Un homme de 70 ans est suivi pour une leucémie myélomonocytaire chronique. Il est hospitalisé pour altération de l’état général.
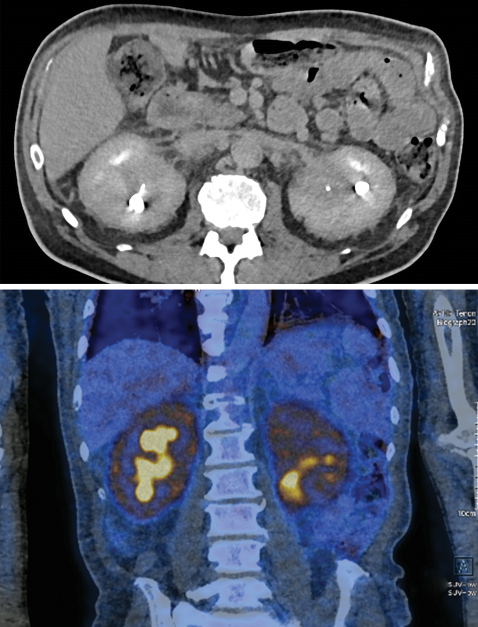
Un scanner puis une tomographie par émission de positons couplée à un scanner (TEP scan) sont réalisés.
Quel est votre diagnostic ?
La maladie d’Erdheim Chester est une histiocytose non Langerhansienne. Elle est caractérisée par l'infiltration xanthomateuse ou xanthogranulomateuse des tissus par des histiocytes spumeux, des macrophages ou des histiocytes chargés de lipides.
Les atteintes sont multiples : osseuses, diabète insipide, exophtalmie, xanthélasmas, pneumopathie interstitielle, surrénale, fibrose rétro-péritonéale, rénale, testiculaire, système nerveux central, système cardiovasculaire.
L'infiltration de la graisse périrénale donne un aspect de « rein chevelu ».
Les traitements proposés sont l’interféron et les inhibiteurs de BRAF en cas de mutation BRAF.
Les atteintes sont multiples : osseuses, diabète insipide, exophtalmie, xanthélasmas, pneumopathie interstitielle, surrénale, fibrose rétro-péritonéale, rénale, testiculaire, système nerveux central, système cardiovasculaire.
L'infiltration de la graisse périrénale donne un aspect de « rein chevelu ».
Les traitements proposés sont l’interféron et les inhibiteurs de BRAF en cas de mutation BRAF.