objectifs
Diagnostiquer une fracture de l’extrémité supérieure du fémur, en connaître les implications sur l’autonomie du patient.

Introduction

Les fractures de l’extrémité supérieure du fémur sont les fractures qui concernent l’extrémité supérieure du fémur jusqu’à 2,5 cm en dessous du petit trochanter au niveau de la jonction métaphyso-diaphysaire. Il s’agit de la 3e fracture la plus fréquente en traumatologie. On distingue les fractures cervicales vraies intracapsulaires et les fractures du massif trochantérien un peu plus fréquentes (65 % des fractures de l’extrémité supérieure du fémur). Elles représentent la plus grave des complications de l’ostéoporose. En effet, la perte progressive du capital osseux avec l’âge est un phénomène physiologique touchant préférentiellement la femme, surtout après la ménopause. Les corticales s’amincissent et les travées osseuses se raréfient. Ainsi, les conditions sont réunies pour qu’un traumatisme relativement mineur puisse entraîner une fracture.
Il s’agit d’une population âgée en moyenne de 80 ans, et 75 % des patients ont plus de 79 ans. Il y a 3 fois plus de femmes que d’hommes. Chez les femmes entre 75 et 84 ans, l’incidence est de l’ordre de 11 pour 1 000 et de 33 pour 1 000 au-delà de 85 ans. Il y a plus de 65 000 cas par an en France, et un quart de ces patients meurent dans l’année qui suit la fracture, la mortalité étant significativement plus importante chez les hommes (33 %) que chez les femmes (21 %), plus importante chez les patients plus âgés et plus importante chez les patients porteurs de maladie chronique. L’âge et l’état de santé du patient au moment de la fracture sont les éléments les plus déterminants du pronostic.

Rappel anatomique

L’extrémité supérieure du fémur se compose de trois régions bien distinctes (fig. 1) : la tête fémorale représentant à peu près deux tiers de sphère est recouverte de cartilage ; le col fémoral assurant la jonction entre la tête et le massif trochantérien ; le massif trochantérien entre la ligne intertrochantérienne et la zone située jusqu’à 2,5 cm sous le petit trochanter. La tête et le col fémoral sont intracapsulaires. Le col est composé d’un os cortical. Il est soumis à des contraintes en cisaillement auxquelles un système de travées osseuses ogival lui permet de résister (fig. 2). Le massif trochantérien est formé d’un os beaucoup plus spongieux et bien vascularisé. La tête fémorale est essentiellement vascularisée par l’artère circonflexe médiale (fig. 3) qui aborde le col fémoral le long de la ligne intertrochantérienne, court le long du col à sa partie supérieure et donne ses branches terminales à la tête fémorale. Ainsi, toute fracture déplacée du col risque de léser la vascularisation céphalique et d’entraîner une ostéonécrose. En effet, la vascularisation assurée par l’artère du ligament rond et les quelques vaisseaux venant de l'artère circonflexe latérale ne suffisent pas à suppléer cette absence de vascularisation. Ce système vasculaire n’est pas altéré dans les fractures du massif trochantérien.
Lire aussi | Fracture de Cedell

Biomécanique

Du fait de son orientation, toute fracture du col entraîne des contraintes en cisaillement au niveau de la fracture, et ce d’autant plus que le trait de fracture est vertical. Ces contraintes sont défavorables pour la consolidation osseuse et favorisent le risque de survenue d’une pseudarthrose. Pour limiter ces contraintes, si un système d’ostéo­­synthèse est choisi, il faut qu’il assure une compression au niveau du foyer de fracture, ce qui est un facteur de stabilité du montage.
Les différentes attaches musculaires sur le massif trochantérien (fessiers, psoas, pelvitrochantériens) expliquent les déplacements engendrés. Ceux-ci doivent être réduits au moment de l’ostéosynthèse pour diminuer le risque de cal vicieux, principale complication des fractures du massif trochantérien. Par ailleurs, toute perte de console d’appui interne, représentée essentiellement par le détachement du petit trochanter ou la comminution du calcar, constitue un facteur d'instabilité et de contraintes importantes pour le matériel d’ostéosynthèse (fig. 4).

