Vous recevez en consultation, adressé par son dermatologue, Mr J., 59 ans, pour toux et dyspnée évoluant depuis 6 mois. Dans ses antécédents, vous retrouvez : un tabagisme actif à 10 paquets-année, une dermatopolymyosite traitée par Methotrexate, actuellement stable. Il est plombier-chauffagiste depuis l’âge de 14 ans. Son poids est stable à 73kg, il présente une toux sèche non quinteuse, d’apparition progressive associée à une dyspnée de stade 2 MRC et dit ne pas avoir eu d’épisode fébrile ces derniers temps, il a juste quelques céphalées de temps en temps pour lesquelles il prend du Paracetamol. Vous retrouvez à l’examen des crépitants velcro des bases, et quelques œdèmes des membres inférieurs. La gazométrie en air ambiant retrouve : PaO2= 65mmHg, PaCO2= 25mmHg, pH= 7,47, HCO3-= 22 mmol/L, Hémoglobine=16,4 g/dL.

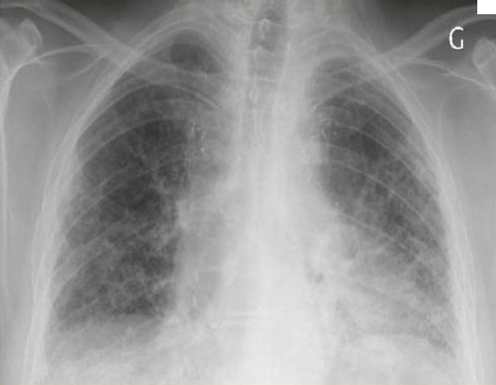
La radiographie de thorax est la suivante :

