Les glandes salivaires peuvent être le siège d’une atteinte inflammatoire qui se manifeste le plus souvent par une hypertrophie d’une ou plusieurs glandes salivaires et par un défaut quantitatif et/ou qualitatif de production salivaire. Le terme de « sialadénose » ou « sialose » est parfois employé pour caractériser les pathologies chroniques des glandes salivaires, à l’exception des pathologies infectieuses, tumorales ou traumatiques. Une cause nutritionnelle ou une maladie systémique peut alors être suspectée. Les atteintes d’origine nutritionnelle se présentent comme une parotidomégalie bilatérale, souvent au sein d’un tableau d’hyperplasie intéressant toutes les glandes salivaires ; trois causes principales sont décrites : une alimentation très riche en amidon (pain, pommes de terre), l’intoxication alcoolique chronique, l’anorexie, qu’elle soit ou non associée à des comportements boulimiques avec purges (vomissements).
Les atteintes inflammatoires sont suspectées en cas d’association avec d’autres atteintes d’organes et après avoir éliminé les pathologies lithiasiques et infectieuses. Une fois ces diagnostics différentiels écartés, trois causes inflammatoires principales peuvent être évoquées : maladie de Sjögren, maladie associée aux IgG4 et sarcoïdose.
Les atteintes inflammatoires sont suspectées en cas d’association avec d’autres atteintes d’organes et après avoir éliminé les pathologies lithiasiques et infectieuses. Une fois ces diagnostics différentiels écartés, trois causes inflammatoires principales peuvent être évoquées : maladie de Sjögren, maladie associée aux IgG4 et sarcoïdose.
Maladie de Sjögren, une triade symptomatique
La maladie de Sjögren (Sjo), est une maladie auto-immune systémique. Elle touche plus fréquemment les femmes (sex-ratio : 9/10) avec un pic de fréquence à 50 ans. Elle peut être isolée ou primitive et est alors considérée comme une maladie rare, avec une prévalence estimée entre 0,9 et 6 pour 1 000 habitants. La Sjo peut également être associée à d’autres maladies auto-immunes, la polyarthrite rhumatoïde étant la plus fréquente.
La Sjo est caractérisée par une atteinte des glandes exocrines principalement salivaires et lacrymales. Cette atteinte est responsable du syndrome sec buccal et lacrymal qui, avec la fatigue et les douleurs, constitue la triade symptomatique classique observée chez la grande majorité des patients.
Environ 30 % des patients ont des atteintes d’organes variées : articulaires, cutanées, pulmonaires, rénales, neurologiques périphériques, beaucoup plus rarement neurologiques centrales, hématologiques.
La Sjo est caractérisée par une atteinte des glandes exocrines principalement salivaires et lacrymales. Cette atteinte est responsable du syndrome sec buccal et lacrymal qui, avec la fatigue et les douleurs, constitue la triade symptomatique classique observée chez la grande majorité des patients.
Environ 30 % des patients ont des atteintes d’organes variées : articulaires, cutanées, pulmonaires, rénales, neurologiques périphériques, beaucoup plus rarement neurologiques centrales, hématologiques.
Syndrome sec buccal et poussées inflammatoires
L’atteinte des glandes salivaires au cours de la Sjo se manifeste par deux grands types de symptômes.
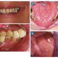
Le plus fréquent, le syndrome sec buccal, peut entraîner une dysphagie, l’adhérence du bol alimentaire au palais ou encore une dysgueusie. Il peut également impacter la qualité du sommeil et l’élocution. Il peut se compliquer d’une augmentation de l’incidence et du nombre de caries, d’un risque accru de candidose buccale et d’œsophagite chronique (fig. A-C ).
