Mme T, 75 ans, consulte aux urgences à la suite d’une chute. Elle vous explique qu’elle a raté une marche. Elle n’a pas pu se relever seule. Elle a comme antécédent un diabète de type 1, une arythmie cardiaque par fibrillation atriale (ACFA), un accident ischémique transitoire (AIT) et un glaucome. À l’examen en box d’urgence, la patiente est orientée. Elle a une impotence fonction­nelle totale du membre inférieur gauche, qui est déformé en adduction, rotation externe et raccourcissement. Elle n’a pas de déficit sensitivomoteur. Son traitement habituel comprend Préviscan, Kardegic et de l’insuline. Elle a également un collyre, dont elle ne se souvient plus le nom.

Question 1 – Quels sont vos hypothèses diagnostiques expliquant l’impotence du membre inférieur gauche ?

Une déformation du membre inférieur comme décrite ne peut être qu'une fracture du col du fémur, de type Garden 3 ou 4, ou une fracture du massif trochantérien.

Question 2 – Quels examens d’imagerie demandez-vous ?

Question 3 – L’intensité de la douleur de la patiente est intense, avec un score sur l’échelle visuelle analogique (EVA) à 9/10. Que pouvez-vous lui prescrire en urgence ?

Le Néfopam est contre indiqué en cas de glaucome chronique à angle ouvert. Le Profénid est à éviter en cas de traitement par antivitamine K (AVK).

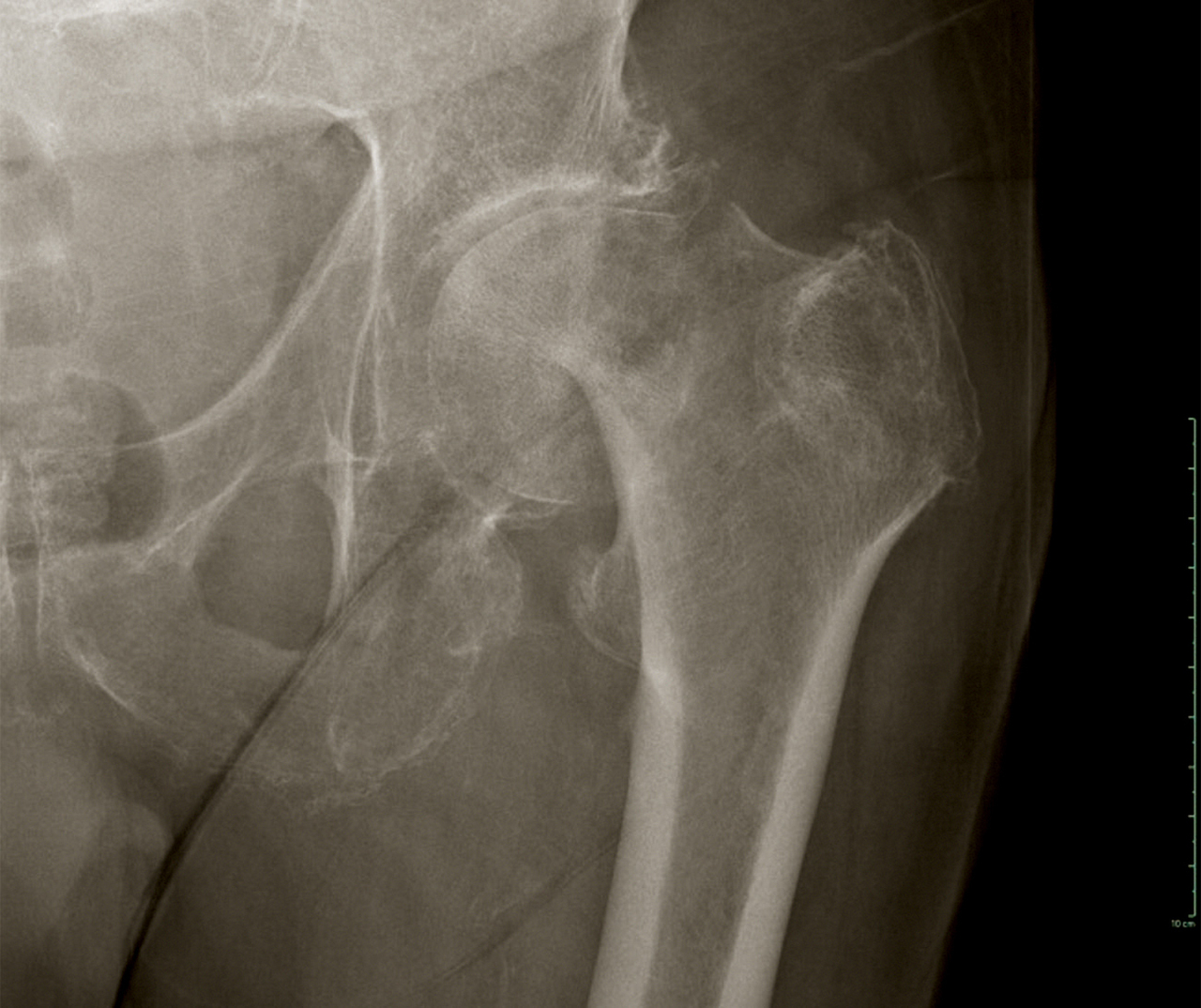
Voici la radiographie de face.