Question 1 : Qu’est-il possible d’affirmer d’après la radiographie de thorax
Prédominance de réticulations de manière diffuse
Culs de sac pleuraux bien visibles
Absence de cœur en goutte, d’aplatissement des coupoles et d’horizontalisation des côtes
Un syndrome interstitiel est évoqué sur la radiographie thoracique devant la présence de réticulations diffuses majoritairement. Ces traits sont orientés dans toutes les directions, pouvant dessiner ainsi des polygones correspondant aux lobules pulmonaires.
Le syndrome interstitiel radiologique peut être composé de :
- réticulations (« traits » correspondants aux septa lobulaires)
- micronodules (<3 mm)
- épaississements péri-broncho-vasculaires
- verre dépoli
Question 2 : A quel tableau biologique peut correspondre la gazométrie ?
Insuffisance respiratoire grave = PaO2 55 mmHg ou 60 mmHg si polyglobulie, HTP, désaturations nocturnes non apnéiques ou insuffisance cardiaque droite
Elle n’est pas compensée car le pH est > 7,45
Alcalose respiratoire par hyperventilation responsable d’une hypocapnie.
Ce n’est pas une alcalose métabolique car les bicarbonates sont dans la norme basse (norme 22-26 mmol/L)
Petit rappel : Insuffisance respiratoire chronique = 2 gazométries avec une PaO2 < 70 mmHg à 3 semaines d’intervalle à l’état stable.
Entraînez-vous :
Question 3 : Interpréter les EFR.
Car rapport de Tiffeneau (VEMS/CVF) > 70% : ici 89.19%
Vrai car TLCO 70% : ici 18.5%
Se définit par une CPT >120% et un VR/CPT >30% ce qui n’est pas le cas ici
Se définit par une CPT 80% ; ici 40,3%
DEM dans les normes (entre 80% et 120%)
Sur des EFR vous pouvez distinguer 3 colonnes : une dénommée « mesures » qui contient les valeurs mesurées chez le patient, une seconde dénommée « Théo » qui est la colonne contenant les valeurs théoriques attendues chez ce patient et enfin une troisième colonne « %Théo » dans laquelle est exprimé pour chaque paramètre le pourcentage de la valeur mesurée par rapport à la valeur théorique.
Attention à ne pas vous tromper pour la valeur du rapport de Tiffeneau : il faut bien regarder la valeur en % dans la colonne « mesures » et non pas le %théorique qui est un pourcentage d’un pourcentage !!
Question 4 : Quels sont les diagnostics probables chez ce patient ?
Pneumopathie au Methotrexate
Pneumoconiose = fibrose par inhalation de poussières minérales inertes (ici amiante car profession exposée).
Pneumopathie fongique à Pneumocystis jirovecii (infection de l’immunodérpimé)
Les pneumopathies interstitielles peuvent être aiguës (<3 semaines) ou chroniques (>3 semaines) = infiltration de la charpente conjonctive du poumon
Concernant les causes aiguës il vous faudra penser principalement à 4 grandes étiologies : infectieuses, insuffisance cardiaque, syndrome de détresse respiratoire aiguë (SDRA) et à une acutisation d’une pneumopathie interstitielle diffuse (PID) chronique.
Concernant les causes subaiguës ou chroniques : Distinguer les causes CONNUES des causes INCONNUES