Le second symptôme est la survenue de poussées inflammatoires se manifestant par une hypertrophie douloureuse des glandes salivaires. Toutes les glandes salivaires principales peuvent être concernées. Ces poussées sont très sensibles à la corticothérapie. Une corticorésistance et/ou l’apparition d’un nodule dur, fixé chez un patient suivi pour Sjo doit faire évoquer la survenue d’un lymphome du MALT (mucosa-associated lymphoid tissue). En effet, il existe un sur-risque de lymphome au cours de la Sjo, avec un risque environ 15 fois plus élevé que dans la population générale. Dans plus de 75 % de cas, les lymphomes compliquant une Sjo sont des lymphomes de type MALT avec une localisation aux glandes salivaires.
Le plus fréquent, le syndrome sec buccal, peut entraîner une dysphagie, l’adhérence du bol alimentaire au palais ou encore une dysgueusie. Il peut également impacter la qualité du sommeil et l’élocution. Il peut se compliquer d’une augmentation de l’incidence et du nombre de caries, d’un risque accru de candidose buccale et d’œsophagite chronique (
Le second symptôme est la survenue de poussées inflammatoires se manifestant par une hypertrophie douloureuse des glandes salivaires. Toutes les glandes salivaires principales peuvent être concernées. Ces poussées sont très sensibles à la corticothérapie. Une corticorésistance et/ou l’apparition d’un nodule dur, fixé chez un patient suivi pour Sjo doit faire évoquer la survenue d’un lymphome du MALT (mucosa-associated lymphoid tissue). En effet, il existe un sur-risque de lymphome au cours de la Sjo, avec un risque environ 15 fois plus élevé que dans la population générale. Dans plus de 75 % de cas, les lymphomes compliquant une Sjo sont des lymphomes de type MALT avec une localisation aux glandes salivaires.
Démarche diagnostique : affirmer une anomalie immunologique
Une Sjo peut être suspectée chez un patient ayant un syndrome sec buccal et/ou oculaire associé à des poussées d’hypertrophie des glandes salivaires. Les critères de classification pour la Sjo1 ont un double intérêt : ils sont utilisés en recherche clinique comme critères d’inclusion dans les essais thérapeutiques et ils ont également un intérêt en pratique clinique courante pour aider au diagnostic (tableau ).
Pour poser le diagnostic de Sjo, il est nécessaire d’objectiver une anomalie immunologique : soit des anticorps anti-SSA, soit une biopsie des glandes salivaires accessoires (BGSA) avec un infiltrat lymphocytaire évalué par un focus score supérieur ou égal à 1.
L’échographie des glandes salivaires, en plein développement et gagnant en sensibilité, pourrait permettre, à terme, d’éviter la réalisation d’une BGSA chez des patients négatifs pour les anti-SSA et lorsque l’échographie s’avère normale. En effet, dans cette situation, la probabilité d’une Sjo est extrêmement faible (valeur prédictive négative de l’échographie de 92 % pour les patients négatifs pour les anticorps anti-SSA).2
Pour poser le diagnostic de Sjo, il est nécessaire d’objectiver une anomalie immunologique : soit des anticorps anti-SSA, soit une biopsie des glandes salivaires accessoires (BGSA) avec un infiltrat lymphocytaire évalué par un focus score supérieur ou égal à 1.
L’échographie des glandes salivaires, en plein développement et gagnant en sensibilité, pourrait permettre, à terme, d’éviter la réalisation d’une BGSA chez des patients négatifs pour les anti-SSA et lorsque l’échographie s’avère normale. En effet, dans cette situation, la probabilité d’une Sjo est extrêmement faible (valeur prédictive négative de l’échographie de 92 % pour les patients négatifs pour les anticorps anti-SSA).2
Corticothérapie, massages et surveillance
En cas de gonflement des glandes salivaires dans le cadre d’une Sjo, une corticothérapie de 0,3 à 0,5 mg/kg/j pendant trois à cinq jours peut être proposée, associée aux mesures symptomatiques de type massages parotidiens. Les massages sont à poursuivre ensuite au long cours pour éviter les récidives. Il est important de rechercher des signes de surinfection qui nécessiteraient une antibiothérapie associée (fig. D ).
Plusieurs essais thérapeutiques évaluant des traitements biologiques sont en cours et laissent espérer le développement de nouvelles thérapeutiques pour les patients atteints de Sjo.