Classification

Les fractures de l’extrémité supérieure du fémur sont classées en fonction de leur siège.
Les fractures de la tête fémorale sont rares (fig. 5), presque toujours consécutives à un traumatisme à haute énergie avec luxation de la hanche. Il s’agit d’un contexte très particulier. Les indications en fonction de la taille du fragment vont de l’ablation simple jusqu’à la prothèse, en passant par l’ostéosynthèse.
Les fractures du col du fémur peuvent être classées en fonction de leur siège, sous-capital, basicervical ou transcervical (fig. 6). L’intérêt de cette classification est que les fractures basicervicales sont des fractures qui préservent souvent la vascularisation de la tête et qui peuvent donc être traitées par ostéosynthèse. Elles peuvent être classées en fonction de l’orientation du trait de fracture. C’est la classification de Pauwels (fig. 7). Toutefois, la classification la plus utilisée est la classification de Garden (fig. 8). Son intérêt réside dans le fait que plus le grade est élevé et plus le risque d’ostéonécrose de la tête fémorale est important. Il s’agit d’une classification fondée sur l’analyse des travées osseuses du col fémoral sur un cliché radiographique de face :
  • le type I est une fracture avec impaction du col responsable d’une fracture engrenée, déplacée en valgus avec verticalisation des travées de compression. Elle est en général assez stable du fait de l’engrènement, et le risque de lésion vasculaire est faible ;
  • le type II est une fracture non déplacée sans aucune modification des travées osseuses. Malgré l’absence de déplacement, le risque de nécrose est de l’ordre de 20 %, et est peut-être en rapport avec l’hématome fracturaire responsable d’une tension intracapsulaire ;
  • le type III est une fracture déplacée en varus avec conservation d’une charnière à la face inférieure du col. Le risque de lésion vasculaire est important, avec une nécrose dans 50 % des cas ;
  • le type IV est une fracture déplacée avec perte de contact des fragments, notamment au niveau de la charnière, augmentant encore le risque de nécrose au-delà de 50 %. Son aspect radiographique est souvent éloigné des schémas car, du fait de la désolidarisation complète entre le fémur et la partie proximale de la tête et du col, il se produit une rotation externe complète du fragment distal (fig. 9), comme en témoigne le déroulement du petit trochanter particulièrement visible dans ce cas-là.
L’inconvénient de cette classification est de ne pas tenir compte de l’aspect sur le profil où la bascule postérieure de la tête peut être importante, notamment dans les fractures Garden I. Le pronostic pour ce type de fracture est alors davantage à l’instabilité, avec un risque de déplacement secondaire, qu’à la nécrose céphalique.
Les fractures du massif trochantérien peuvent être classées en fonction de la position du trait de fracture. Les fractures cervico-­trochantériennes se rapprochent des fractures basicervicales. Les fractures per-trochantériennes, plus ou moins complexes, sont situées à l’intérieur du massif trochantérien. Les fractures trochantéro-diaphysaires concernent le massif trochantérien et la partie haute de la diaphyse. Les fractures sous-trochantériennes sont situées sous le massif trochantérien et sont à la limite entre les fractures de l’extrémité supérieure du fémur et les fractures diaphysaires. Il existe d’autres classifications (Ender, AO, etc.). Ce qui compte avant tout est d’apprécier le caractère stable ou instable de la fracture (fig. 10). Cette stabilité dépend de la comminution de la fracture et du détachement du petit trochanter. Il existe parfois des fractures localisées au grand trochanter dont il faut apprécier le déplacement lié à l’insertion du moyen et du petit fessier.