Vous réalisez une endoscopie bronchique. Le lavage broncho-alvéolaire montre : 280 000 éléments nucléés dont 48% de macrophages alvéolaires, 30% neutrophiles, 1% éosinophiles, 5% lymphocytes. Résultat de l’analyse minéralogique : 1,1 corps asbestosique/mL.
Question 5 : Interpréter la cytologie du LBA.
Le terme n’existe pas ; dans l’asbestose nous retrouvons dans la plupart des cas une alvéolite neutrophilique avec des corps asbestosiques (fibres d’amiante)
L’alvéolite est définie par une cellularité > 150.106 /L chez le sujet non-fumeur et > 250.106/L chez le fumeur.
Formule normale : 70-80% macrophages, 5-10% lymphocytes, < 3% neutrophiles, < 1% éosinophile.
Question 6 : Le bilan immunologique est normal. Quel(s) diagnostic(s) étiologique(s) peut-on exclure à ce stade ?
Les PID dans le cadre de dermatopolymyosites peuvent être séronégatives surtout sous traitement immunosuppresseur.
Exposition à l’amiante + fibrose radiologique + corps asbestosiques au LBA = asbestose.
HTP et non HTAP car groupe 3 (origine respiratoire = la fibrose)
A ce stade aucun de ces diagnostics ne peut être écarté :
- PID médicamenteuse : imputabilité intrinsèque (chronologie compatible) + imputabilité extrinsèque (effet secondaire reconnu du Méthotrexate)
- PID dans le cadre d’une dermatopolymyosite : connectivite pourvoyeuse de PID
- Pneumoconiose : ici même ASBESTOSE : exposition reconnue+ corps asbestosiques avec alvéolite neutrophilique
- HTP groupe 3 : toute insuffisance respiratoire est pourvoyeuse d’HTP à cause de l’hypoxémie entraînant une vasoconstriction réflexe qui entraîne un remodelage vasculaire par la suite.
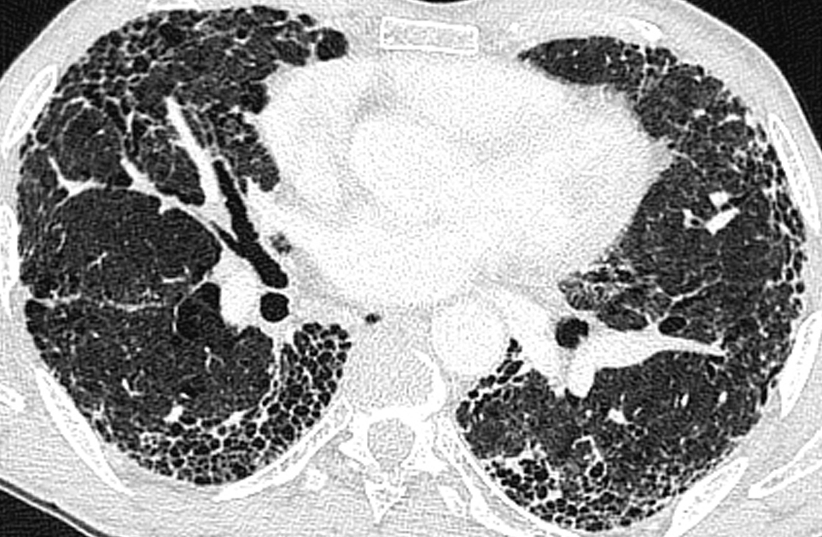
Question 7 : Un scanner thoracique a été réalisé ; interprétez-le :
Il s’agit ici d’un tableau de pneumopathie interstitielle diffuse ayant évolué vers la fibrose. La sémiologie des lésions élémentaires du syndrome interstitiel déjà décrit à la question 2 est associé à des signes de fibrose qui peuvent comprendre de manière générale deux grandes entités :
1) de la destruction parenchymateuse : typiquement les microkystes (rayon de miel) qui sont de petits « trous », avec paroi, à prédominance sous-pleural
2) des distorsions architecturales dont la plus connues et fréquente et la bronchectasie de traction (différent de la dilatation des bronches qui est une maladie inflammatoires des bronches, la bronchectasie de traction correspond juste à une distorsion de la bronche par traction interstitielle)
Concernant l’origine de la PID, l’on s’orientera ici préférentiellement vers l’asbestose car le scanner montre des images plutôt en faveur de pneumopathie interstitielle commune (PIC) (absence de verre dépoli) et l’alvéolite est neutrophilique ; dans le cadre d’une PID médicamenteuse, l’alvéolite est plutôt lymphocytaire voire éosinophilique et les images plutôt en faveur d’une pneumopathie interstitielle non spécifique (PINS) (verre dépoli+++) et dans la PID de la dermatopolymyosite si l’alvéolite est plutôt neutrophilique ou lymphocytaire, le scanner montre le plus souvent des images de pneumopathie interstitielle non spécifique (PINS) également.
La PIC et la PINS sont des tableaux radiologiques décrit ci-dessous :

