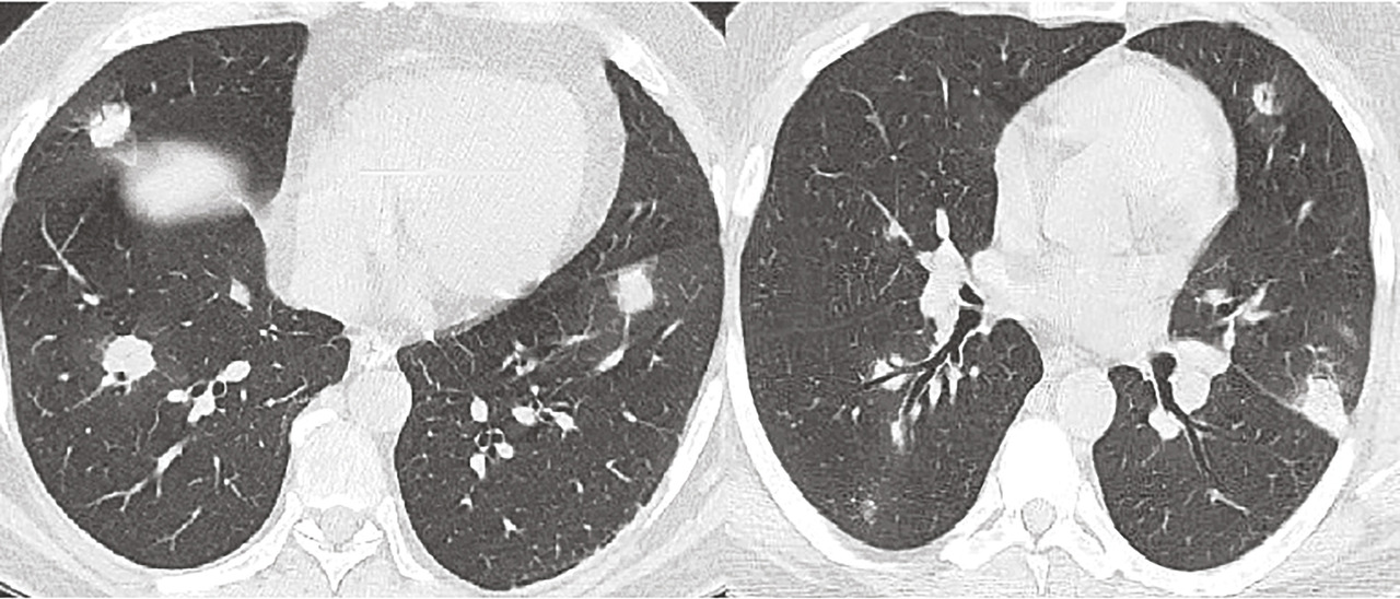
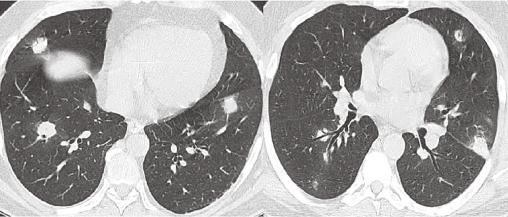
Cet homme de 46 ans était hospitalisé pour une hémoptysie fébrile. La tomodensitométrie thoracique montrait des nodules pulmonaires bilatéraux dont certains excavés (v. figure ). La protéine C-réactive était à 301 mg/L, la créatininémie à 80 μmol/L initialement mais la fonction rénale s’était dégradée en quelques jours avec un maximum 430 μmol/L. Une fibroscopie bronchique était réalisée ainsi que des biopsies ne mettant pas en évidence de tumeur. Une recherche d’anticorps anti-cytoplasme des neutrophiles (ANCA) était alors demandée en urgence : ils étaient fortement positifs avec fluorescence de type cytoplasmique et spécificité de type PR3. Le diagnostic final était celui d’une granulomatose avec polyangéite (anciennement maladie de Wegener). L’évolution était favorable après un traitement immunosuppresseur lourd (bolus de Solumedrol et de cyclophosphamide puis entretien par rituximab) associé à des échanges plasmatiques à la phase initiale.
Devant des images pulmonaires nodulaires, a fortiori excavées, il est important de savoir évoquer des causes non tumorales, notamment des infections (tuberculose, abcès, endocardites) et des maladies de système (histiocytose X, polyarthrite rhumatoïde, vascularite à ANCA).1 Cet enjeu diagnostique est fondamental dans les vascularites à ANCA car le pronostic est en partie lié à la rapidité du diagnostic et à la mise en place d’un traitement spécifique, notamment lorsqu’il existe un syndrome pneumo-rénal.2
Références
1. Cherni N, Jouini S, Hablani N, et al. Approche diagnostique des lésions focales pulmonaires excavées en imagerie. J Radiol 2006;87:1562.
2. Salmela A, Törnroth T, Poussa T, Ekstrand A. Prognostic factors for survival and relapse in ANCA-associated vasculitis with renal involvement: a clinical long-term follow-up study. Int J Nephrol 2018;2018:6369814.
2. Salmela A, Törnroth T, Poussa T, Ekstrand A. Prognostic factors for survival and relapse in ANCA-associated vasculitis with renal involvement: a clinical long-term follow-up study. Int J Nephrol 2018;2018:6369814.
Une question, un commentaire ?
Sur le même thème
Exercice