Clinique

Le mécanisme lésionnel peut être de trois types. Dans la majorité des cas, notamment chez les personnes âgées, il s’agit d’un traumatisme à faible énergie, et ces patients sont presque toujours victimes d’une chute de leur hauteur, soit mécanique, soit consécutive à un malaise. Chez les jeunes, une fracture de l’extrémité supérieure du fémur requiert un traumatisme à haute énergie. Enfin, la fracture peut survenir de façon spontanée soit à cause d’un os pathologique (tumeur primitive ou secondaire), soit à cause d’un os trop porotique et trop fragile, certains patients expliquant d’ailleurs que la fracture est survenue avant la chute et que c’est elle qui a été responsable de leur chute.
Le diagnostic clinique est en général facile. Les signes sont à peu près identiques pour les fractures cervicales vraies et pour les fractures du massif trochantérien. L’impotence fonctionnelle est en général complète. Les patients se plaignent d’une douleur (classiquement plus importante dans les fractures du massif trochantérien que dans les fractures cervicales vraies) dans la région de la hanche, la plupart du temps au creux inguinal. Il existe le plus souvent une déformation caractéristique associant un raccourcissement, une rotation externe et une adduction de la hanche (fig. 11). Néanmoins, dans certaines fractures non déplacées, cette déformation n’existe pas. Qui plus est, dans les fractures Garden I, engrenées en valgus, ce qui procure une certaine stabilité, la mobilité de la hanche peut être conservée et le seul signe clinique est alors la douleur. L’examen clinique doit être complété par un examen distal pour s’assurer de l’absence de problème vasculonerveux. Ils sont rarement la conséquence de la fracture. En revanche, certaines personnes âgées sont quelquefois restées pendant des heures immobiles avant d’être prises en charge, ce qui peut être responsable de compressions nerveuses, de rhabdomyolyse, etc., qu’il convient de rechercher.
Le diagnostic clinique doit s’accompagner d’une évaluation générale du patient, qui a un rôle pronostique majeur. Cette évaluation doit concerner :
  • le degré d’autonomie du patient grâce au score de Parker (tableau) ;
  • les pathologies chroniques du patient : cardiorespiratoire, neuro­logique, vasculaire, la notion de traitement anticoagulant, la notion de diabète, etc. ;
  • le mode de vie du patient et son environnement familial et social, s’il est institutionnalisé ou non.
La confirmation diagnostique se fait grâce à l’imagerie. Il faut demander un bassin de face et la hanche incriminée de face et en profil chirurgical dit aussi profil d’Arcelin. En principe, cette imagerie permettra de faire assez facilement le diagnostic de fracture, de voir s’il s’agit d’une fracture cervicale vraie ou du massif trochantérien et de pouvoir la classer. Toutefois, les fractures pas ou peu déplacées peuvent être difficilement visibles. L’intérêt du bassin de face est de pouvoir faire le diagnostic différentiel le plus fréquent, qui est une fracture des branches ilio- et ischiopubiennes. Cette fracture est responsable d’une impotence fonctionnelle à cause de la douleur. Cette dernière est localisée au creux inguinal. Il n’y a pas de déformation du membre inférieur. Il peut s’agir parfois d’une fracture pas ou peu déplacée du cotyle. Sur ce bilan d’imagerie, on recherche également des signes en faveur d’une fracture pathologique (lyse osseuse, effraction corticale, etc.). Dans ce cas, il faut également avoir une radiographie de l’ensemble du fémur, importante pour la décision thérapeutique.
Si la clinique est parlante, mais que l’imagerie ne retrouve pas de lésion évidente, il peut s’agir d’une fracture dite occulte qui nécessite de poursuivre les investigations pour en faire le diagnostic. Le plus performant est sans doute l’imagerie par résonance magnétique (IRM), mais, compte tenu des difficultés d’accès à cet examen, le scanner éventuellement couplé à une scintigraphie permet en général de faire le diagnostic de la fracture.

