Un homme de 61 ans, dont vous êtes le médecin traitant, consulte en début d’après-midi pour « un engourdissement » de son bras droit régressif spontanément dans la matinée, vers 10 heures. Vous le suivez pour un surpoids, un diabète de type 2 (actuellement sous metformine) et une hypertension artérielle (actuellement sur inhibiteur de l’enzyme de conversion) depuis 3 ans. Il prend également occasionnellement des anti-inflammatoires non stéroïdiens pour des crises de migraine, mais celles-ci sont de plus en plus rares ces dernières années. Il fume 15 cigarettes par jour.

Il n’a plus aucune plainte lorsque vous l’examinez, et votre examen physique est normal. La tension artérielle est à 155/91 mmHg, la fréquence cardiaque à 75/min, et la glycémie capillaire à 1,20 g/l.
Question 1 : Vous évoquez 
Devant un trouble neurologique transitoire, il faut évoquer un AIT, une aura migraineuse (surtout chez ce patient aux antécédents de migraine) et une crise épileptique partielle. L’hypoglycémie ne donne pas de symptôme neurologique transitoire (à moins que le patient ne se resucre, mais ce n’est pas précisé dans l’énoncé), et ce patient n’a par ailleurs aucune raison de faire une hypoglycémie (pour rappel, la metformine ne donne pas d’hypoglycémie). L’hémorragie méningée se révèle par une céphalée inhabituelle
Vous interrogez le patient en détail. L’épisode aurait duré environ 20 minutes. Il décrit une faiblesse motrice du membre supérieur droit prédominant au niveau de la main, associée à une asymétrie faciale, apparue d’une seconde à l’autre, d’emblée maximale. Il n’y a pas eu de paresthésies, ni de flashs lumineux ou de tremblements. Il ne rapporte par ailleurs pas de céphalées pendant ou après l’épisode.
Question 2 : Quel(s) élément(s) est(sont) plus en faveur du diagnostic d’accident ischémique transitoire que de celui d’aura migraineuse ?
L’AIT comme l’aura peut durer 20 minutes
L’aura est fréquemment suivie de céphalées migraineuses, bien que ce ne soit pas systématique
Le déficit moteur est très rare dans l’aura, et sera toujours précédé de troubles visuels et sensitifs.
Seule l’anamnèse permettra d’orienter vers l’un des 3 diagnostics évoqués à la question précédente.
L’AIT est caractérisé par un déficit neurologique survenant d’une seconde à l’autre (« brutal »), d’emblée maximal, avec des symptômes négatifs variant selon la localisation anatomique de l’ischémie (déficit moteur, trouble sensitif, amputation du champ visuel ou scotome, trouble du langage, etc.).
L’aura est d’apparition progressive sur plusieurs minutes (« marche migraineuse »), est volontiers constituée de symptômes positifs (flashs lumineux, voire colorés) et le plus souvent suivie de céphalées. Les troubles commencent dans l’immense majorité des cas par des troubles visuels, parfois suivis de troubles sensitifs puis de troubles du langage. Les troubles moteurs sont très rares, et toujours précédés des troubles visuels et sensitifs.
La crise épileptique partielle est d’installation rapidement progressive (quelques secondes), et d’une durée généralement brève. La répétition d’épisodes similaires dans le temps est très évocatrice de la nature épileptique. Les symptômes sont très variés selon la localisation de la crise.
Vous retenez le diagnostic d’AIT probable.
Question 3 : Le risque de récidive ischémique à court terme est élevé car ce patient a 
Le score ABCD2 est un outil clinique très utile, permettant d’évaluer le risque de récidive ischémique précoce après un AIT, et donc d’évaluer l’urgence nécessaire à la prise en charge.
Voici le détail du score, qui prend en compte les 5 items proposés dans la réponse :
 

Extrait :  Le Concours médical - 137 - 9 - 2015
Plus le score est élevé, plus le risque d’infarctus cérébral constitué est élevé au cours du suivi. Un AIT avec score ABCD2 ≥ 4 est considéré comme à haut risque de récidive, nécessitant une exploration urgente en unité neurovasculaire.
Question 4 : Que faites-vous ?
Le score ABCD2 du patient est à 6. Ainsi, son risque de récidive ischémique précoce est élevé, et il est nécessaire que des explorations soient réalisées en urgence dans une unité neurovasculaire. Même si la nature ischémique des symptômes semble très probable, il est nécessaire d’attendre les résultats de l’imagerie cérébrale avant d’introduire un traitement antithrombotique. En effet, l’imagerie cérébrale révèlera dans de rares cas une lésion hémorragique ou une lésion tumorale (à l’origine de crise épileptique partielle).
