Neurology 2008;70(13):1030-5.
9. Papadis A, Svab S, Brugger N, Lanz J, von Arx R, Stamou K, et al. "Broken Heart" and "Broken Brain": Which connection? Cardiol Res 2022;13(1):65-70.
10. Fouchard AA, Mondon K, De Toffol B. L’amnésie épileptique transitoire (AET). Presse Med 2017;46(1):31-5.
11. Michel P, Beaud V, Eskandari A, Maeder P, Demonet JF, Eskioglou E. Ischemic Amnesia: Causes and outcome. Stroke 2017;48(8):2270-3.
12. Colotto M, Maranghi M, Epifania A, Totaro M, Giura R, Durante C. Unmasking aortic dissection in patients of transient global amnesia: Case report and diagnostic algorithm for the emergency department. BMJ Case Rep 2011:bcr0720103151.
2. Guyotat J, Courjon J. Les ictus amnésiques. Le Journal de médecine de Lyon. 1956;37:697-701.
3. Hodges JR, Warlow CP. Syndromes of transient amnesia: Towards a classification. J Neurol Neurosurg Psychiatry 1990;53:834-43.
4. Quinette P, Guillery-Girard B, Dayan J, de la Sayette V, Marquis S, Viader F, et al. What does transient global amnesia really mean? Review of the literature and thorough study of 142 cases. Brain 2006;129(Pt 7):1640-58.
5. Lin KH, Chen YT, Fuh JL, Li SY, Chen TJ, Tang CH, et al. Migraine is associated with a higher risk of transient global amnesia: A nationwide cohort study. Eur J Neurol 2014;21(5):718-24.
6. Hainselin M, Quinette P, Desgranges B, Martinaud O, de la Sayette V, Hannequin D, et al. Awareness of disease state without explicit knowledge of memory failure in transient global amnesia. Cortex 2012;48(8):1079-84.
7. Strupp M, Brüning R, Wu RH, Deimling M, Reiser M, Brandt T. Diffusion-weighted MRI in transient global amnesia: Elevated signal intensity in the left mesial temporal lobe in 7 of 10 patients. Ann Neurol 1998;43(2):164-70.
8. Bartsch T, Alfke K, Wolff S, Rohr A, Jansen O, Deuschl G. Focal MR spectroscopy of hippocampal CA-1 lesions in transient global amnesia. Neurology 2008;70(13):1030-5.
9. Papadis A, Svab S, Brugger N, Lanz J, von Arx R, Stamou K, et al. "Broken Heart" and "Broken Brain": Which connection? Cardiol Res 2022;13(1):65-70.
10. Fouchard AA, Mondon K, De Toffol B. L’amnésie épileptique transitoire (AET). Presse Med 2017;46(1):31-5.
11. Michel P, Beaud V, Eskandari A, Maeder P, Demonet JF, Eskioglou E. Ischemic Amnesia: Causes and outcome. Stroke 2017;48(8):2270-3.
12. Colotto M, Maranghi M, Epifania A, Totaro M, Giura R, Durante C. Unmasking aortic dissection in patients of transient global amnesia: Case report and diagnostic algorithm for the emergency department. BMJ Case Rep 2011:bcr0720103151.