Traitement

Il dépend essentiellement de l’âge de patient, du type de fracture, et des comorbidités (fig. 12). L’objectif est de redonner le plus rapidement possible une autonomie et d’éviter si possible la dépendance et la grabatisation. Néanmoins, il ne s’agit pas d’une urgence absolue, excepté chez les patients jeunes pour limiter le risque de nécrose.
Si la prise en charge des fractures de l’extrémité supérieure du fémur (FESF) du sujet âgé doit être entreprise rapidement, il faut tenir compte du fait que certains patients ne seront jamais opérés en raison de contre-indications à tous les modes d’anesthésie et que d’autres, présentant de nombreuses comorbidités, ne seront opérés qu’après l’arrêt de leur traitement par anticoagulant ou l’obtention des résultats d’examens complémentaires. En effet, ces patients étant souvent âgés, avec des pathologies chroniques, il est important de les évaluer et de les préparer à l’anesthésie. Dans certains cas, le traitement anticoagulant qui doit être arrêté nécessitera d’attendre quelques jours. En principe, les antiagrégants plaquettaires ne doivent pas retarder la prise en charge. Dans l’idéal, il ne faut pas opérer en urgence, mais si possible dans les 48 heures qui suivent la fracture. Pendant cette période d’attente, si les patients sont trop douloureux, il est recommandé de mettre en traction le membre inférieur. Ce peut être une traction transtibiale ou une traction collée s’il n’y a pas de soucis cutanés. Il est également possible de réaliser des blocs iliofasciaux.
L’arbre décisionnel pour le choix du traitement est le suivant :
– L’intervention présente un risque vital pour le patient : c’est alors une discussion collégiale entre anesthésistes et chirurgiens, mais également avec le patient et sa famille pour décider du traitement. Il peut s’agir d’un traitement fonctionnel sans intervention. Dans ce cas, la situation est différente selon qu’il s’agit d’une fracture cervicale vraie ou d’une fracture du massif trochantérien. En général, les fractures cervicales vraies sont moins douloureuses. Après quelques jours passés au lit, et avec une bonne antalgie, il est possible de commencer à mettre les patients au fauteuil. À partir de la 3e semaine, la fibrose qui s’est organisée au niveau du foyer de fracture permet d’envisager éventuellement, chez les plus vaillants, une reprise progressive de l’appui, à condition de compenser l’inégalité de longueur souvent importante. Ainsi, certains arrivent à retrouver une certaine autonomie, mais la marche nécessite toujours l’usage d’un déambulateur ou d’au moins deux cannes. Dans le cadre de fracture du massif trochantérien, les douleurs et la déformation sont souvent plus importantes. Il est nécessaire dans un premier temps d’installer une traction, qui est en général une traction collée mais qui peut être une traction transtibiale. Au bout de 3 à 4 semaines, la traction peut être enlevée, et le patient peut être mis au fauteuil. Cet alitement prolongé est source de complications de décubitus dont il faut se méfier.
