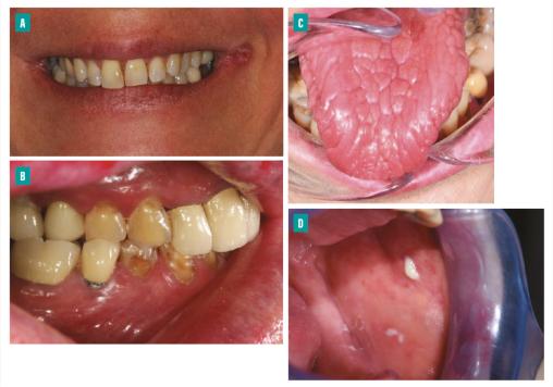
A. Chéilite angulaire chez une patiente atteinte de la maladie de Sjögren.

B. Usures dentaires sévères associées à une inflammation gingivale et une sécheresse des muqueuses chez une patiente atteinte de la maladie de Sjögren.

C. Langue dépapillée, dite «  rôtie  », chez une patiente atteinte de la maladie de Sjögren

D. Écoulement purulent du canal de Sténon en cas de surinfection bactérienne d’une parotidite.

Lire aussi