Le patient est adressé immédiatement dans l’unité neurovasculaire la plus proche. Le neurologue confirme que l’examen neurologique est normal (score NIHSS à 0).
Question 5 : Quelles explorations complémentaires doivent être réalisées dès l’admission ?
Il faut réaliser en urgence :
– une IRM cérébrale qui permettra d’apporter des arguments pour un diagnostic différentiel éventuel, et d’apporter des arguments en faveur de la nature ischémique de l’épisode neurologique (lésion ischémique récente visible en hypersignal sur l’imagerie de diffusion). Par ailleurs, la présence de lésions ischémiques récentes sur la séquence de diffusion est un facteur de risque de récidive ischémique précoce (cf. question suivante), et est utile pour la décision d’hospitalisation ou non du patient. À noter que la normalité de l’IRM cérébrale n’exclut pas l’origine ischémique de l’épisode (un déficit très bref peut ne laisser aucune trace visible à l’imagerie) ;
– une imagerie des artères cérébrales (= intracrâniennes) ETcervicales (= troncs supra-aortiques), à la recherche d’une sténose ou occlusion artérielle dans le territoire de l’épisode ischémique. La présence d’une sténose serrée ou occlusion est un facteur de risque majeur de récidive ischémique, raison pour laquelle il est important de l’évaluer le plus rapidement possible, pour adapter la prise en charge de prévention secondaire ;
– un ECG, à la recherche de signes de cardiopathie (arythmie cardiaque par fibrillation auriculaire [ACFA] ou ischémie myocardique notamment).
L’EEG n’est d’aucune utilité s’il n’y a pas d’arguments cliniques pour une crise épileptique.
Il faut bien entendu réaliser un bilan biologique standard, incluant un bilan d’hémostase classique (plaquettes, taux de prothrombine [TP], temps de céphaline activée [TCA]) à la recherche d’une coagulopathie.
Une IRM cérébrale est réalisée.
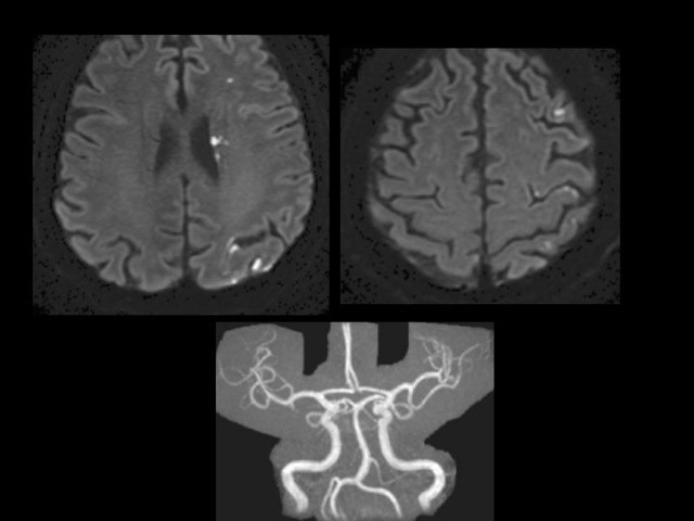
Voici 2 images clés de l’IRM de diffusion et une l’angiographie par résonance magnétique (ARM) cérébrale
Question 6 : Que constatez-vous ?
Les deux coupes de l’imagerie de diffusion montrent des hypersignaux punctiformes multiples, tous localisés dans le territoire de l’artère cérébrale moyenne gauche. Il n’y a aucune anomalie visible sur l’ARM cérébrale (ni sténose ni occlusion artérielle, notamment dans le territoire ischémique atteint).
Question 7 : Vous retenez la présence d’hypersignaux punctiformes multiples sur la séquence de diffusion, également visibles sur la séquence FLAIR, dans le territoire de l’artère cérébrale moyenne gauche. Il n’y a pas de sténose ou d’occlusion des artères cérébrales ou cervicales. La séquence T2* est normale.
En cas de déficit neurologique transitoire, en plus des éléments cliniques présents dans le score ABCD2, deux éléments radiologiques sont des facteurs de risque de récidive ischémique précoce : la présence de lésions ischémiques récentes sur l’imagerie de diffusion et la présence d’une sténose > 50 % ou occlusion d’une artère cérébrale ou cervicale. 
À noter que la définition de l’AIT impose un imagerie cérébrale complètement normale. Ainsi, on parlera d’infarctus cérébral avec symptômes régressifs en cas de lésions ischémiques visibles sur la séquence de diffusion. La prise en charge de ces deux entités est cependant exactement la même.