– L’intervention est possible : le choix de la méthode dépendra alors du type de fracture et de l’âge.
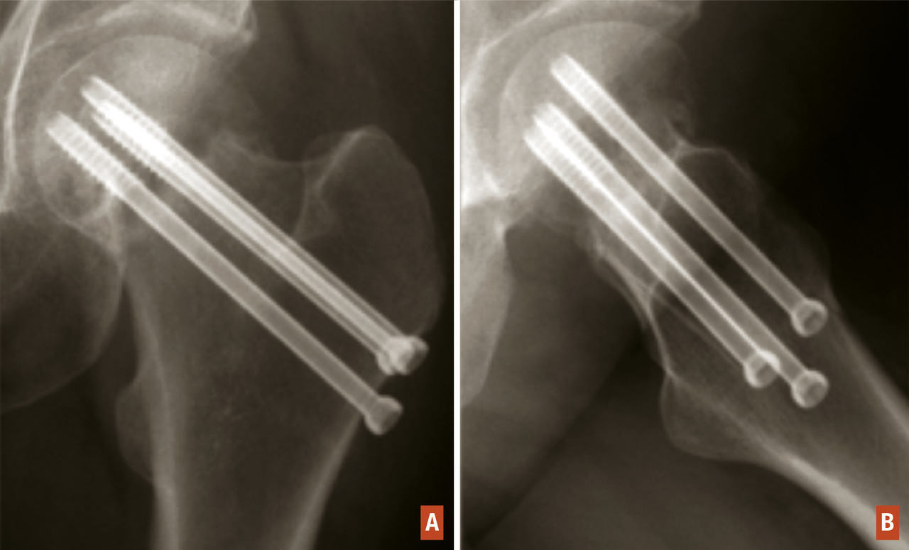
En cas de fracture cervicale vraie, Garden I ou II, où le risque de nécrose est modéré, il est indiqué de réaliser une ostéosynthèse soit par un vissage du col (fig. 13) qui peut être réalisé pratiquement de façon percutanée, soit par la mise en place d’une vis-plaque, plus stable mais nécessitant un abord un peu plus étendu. Toutefois, si le déplacement sur le profil est important ou si la qualité osseuse est médiocre, un traitement par arthroplastie peut être proposé. Enfin, si un traitement fonctionnel est choisi pour des raisons d’ordre général, le risque de déplacement secondaire est important, de 14 à 66 % en fonction des études.
En cas de fracture cervicale vraie Garden III ou IV, le risque de nécrose est important, et il est préférable de s’orienter vers un remplacement prothétique (fig. 14). Il peut s’agir d’une prothèse céphalique où la prothèse remplace uniquement la tête fémorale. Il peut s’agir d’une prothèse intermédiaire qui remplace la tête fémorale mais avec un système de double glissement qui améliore la stabilité de l’implant et diminue les risques d’usure de l’acetabulum. Il peut s’agir d’une prothèse totale de hanche. L’utilisation ou non du ciment pour la fixation de la prothèse ne fait pas consensus dans la littérature, chaque méthode ayant ses avantages et ses inconvénients. Toutefois, chez les patients jeunes, en général de moins de 50 ans, malgré les risques de nécrose, l'ostéosynthèse est conseillée, même dans les fractures Garden III et IV.
En cas de fracture du massif trochantérien, compte tenu du faible risque de nécrose, la solution chirurgicale est presque toujours l’ostéosynthèse. Cette dernière a pour but de fixer la fracture une fois la réduction de celle-ci obtenue. Il peut s’agir d’une vis-plaque ou d’un clou fémoral proximal verrouillé type clou gamma (fig. 15). Dans les cas de fracture particulièrement instable ou lorsque la fracture s’étend vers la diaphyse, l’ostéosynthèse par clou est recommandée.
Dans les suites des fractures cervicales vraies, les prothèses et les ostéosynthèses autorisent en général une reprise rapide de l’appui. Dans les suites des fractures du massif trochantérien, cette reprise de l’appui dépend de la stabilité du montage et notamment de l’existence ou non d’une console interne. Lorsque les fractures sont instables, l’appui est retardé. Dans tous les cas, un traitement préventif thromboembolique est indiqué. De même, la mise au fauteuil et si possible la déambulation doivent être encouragées au maximum. L’idéal semble actuellement une prise en charge commune avec des gériatres dans le cadre d’une unité postopératoire de gériatrie.
Ainsi, à un an, dans une population initialement autonome, 40 % marchent sans aide, 25 % avec des cannes, 25 % avec un déambulateur et 10 % ne marchent plus.

