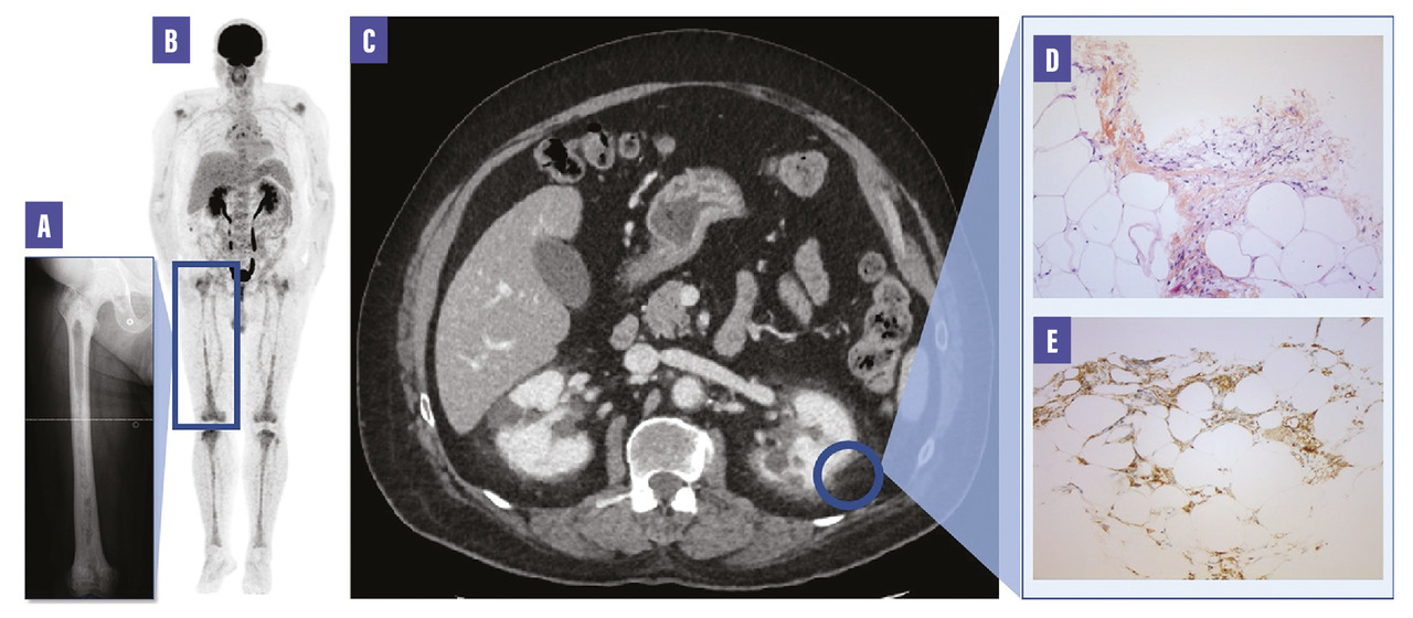
Un homme de 71 ans présente un syndrome polyuropolydipsique révélant un diabète insipide. L’anamnèse note également des douleurs d’horaire mixte des jambes. L’examen clinique est sans particularité en dehors d’une gynécomastie bilatérale expliquée par un hypogonadisme hypogonadotrope. Les examens morphologiques et fonctionnels objectivent une atteinte des os longs (fig. A et B ) et un aspect de reins « chevelus » (fig. C ). La fonction rénale est normale. La biopsie de graisse périrénale (fig. D et E ) permet de porter le diagnostic de maladie d’Erdheim-Chester.
La maladie d’Erdheim-Chester est une histiocytose non langerhansienne rare, plus fréquemment rapportée chez les hommes, avec un âge moyen d’environ 50 ans. C’est une maladie de présentation clinique très variée, allant de l’atteinte unifocale à l’atteinte multisystémique, tous les organes et systèmes pouvant être infiltrés. L’atteinte sclérotique douloureuse multifocale des os longs et le diabète insipide d’origine centrale sont fréquemment rencontrés. Le pronostic est fonction des atteintes extra-osseuses.
Le diagnostic peut être difficile et retardé. L’analyse histologique d’un tissu atteint permet de confirmer le diagnostic (infiltration par des histiocytes spumeux CD68+, CD1a-, S100-) et de rechercher les mutations permettant une thérapie ciblée, en particulier la mutation BRAFV600E. Le traitement, notamment par thérapie ciblée (inhibiteur de BRAF ou de MEK) lorsqu’une mutation est mise en évidence, est indiqué chez les patients symptomatiques et/ou présentant une dysfonction d’organe ou une atteinte du système nerveux central.1, 2
Le diagnostic peut être difficile et retardé. L’analyse histologique d’un tissu atteint permet de confirmer le diagnostic (infiltration par des histiocytes spumeux CD68+, CD1a-, S100-) et de rechercher les mutations permettant une thérapie ciblée, en particulier la mutation BRAFV600E. Le traitement, notamment par thérapie ciblée (inhibiteur de BRAF ou de MEK) lorsqu’une mutation est mise en évidence, est indiqué chez les patients symptomatiques et/ou présentant une dysfonction d’organe ou une atteinte du système nerveux central.1, 2
Références
1. Goyal G, Heaney ML, Collin M, Cohen-Aubart F, Vaglio A, Durham BH, et al. Erdheim-Chester disease: Consensus recommendations for evaluation, diagnosis, and treatment in the molecular era. Blood 2020;135(22):1929-45.
2. Papo M, Emile JF, Trovati-Maciel T, Bay P, Baber A, Hermine O, et al. Erdheim-Chester disease: A concise review. Current Rheumatology Reports 2019;21:66.
2. Papo M, Emile JF, Trovati-Maciel T, Bay P, Baber A, Hermine O, et al. Erdheim-Chester disease: A concise review. Current Rheumatology Reports 2019;21:66.
Une question, un commentaire ?
Sur le même thème
Exercice