Vous retenez la présence de lésions ischémiques récentes de très petite taille dans le territoire de l’artère cérébrale moyenne, sans sténose serrée ni occlusion d’une artère cérébrale. La séquence T2* est normale et la séquence FLAIR ne montre pas d’autres anomalies que celles visibles sur la séquence de diffusion. L’ARM des troncs supra-aortiques montre des plaques athéromateuses des deux bifurcations carotidiennes mais non sténosantes. Le bilan biologique standard réalisé à l’admission est normal, et l’ECG est sinusal. Nous sommes actuellement environ 8 heures après la survenue des symptômes.
Question 8 : Quel traitement antithrombotique administrez-vous immédiatement pour les premiers jours, en prévention des récidives ischémiques ?
En cas d’infarctus cérébral mineur (score NIHSS ≤ 3) ou d’AIT à haut risque de récidive (score ABCD2 ≥ 4) de moins de 24 heures, non cardio-embolique (ce qui est le cas ici, aucun argument pour une cause cardiaque sur les éléments disponibles), il est recommandé d’instaurer une bithérapie aspirine + clopidogrel en prévention des récidives ischémiques. La bithérapie a été montrée comme supérieure à l’aspirine seule dans plusieurs essais randomisés. Ce traitement doit cependant être instauré pour une courte période (généralement 3 semaines, suivi par de l’aspirine seule), car le risque hémorragique devient trop important au-delà de cette période.
La bithérapie aspirine + clopidogrel ne doit pas être administrée en cas d’infarctus cérébral non mineur (notamment si les lésions ischémiques sont de grande taille), en raison du risque de transformation hémorragique de l’ischémie. Dans ce cas, il convient d’introduire de l’aspirine seule.
Le traitement anticoagulant est réservé aux causes cardio-emboliques (par exemple, découverte d’ACFA sur l’ECG à l’admission), mais ne peut être administrée qu’en l’absence de lésions ischémiques de grande taille (donc en cas d’infarctus cérébral mineur ou d’AIT).
Vous introduisez une antiagrégation par aspirine + clopidogrel compte tenu du risque élevé de récidive.
Question 9 : Quels examens prévoyez-vous rapidement ?
Actuellement aucune cause n’est identifiée pour cet infarctus cérébral après le bilan artériel. Il faut compléter les explorations par les explorations cardiaques incluant échographie cardiaque transthoracique et transœsophagienne et surveillance scopée en unité de soins intensifs neurovasculaires (USINV) à la recherche d’ACFA.
L’échographie cardiaque transthoracique est normale, et l’examen est complété par une échographie transœsophagienne.
Question 10 : Quels sont les intérêts supplémentaires de l’échographie transœsophagienne, en comparaison à l’échographie transthoracique, dans ce contexte ?
Les trois intérêts principaux de l’échographie transœsophagienne dans le cadre du bilan étiologique d’un infarctus cérébral sont :
– la recherche d’une anomalie du septum inter-auriculaire (foramen ovale perméable [FOP] et anévrysme du septum inter-auriculaire ; car indique dans certains cas la fermeture du FOP) ;
– la recherche d’un thrombus auriculaire gauche (très mal exploré en échographie transthoracique) ;
– la recherche d’une plaque athéromateuse de l’aorte ascendante (non explorée en échographie transthoracique).
L’apex du ventricule gauche n’est pas mieux exploré en échographie transœsophagienne qu’en échographie transthoracique. L’échographie transœsophagienne n’explore pas les artères coronaires
L’échographie transœsophagienne est normale, ainsi que la surveillance scopée pendant 24 heures. Le bilan lipidique montre : LDL-cholestérol à 1,6 g/l ; HDL-cholestérol à 0,3 g/l ; l’hémoglobine glyquée est à 6,8 %. La tension artérielle est systématiquement au-dessus de la cible thérapeutique au cours de l’hospitalisation.
Votre ordonnance de sortie comporte : aspirine + clopidogrel pour trois semaines puis aspirine seule ; statine ; majoration du traitement antihypertenseur par inhibiteur de l’enzyme de conversion ; maintien du traitement antidiabétique.
Question 11 : Quels examens demandez-vous au patient de réaliser avant la prochaine consultation, prévue dans 3 mois ?
Il faut compléter le bilan étiologique par une recherche plus prolongée d’ACFA par Holter-ECG (idéalement jusqu’à 3 semaines). En effet, l’ACFA paroxystique est une cause fréquente d’infarctus cérébral, et nécessite d’être cherchée activement, car sa découverte débouchera sur une modification du traitement antithrombotique (arrêt des antiagrégants plaquettaires, remplacés par une anticoagulation efficace).