 

 

Question 8 : Il s’agit d’une pneumopathie interstitielle diffuse évoluée. Une nouvelle gazométrie un mois plus tard retrouve les mêmes valeurs. Quel traitement doit-on lui proposer ?
En France, l’oxygénothérapie longue durée (OLD) est bien cadrée par les recommandations de la Haute Autorité de Santé (HAS) de 2012 sur l’oxygénothérapie à domicile.
Une OLD est recommandée lors d’une PAO2<55 mmHg ou PaO2<60 mmHg avec des signes de souffrances liées à l’hypoxie tissulaire (polyglobulie, hypertension pulmonaire, signes d’insuffisance cardiaque droite et désaturation nocturne non apnéique avec SpO2 <90% plus de 30% du temps d’enregistrement). Si l’OLD est indiquée, elle doit être administrée à domicile, au moyen de lunettes nasales, un minimum de 15h/j pour être efficace, avec un débit nécessaire pour obtenir une PaO2>60 mmHg ou SpO2 >90%. Attention, il n’y a pas lieu de prescrire une OLD si la permanence de l’hypoxémie n’a pas été affirmée par 2 mesures concordantes des gaz du sang artériel, séparées par une période d’au moins 3 semaines.
L’OLD consiste en une administration d’O2 > 15h/j pour une durée supérieure à 3 mois.
La réhabilitation respiratoire peut être indiquée à tout patient insuffisant respiratoire chronique avec handicap (dyspnée, retentissement socio-professionnel, etc…). Le terme « réhabilitation respiratoire » désigne une approche globale et multidisciplinaire de l’IRC qui est la plupart du temps réalisée dans des centres dédiés. Elle comprend : l’optimisation du traitement médicamenteux, l’aide à l’arrêt du tabac, le réentraînement à l’exercice, la kinésithérapie respiratoire de drainage bronchique, la prise en charge psychosociale, l’éducation et la prise en charge nutritionnelle.
Quelques mois plus tard le patient se plaint d’une aggravation de la dyspnée et d’une majoration des œdèmes aux membres inférieurs alors que les EFR et les images scannographiques du parenchyme pulmonaire sont inchangées. 
Question 9 : Quel(s) examen(s) complémentaire doit être réalisé en première intention à ce stade ?
Pas en première intention
Devant une stabilité de l’atteinte interstitielle pulmonaire scannographique et fonctionnelle avec dégradation clinique, il faut rechercher une HTP en premier chez les patients insuffisants respiratoires chroniques. Elle peut expliquer à elle seul l’aggravation de la dyspnée par atteinte de la diffusion alvéolo-capillaire.
Une échographie cardiaque estime la pression artérielle pulmonaire systolique (PAPs) à 42 mmHg. Le cathétérisme cardiaque droit retrouve une pression artérielle pulmonaire moyenne à 29 mmHg avec une pression artérielle pulmonaire d’occlusion (PAPO) à 11 mmHg. Le test de marche des 6 minutes retrouve une distance parcourue diminuée et une désaturation à l’effort. 
Question 10 : Comment interprétez-vous ces examens ?
HTAP = groupe 1 (idiopathique, génétique, médicamenteuse, VIH, bilharziose, connectivites, hypertension portale, cardiopathie congénitale, maladie veino-occlusive, hémangiomatose pulmonaire)
HTP des cardiopathies gauches
HTP car PAPs > 35 mmHg et PAPm > 25 mmHg.Il s’agit ici d’une HTP précapillaire (PAPO 15 mmHg) du groupe 3 (= secondaire aux insuffisances respiratoires chroniques dont la physiopathologie résulte d’une vasoconstriction capillaire pulmonaire reflexe dans le but d’améliorer les rapports ventilation-perfusion pour corriger l’hypoxémie)
Les recommandations ERS/ESC (European Respiratory Society/European Society of Cardiology) de 2015 cadrent la prise en charge diagnostique et thérapeutiques de l’hypertension pulmonaire.
L’échographie trans-thoracique est un examen de dépistage (PAPS > 325 mmHg). La confirmation diagnostique est possible par un cathétérisme cardiaque droit pour mesure direct des pressions dans l’artère pulmonaire. En revanche, le cathétérisme cardiaque droit de confirmation n’est pas nécessaire dans les hypertensions du groupe 2 (d’origine cardiaque gauche) ou du groupe 3 (secondaire à une pathologie pulmonaire ou une hypoxie) car il n’y a pas de traitement spécifique à proposer en dehors du traitement de l’étiologie, et ni du groupe 4 (thrombo-embolique chronique) s’il y a des signes évidents thrombo-emboliques à l’angio-scanner thoracique. 
Si les groupes 2, 3 et 4 sont éliminés par le bilan, il faut alors réaliser un cathétérisme cardiaque droit de confirmation (PAP moyenne > 25 mmHg) pour parler d’hypertension ARTERIELLE pulmonaire probable du groupe 1 qui débouchera alors sur un bilan étiologique spécifique.
Pendant un cathétérisme cardiaque droit, il est possible de réaliser une mesure de la pression capillaire pulmonaire (ou pression artérielle pulmonaire d’occlusion) qui estimera les pressions post-capillaires. Une pression > 15 mmHg fait suspecter une étiologie post-capillaire (groupe 2).
Après plusieurs années de prise en charge classique, le patient est hospitalisé pour un épanchement pleural unilatéral. Vous réalisez une ponction pleurale. Le liquide est citrin. Le taux de protides est à 40 g/L. L'examen cytologique trouve 2000 éléments/ml. La formule note 50 % de lymphocytes, 10 % de polynucléaires neutrophiles non altérés et 40 % de cellules mésothéliales.
Question 11 :  Interprétez les résultats de la ponction pleurale.
Critères de ponction pleurale