Complications

Générales

Ce sont les plus redoutables. Il s’agit en général de la décompensation des tares préexistantes et des complications de décubitus. Le retour à l’autonomie est souvent difficile. La mortalité dans l’année qui suit la survenue d’une fracture de l’extrémité supérieure du fémur est de 25 %.

Locales

Les infections : compte tenu du terrain particulier, ces patients sont plus particulièrement exposés à l’infection, ce d’autant qu’ils ont un matériel étranger mis en place. Les infections précoces sur prothèse nécessitent un lavage et un changement des pièces mobiles. Les infections précoces sur ostéosynthèse nécessitent un lavage.
La faillite mécanique de l’ostéosynthèse (fig. 16) : c’est la complication la plus fréquente des ostéosynthèses (de 4 à 12 %). Elle peut être liée à un défaut dans la réalisation de l’ostéosynthèse mais aussi à un os de piètre qualité ou une reprise intempestive de l’appui.
La luxation (fig. 17) : c’est la complication la plus fréquente des arthroplasties, qui peut survenir malgré l’utilisation de système de prothèses plutôt stables, souvent liée à la mauvaise observance des patients vis-à-vis des gestes à éviter. Cela peut aussi être le signe d’une infection sous-jacente, qu’il faudra alors rechercher par la réalisation d’une ponction articulaire au moment de la réduction de la luxation au bloc opératoire.
Les fractures périprothétiques (fig. 18) : c’est une complication des arthroplasties liée aux chutes fréquentes dans cette population âgée et qui expose au risque de fracture du fémur autour de la prothèse.
La pseudarthrose (fig. 19) : c’est une complication qui concerne plus particulièrement les fractures cervicales vraies, en cas d’ostéosynthèse, mais aussi parfois les fractures du massif trochantérien. On parle de pseudarthrose si la fracture n’est pas consolidée au bout de 6 mois et de retard de consolidation entre 3 et 6 mois. En général, il s’agit de douleurs persistantes, parfois d’une modification du montage. Lorsque le diagnostic n’apparaît pas certain, il est indiqué de réaliser un scanner. Le traitement en est une prothèse chez les personnes âgées et une ostéotomie de valgisation chez les patients jeunes.
L’ostéonécrose de la tête fémorale (fig. 20) : elle survient en général à distance de la fracture, se manifestant par des douleurs. Si le diagnostic est facile une fois que la tête fémorale s’effondre, il peut être plus difficile au début, nécessitant la réalisation de scintigraphie osseuse, l’IRM étant la plupart du temps perturbée par la présence de l’ostéosynthèse.
Les cals vicieux : cette complication concerne plus particulièrement les fractures du massif trochantérien. Ce cal vicieux est souvent responsable d’un excès de rotation externe et d’un raccourcissement. En général, chez les plus âgés, cela ne compromet pas le retour à l’autonomie et il est rare qu’une intervention soit nécessaire. En revanche, c’est une complication qu’il faut éviter chez les patients jeunes et qu’il faut corriger par une ostéotomie si elle survient.

Conclusion

Les fractures de l'extrémité supérieure du fémur sont graves. Elles compromettent le pronostic vital chez les personnes âgées et le pronostic fonctionnel chez les plus jeunes. Il faut bien distinguer les fractures cervicales vraies, qui exposent au risque de nécrose, et les fractures de la région trochantérienne, qui exposent au risque de cal vicieux. Les fractures cervicales vraies sont une urgence thérapeutique chez les jeunes et doivent être traitées par ostéosynthèse. Chez les patients plus âgés, il faut prendre le temps de faire un bilan préopératoire et de préparer le patient à l’intervention, mais il ne faut pas réaliser cette dernière au-delà de la 48e heure, sauf cas de force majeure. La prise en charge post­­opératoire est essentielle pour une récupération de l’autonomie et doit se faire idéalement en coordination avec les gériatres dans le cadre d’une unité postopératoire de gériatrie.
Points forts
Fractures fréquentes de l’adulte et du sujet âgé

POINTS FORTS À RETENIR

La fracture de l’extrémité supérieure du fémur met en jeu le pronostic vital dans l’année qui suit la fracture chez 25 % des patients âgés.

Les fractures cervicales vraies sont une urgence chez le patient jeune et doivent être opérées idéalement dans les 48 heures chez le patient âgé.

L’ostéosynthèse est indiquée dans les fractures Garden I et II, dans les fractures du massif trochantérien et chez les patients jeunes, quel que soit le type de fracture.

L’arthroplastie est indiquée dans les fractures cervicales vraies Garden III et IV chez les patients âgés.

Les principales complications après ostéosynthèse pour une fracture cervicale vraie Garden I ou II sont la nécrose de la tête fémorale et la pseudarthrose.

Les principales complications après ostéosynthèse du massif trochantérien sont la faillite du matériel.

Les principales complications après arthroplastie sont les luxations.

Dans tous les cas, le risque infectieux, chez ces patients fragiles, est important.

Dans cet article

Ce contenu est exclusivement réservé aux abonnés