Plusieurs essais thérapeutiques évaluant des traitements biologiques sont en cours et laissent espérer le développement de nouvelles thérapeutiques pour les patients atteints de Sjo.
Maladie associée aux IgG4, avec atteintes fibro-inflammatoires d’organes
La maladie associée aux immunoglobulines (Ig) G4 (MAG4), décrite récemment,3 est caractérisée par la présence d’une ou plusieurs atteintes fibro-inflammatoires d’organes, associées le plus souvent à une élévation des IgG4 sériques. Il s’agit d’une maladie systémique rare. Elle survient préférentiellement chez les hommes, avec un âge moyen de début autour de 60 ans. Sa description a permis d’unifier sous un même cadre nosologique de nombreux syndromes, notamment des tableaux de pancréatite auto-immune, de cholangite sclérosante, de fibrose rétropéritonéale, de néphrite interstitielle.
Hypertrophie persistante des glandes salivaires
L’atteinte des glandes salivaires au cours de la MAG4 est classique. La présentation clinique peut être de deux types :
– hypertrophie persistante, ferme et unilatérale des glandes sous-mandibulaires (tumeur de Küttner) ;
– hypertrophie persistante bilatérale et symétrique des glandes sous-mandibulaires et/ou parotidiennes.
Une hypertrophie des glandes lacrymales peut être associée, réalisant alors le tableau du « syndrome de Mikulicz ».
– hypertrophie persistante, ferme et unilatérale des glandes sous-mandibulaires (tumeur de Küttner) ;
– hypertrophie persistante bilatérale et symétrique des glandes sous-mandibulaires et/ou parotidiennes.
Une hypertrophie des glandes lacrymales peut être associée, réalisant alors le tableau du « syndrome de Mikulicz ».
Diagnostic posé sur des critères cliniques, biologiques et histologiques
Le diagnostic de MAG4 peut être évoqué devant l’association d’une atteinte et d’une hypertrophie persistante des glandes salivaires principales. Plusieurs critères diagnostiques ont été établis :
– cliniques (présence d’une hypertrophie et/ou syndrome tumoral d’un ou plusieurs organes) ;
– biologiques (dosage pondéral sérique des IgG4 supérieur à 1,35 g/L) ;
– histologiques (ratio IgG4/IgG supérieur à 40 %, fibrose storiforme et phlébite oblitérante). En cas d’atteinte des glandes salivaires, la biopsie peut viser les glandes salivaires accessoires.
– cliniques (présence d’une hypertrophie et/ou syndrome tumoral d’un ou plusieurs organes) ;
– biologiques (dosage pondéral sérique des IgG4 supérieur à 1,35 g/L) ;
– histologiques (ratio IgG4/IgG supérieur à 40 %, fibrose storiforme et phlébite oblitérante). En cas d’atteinte des glandes salivaires, la biopsie peut viser les glandes salivaires accessoires.
Corticosensibilité systématique
Le traitement repose là encore sur la corticothérapie. Une corticorésistance doit fait remettre en cause le diagnostic. Plusieurs essais ayant pour objectif une épargne cortisonique sont en cours, avec des données intéressantes pour le rituximab.4
Lire aussi | Tumeurs des glandes salivaires
Sarcoïdose, maladie granulomateuse systémique rare
La sarcoïdose est une maladie granulomateuse systémique. Elle est considérée comme une maladie rare, avec une prévalence estimée à près de 0,03 pour 1 000 habitants.5
Elle peut toucher de nombreux organes : le poumon préférentiellement, mais aussi la peau, les articulations, l’os, le cœur, le rein, le système nerveux central et les glandes salivaires.
Elle peut être responsable d’hypertrophie des glandes salivaires principales et/ou d’un syndrome sec. L’atteinte des glandes salivaires peut être isolée, mais la présentation la plus évocatrice, bien que rare, est constituée par le syndrome de Heerfordt. Survenant dans seulement 5 % des sarcoïdoses, il associe à la parotidomégalie une uvéite, une paralysie faciale et de la fièvre. L’atteinte parotidienne se présente alors sous la forme d’une tuméfaction diffuse récidivante et indolore associée à une sécheresse buccale. Elle est parfois bilatérale et peut atteindre les glandes sous-mandibulaires et lacrymales.
