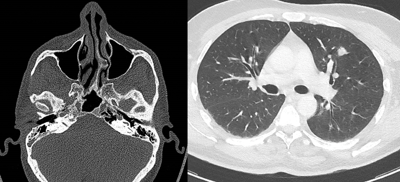
Un homme de 57 ans consulte pour une altération de l’état général avec fièvre. Il a depuis deux mois des otites bilatérales résistantes aux antibiotiques.

Le scanner montre un comblement des cellules mastoïdiennes et un nodule pulmonaire. La CRP est à 125 mg/L. Il a une protéinurie et une hématurie à la bandelette urinaire.
Quel est votre diagnostic ?
La granulomatose avec polyangéite (GPA) est une vascularite des petits vaisseaux caractérisée par des symptômes ORL trainants (sinusites, otites), une atteinte pulmonaire (nodules, infiltrats, hémorragies alvéolaires) et une glomérulonéphrite extracapillaire. La présence d’anticorps anticytoplasme des polynucléaires (ANCA) de type protéinase 3 est très évocatrice. Le traitement associe corticoïdes, cyclophosphamide ou rituximab.

Exercez-vous aux ECN avec les dossiers progressifs et les LCA de La Revue du Praticien