 

 

Question 12 : A quel(s) diagnostic(s) devez-vous absolument penser ?
Un épanchement pleural chez un patient dont l’exposition à l’amiante remonte à au moins 10 ans doit être suspecté comme néoplasique.
Le mésothéliome pleural malin est une tumeur primitive de la plèvre ; à toujours garder en mémoire lors d’une exposition à l’amiante. Le délai de latence va de 15 à 30 ans. Asymptomatique au début, il se révèle tardivement par des douleurs thoraciques, toux, dyspnée avec souvent une pleurésie.
Les plaques pleurales sont des lésions bénignes dues à une exposition à l’amiante ; cela ne donne pas de pleurésie.
Les pleurésies asbestosiques bénignes sont fréquentes, pouvant apparaître moins de 10 ans après l’exposition à l’amiante ; mais il s’agit d’un diagnostic d’élimination. L’épanchement pleural est plutôt à prédominance éosinophilique.
Question 13: Quel est le premier examen à réaliser dans le cadre de la pathologie que vous redoutez ?
Les biopsies pleurales pour examen anatomopathologiques sont indispensables pour affirmer le diagnostic de mésothéliome. Le scanner montrera un festonnement pleural avec épaississement diffus mais n’affirmera en AUCUN cas le diagnostic de mésothéliome.
Il est recommandé en première intention (si le geste est bien sûr faisable) de réaliser ces biopsies pleurales sous thoracoscopie. Des biopsies chirurgicales seront à réaliser si la thoracoscopie n’a pas apporté le diagnostic. Les biopsies pleurales échoguidées ou scano-guidées ont une faible rentabilité et ne seront pratiquées qu’en cas d’impossibilité des précédents examens (patient fragile).
Concernant l’épanchement pleural, des cellules cancéreuses sont présentes dans moins de 30% des cas ; ainsi la négativité de cet examen ne pourra en aucun cas éliminer le diagnostic de mésothéliome. En présence de cellules cancéreuses, il est souvent difficile de déterminer le type de cellules cancéreuses, c’est pourquoi la cytologie seule ne peut pas affirmer le diagnostic de mésothéliome pleural.
Question 14: Le diagnostic de néoplasie a été posé ; quelles démarches administratives devez-vous réaliser ?
Le mésothélium pleural malin est une maladie à déclaration obligatoire depuis 2012.
Le patient dans le cadre de l’asbestose avait déjà dû bénéficier d’une indemnisation par la FIVA (Fond d’indemnisation des victimes de l’amiante) mais une nouvelle déclaration doit être réalisée auprès de l’organisme devant l’aggravation de la pathologie. Ce n’est pas au médecin de faire la demande d’indemnisation auprès de la FIVA mais au patient.
Aucun contact entre l’employeur et le médecin ayant fait le diagnostic ne doit être réalisé.
Question 15 : Mr J. est en cours de chimiothérapie avec notamment des sels de platine (cisplatine) ; quels sont les effets secondaires classiques des sels de platine ?
Non, ce sont les anthracyclines : cardiomyopathie dilatée et les analogues de l’uracile : spasmes coronariens.
Quand on parle des toxicités des chimiothérapies, classez-les en 2 groupes : les toxicités communes et les toxicités spécifiques.
Toxicités communes :
-hématologiques : anémie, thrombopénie, neutropénie, pancytopénie
-digestives : vomissements, diarrhées, mucites
- gonadiques : infertilité, stérilité
- cancérogénicité secondaire
Toxicités spécifiques de la cisplatine : toxicité rénale, auditive, neuropathies périphériques, très émétisant.

Exercez-vous aux ECN avec les dossiers progressifs et les LCA de La Revue du Praticien