Figure 1

Question 4 – Quel est votre diagnostic ?

Question 5 – Quel(s) stade(s) de classification fracturaire est (sont) exacte(s) ?

Question 6 – Vous souhaitez opérer cette patiente. Comment gérez-vous son traitement anticoagulant ?

Il n'y a plus d'indication à arrêter le Kardegic avant une chirurgie orthopédique. En revanche, les AVK doivent être arrêtés obligatoirement et relayés par l'héparine, dont le contrôle posologique et l'effet anticoagulant est plus facile à surveiller à contrôler. Cette anticoagulation reste nécessaire devant une probable ACFA emboligène ayant causé notamment l'AIT.

Question 7 – Quel(s) traitement(s) proposez-vous ?

Les deux options prothétique sont possibles à cet âge ; la prothèse totale sera préférée s'il s'agit d'une fracture sur hanche arthrosique.

Question 8 – Vous décidez la mise en place d’une prothèse intermédiaire de hanche. Quelles suites opératoires préconisez-vous ?

L'appui doit être repris le plus vite possible, ce qui fait l'intérêt du traitement chirurgical prothétique. L'héparine doit bien-sûr être arrêté et la reprise du Préviscan est possible dès 48 h post-opératoire.

Les suites sont simples, et Mme T retrouve une autonomie satisfaisante. Vous la retrouvez aux urgences 2 ans plus tard. À la suite d’une nouvelle chute, elle a une impotence fonctionnelle du membre inférieur droit avec déformation. Aucune symptomatologie du côté gauche. Elle ne se souvient pas de ce qu’il s’est passé. Elle est confuse alors qu’elle est habituellement autonome à domicile.

Question 9 – Quels examens préconisez-vous en urgence ?

L’imagerie cérébrale est normale. L’hypoglycémie a été corrigée, et la patiente ne se plaint que de sa hanche gauche douloureuse. La radiographie est la suivante.

Figure 2

Question 10 – Quel est votre diagnostic ?

Voici la radiographie postopératoire.

Figure 3

Question 11 – De quel matériel s’agit-il ?

Question 12 – Quelles sont les complications possibles de ce type de fracture ?

Encore une fois, la patiente récupère une bonne autonomie. Elle se déplace avec une canne pour les longues distances et n'a pas de douleur particulière dans les suites de cette intervention. Elle revient cependant en consultation 2 ans plus tard pour des douleurs de la hanche gauche.

Question 13 – À quoi peuvent être liées ces douleurs sur prothèse de hanche ?

L'infection doit être systématiquement évoquée devant toute douleur sur prothèse, même à distance de l'opération, et même sans signe clinique évocateur du type écoulement cicatriciel.

Question 14 – La radiographie retrouve un liseré évolutif autour de la tige fémorale. Quels autres examens allez-vous alors demander ?

Question 15 – Le descellement est confirmé par le scanner. La ponction est positive montrant une infection à Staphylococcus epidermidis multisensible. Quel(s) traitement(s) préconisez-vous ?

Jamais d'antibiothérapie seule pour une infection sur matériel, quel que soit le délai de survenue de l'infection. Compte tenu du diagnostic et du délai tardif de l'infection par rapport à l'intervention, un lavage prothétique est insuffisant. Il faut changer la totalité de la prothèse de première intention.

Exercez-vous aux ECN avec les dossiers progressifs et les LCA de La Revue du Praticien