Par ailleurs, il faut vérifier que le traitement prescrit permet de contrôler les facteurs de risque vasculaire : bilan lipidique, hémoglobine glyquée et automesure tensionnelle à domicile. Ces éléments sont recommandés par la Haute Autorité de santé (HAS), « Prévention vasculaire après un infarctus cérébral ou un accident ischémique transitoire », juillet 2014, mis à jour en 2015.
Il n’est pas recommandé de faire une IRM cérébrale de contrôle systématique (quel en serait l’intérêt ?), ni de faire une recherche de résistance biologique à l’aspirine ou au clopidogrel.
Le patient revient 3 mois plus tard pour la visite de suivi post-accident vasculaire cérébral. Il n’a pas présenté de récidive depuis la sortie d’hospitalisation. L’observance thérapeutique semble avoir été excellente. Ses paramètres vitaux sont les suivants : fréquence cardiaque à 70/min, tension artérielle à 151/103 mmHg (concordant avec les chiffres d’automesure tensionnelle qu’il vous montre), saturation en oxygène à 97 %. Il a nettement diminué sa consommation tabagique (actuellement à 5 cigarettes par jour) et boit 2 verres de vin rouge au déjeuner et au dîner.
Il vous montre les résultats des examens suivants :
– Holter-ECG de 3 semaines : pas d’ACFA enregistrée ;
– bilan lipidique : HDL-cholestérol à 0,3 g/l ; LDL-cholestérol à 0,9 g/l ;
– hémoglobine glyquée à 6,5 %.
Question 12 : Concernant vos objectifs de contrôle des facteurs de risque vasculaire :
Objectif  140/90 mmHg 
Objectif  7 % 
Objectif de sevrage tabagique complet
Objectif  30 g/j (soit 3 verres de vin par jour) pour un homme
Objectif LDL-c  1 g/l 
Cf. les recommandations de la HAS, « Prévention vasculaire après un infarctus cérébral ou un accident ischémique transitoire », juillet 2014, mis à jour en 2018.
La femme du patient se plaint qu’il l’empêche de dormir car il ne cesse de bouger la nuit. Le patient dit ne pas en avoir conscience, mais trouve son sommeil de mauvaise qualité. Il rapporte par ailleurs régulièrement « piquer du nez » dans la journée. Vous évoquez un syndrome d’apnées-hypopnées obstructives du sommeil (SAHOS).
Question 13 : Quels éléments renforceraient votre hypothèse diagnostique ?
Le SAHOS est un facteur de risque vasculaire, et donc d’accident vasculaire cérébral. Il est donc nécessaire d’en chercher les symptômes cliniques.
Les symptômes cliniques évocateurs de SAHOS sont :
Symptômes nocturnes :
- apnées nocturnes (entendues par le conjoint) ;
- sensation d’étouffements nocturnes ;
- sensation de sommeil non réparateur ;
- cauchemars ;
- sueurs nocturnes ;
- ronflements ;
- nycturie.
Retentissement diurne :
- troubles de la concentration/trouble de l’humeur ;
- céphalées matinales ;
- troubles de l’érection ;
- bouche sèche le matin.
Pour rappel, les facteurs de risque et comorbidités du SAHOS sont :
– prise de poids/obésité ;
– cou court ;
– configuration voies aériennes (rétrognathie, végétations, amygdales…) ;
– facteurs de risque de cardio-vasculaire (infarctus du myocarde, AVC…).
La femme du patient vous confirme qu’elle l’entend régulièrement s’arrêter de respirer la nuit puis reprendre sa respiration bruyamment. Il se lève aussi plusieurs fois par nuit pour aller aux toilettes.
Question 14 : Quels examens pouvez-vous proposer pour confirmer le diagnostic de SAHOS ?
La définition du SAHOS associe :
– des symptômes cliniques (cf. question précédente) ;
– et la confirmation d’événements respiratoires anormaux pendant le sommeil.
Seules la polygraphie ventilatoire ou la polysomnographie permettent de confirmer les événements respiratoires et donc de confirmer le diagnostic.
Ci-joint un bref récapitulatif de la polygraphie ventilatoire, polysomnographie et oxymétrie nocturne.
L’enregistrement du sommeil par polysomnographie confirme une élévation sévère de l’index apnées-hypopnées avec des désaturations et des micro-éveils associés. 
Question 15: Quelle prise en charge proposez-vous ?
En cas de SAHOS sévère, il est recommandé de mettre en place une ventilation par pression positive continue. Par ailleurs, la prise en charge du surpoids (qui est un facteur de risque de SAHOS) est importante.

Exercez-vous aux ECN avec les dossiers progressifs et les LCA de La Revue du Praticien