La confirmation diagnostique est apportée par l’histologie, avec la mise en évidence de granulome sans nécrose caséeuse sur une biopsie des glandes salivaires accessoires.
Le traitement s’appuie, là encore, sur la corticothérapie.
Elle peut toucher de nombreux organes : le poumon préférentiellement, mais aussi la peau, les articulations, l’os, le cœur, le rein, le système nerveux central et les glandes salivaires.
Elle peut être responsable d’hypertrophie des glandes salivaires principales et/ou d’un syndrome sec. L’atteinte des glandes salivaires peut être isolée, mais la présentation la plus évocatrice, bien que rare, est constituée par le syndrome de Heerfordt. Survenant dans seulement 5 % des sarcoïdoses, il associe à la parotidomégalie une uvéite, une paralysie faciale et de la fièvre. L’atteinte parotidienne se présente alors sous la forme d’une tuméfaction diffuse récidivante et indolore associée à une sécheresse buccale. Elle est parfois bilatérale et peut atteindre les glandes sous-mandibulaires et lacrymales.
La confirmation diagnostique est apportée par l’histologie, avec la mise en évidence de granulome sans nécrose caséeuse sur une biopsie des glandes salivaires accessoires.
Le traitement s’appuie, là encore, sur la corticothérapie.
Plusieurs maladies systémiques rares entraînent une hypertrophie des glandes salivaires
Ainsi, une atteinte des glandes salivaires peut se rencontrer dans certaines maladies systémiques. Il s’agit de pathologies rares et il convient de savoir éliminer les diagnostics différentiels, pathologies lithiasiques et infectieuses en premier lieu. Néanmoins, il est important de les évoquer afin de guider l’interrogatoire et l’examen clinique d’un patient consultant pour une hypertrophie des glandes salivaires. La réalisation d’une biopsie des glandes salivaires accessoires est un examen important lorsqu’une pathologie inflammatoire est suspectée.
Références
1. Shiboski CH, Shiboski SC, Seror R, Criswell LA, Labetoulle M, Lietman TM, et al. 2016 American College of Rheumatology/European League Against Rheumatism classification criteria for primary Sjögren’s syndrome: A consensus and data-driven methodology involving three international patient cohorts. Ann Rheum Dis 2017;76(1):9-16.
2. Al Tabaa O, Gouze H, Hamroun S, Bergé E, Belkhir R, Pavy S, et al. Normal salivary gland ultrasonography could rule out the diagnosis of Sjögren’s syndrome in anti-SSA-negative patients with sicca syndrome. RMD Open 2021;7(1):e001503.
3. Stone JH, Zen Y, Deshpande V. IgG4-related disease. N Engl J Med 2012;366(6):539-51.
4. Ebbo M, Grados A, Samson M, Groh M, Loundou A, Rigolet A, et al. Long-term efficacy and safety of rituximab in IgG4-related disease: Data from a French nationwide study of thirty-three patients. PLoS One 2017;12(9):e0183844.
5. Valeyre D. Sarcoidosis. Rev Prat 2009;59(9):1305-11.
2. Al Tabaa O, Gouze H, Hamroun S, Bergé E, Belkhir R, Pavy S, et al. Normal salivary gland ultrasonography could rule out the diagnosis of Sjögren’s syndrome in anti-SSA-negative patients with sicca syndrome. RMD Open 2021;7(1):e001503.
3. Stone JH, Zen Y, Deshpande V. IgG4-related disease. N Engl J Med 2012;366(6):539-51.
4. Ebbo M, Grados A, Samson M, Groh M, Loundou A, Rigolet A, et al. Long-term efficacy and safety of rituximab in IgG4-related disease: Data from a French nationwide study of thirty-three patients. PLoS One 2017;12(9):e0183844.
5. Valeyre D. Sarcoidosis. Rev Prat 2009;59(9):1305-11.