Vous êtes en consultation. Vous recevez un homme de 54 ans pour dysphonie de survenue progressive depuis 2 mois. Il n’y a pas de dysphagie ou de dyspnée. Il ne sait pas vous dire s’il a perdu du poids récemment puisqu’il ne se pèse jamais, mais mesure 1,80 m et pèse 50 kg actuellement en consultation.

Il est fumeur depuis son adolescence et fume une trentaine de cigarettes par jour. Il boit environ 3 verres de vin par jour.

Le patient n’a pas d’antécédents ni d’allergies.
Il y a 20 cigarettes par paquet, donc ici depuis environ 40 ans (adolescence, environ 14 ans) à 1,5 paquet par jour : 60 PA
Il y a 20 cigarettes par paquet, donc ici depuis environ 40 ans (adolescence, environ 14 ans) à 1,5 paquet par jour : 60 PA
La limite chez l’homme est de 3 verres par jour chez l’homme (taille du verre adapté à l’alcool, bien sûr) et de 2 verres par jour chez la femme 
L’indice de masse corporelle (IMC) de la corpulence normale se situe entre 18,5 et 25. À 1,80 m et 50 kg, ce patient se trouve très nettement sous le score de corpulence normale (15,5)
Par définition, les atteintes chroniques sont celles qui durent depuis plus de 3 mois. Une dysphonie chronique est plutôt un facteur rassurant (plutôt une inflammation chronique des cordes vocales liée au tabac), mais il faut toujours être vigilant devant une dysphonie chez un fumeur 
Nous nous orientons clairement ici vers un cas de cancérologie, avec le tableau typique du patient dénutri et tabagique. Il est important chez ces patients de pouvoir établir l’IMC pour le suivi, ainsi que d’évaluer la consommation tabagique et alcoolique. Ces trois valeurs sont des facteurs de risque pour le cancer. Ils sont également importants à prendre en compte pour la tolérance du traitement (chirurgie ou radio-chimiothérapie) et donc à prendre en compte en RCP pour évaluer les chances de guérison. La prise en charge des dépendances et la renutrition doivent débuter dès la première consultation sans attendre le bilan complet et le traitement anticancéreux.
Question 2. Vous commencez à examiner le patient. À l’examen endobuccal vous découvrez cette lésion blanchâtre sur la gencive. Insérer l’image. Le patient ne semble pas très inquiet, il dit qu’elle est présente depuis plusieurs mois et qu’elle ne lui fait pas mal. Que pensez-vous de cette lésion gingivale ?
Impossible à affirmer sur cet aspect. L’aspect est fortement en faveur d’une métaplasie avec sans doute dysplasie associée : leucoplasie. C’est une lésion précancéreuse, mais il n’y a aucun argument pour un cancer (voir réponse 2).
L’aspect n’est ni bourgeonnant, ni ulcéré, ni saignant. Il n’y a aucun argument local pour une lésion cancéreuse 
L’aspect clinique est en faveur d’une leucoplasie (= lésion blanchâtre). C’est une plaque de dyskératose de la muqueuse 
Il faut une surveillance clinique régulière pour ce type de lésion puisque c’est une lésion précancéreuse 
Cette lésion n’est pas cancéreuse et ne nécessite donc pas de bilan d’extension (pas de lésion osseuse en regard suspectée, pas de lésion à distance)
La découverte de cette lésion n’est pas inquiétante en tant que telle et nécessite uniquement une surveillance. Cependant cette leucoplasie est un marqueur de probable dysplasie de la muqueuse sur un terrain tabagique, et donc d’un risque important de cancer des voies aérodigestives supérieures synchrone ou métachrone. La surveillance a donc également pour but de faire un dépistage régulier d’autres lésions chez ce patient à risque.
Question 3. Vous continuez l’examen et faites une nasofibroscopie pour examiner le pharynx et le larynx du patient. Vous voyez l’image suivante.Que pouvez-vous dire à partir de cette image ?
C’est une structure cartilagineuse qui se rabat en arrière pendant la déglutition pour protéger les voies aériennes supérieures
La vallécule est partiellement visible sur cette photo juste en avant de l’épiglotte. C’est l’espace entre la base de langue en avant et l’épiglotte en arrière 
Pyriforme (forme de poire). Cette poche naturelle dans l’hypopharynx se retrouve de part et d’autre de l’œsophage (qui lui est immédiatement en arrière de la trachée)
Pour se souvenir de l’orientation du larynx, se souvenir que la commissure est toujours en avant. On peut donc en déduire que c’est la gauche qui est atteinte ici. Par ailleurs, l’épiglotte est également en avant et permet de connaître le côté
Ici la corde vocale droite est légèrement atrophique, mais il n’y a pas de lésion bourgeonnante
Il est important de connaître les structures principales du pharynx. La vallécule (en avant de l’épiglotte) et le sinus pyriforme (de part et d’autre de l’œsophage dans l’hypopharynx) sont deux structures importantes en cancérologie puisque les lésions qui s’y trouvent ont de l’espace pour croître avant de déclencher des symptômes. Ils sont ainsi souvent découverts plus tardivement que les cancers du larynx, par exemple. À noter par ailleurs sur cette image l’aspect de laryngite chronique lié au tabac (inflammation globale, dilatation capillaire, etc.).
Question 4. Ce patient semble présenter un carcinome épidermoïde de la corde vocale gauche. Quels facteurs de risque suspectez-vous chez ce patient ?
Le tabac est de loin le premier facteur de risque du cancer du larynx
Facteur de risque classique en ORL, il est plutôt responsable des cancers de l’hypopharynx (n’étant a priori pas au contact direct des cordes vocales). D’autant que ce patient n’a pas une consommation anormale d’alcool
Surtout retrouvé dans les cancers de l’oropharynx (amygdales, bouche, etc.)
95 % des cancers épidermoïdes ORL affectent les hommes
Le maximum de fréquence se situe entre 45 et 70 ans, médiane autour de 55 ans 
Les facteurs de risque classiques sont l’âge (45-70 ans), le sexe (homme), les antécédents personnels de cancers ORL (cancer métachrone), les antécédents familiaux de cancers ORL.
Les facteurs de risque externes sont le tabac (essentiellement pour le larynx), l’alcool (essentiellement pour l’hypopharynx) et l’infection par le HPV (tableau de patient plus jeune sans intoxication alcoolo-tabagique, avec un cancer de l’oropharynx).
Question 5. Quel bilan d’extension prescrivez-vous à ce patient qui présente une lésion de la corde vocale gauche ?
Ce bilan est systématique, avec dans le cas précis un bilan nutritionnel. En cas d’anomalie une imagerie hépatique sera demandée
Examen systématique de tout cancer ORL pour permettre d’évaluer l’invasion locale du cancer et donner le grade TNM
Pas indiqué dans le cancer du plan glottique. En effet, l’IRM est surtout intéressante pour explorer les tissus mous (rhinopharynx, oropharynx et langue)
Examen systématique, a supplanté la radiographie pulmonaire. Une fibroscopie bronchique est demandée pour biopsie en cas d’anomalie à l’examen
Systématique pour faire une biopsie de la lésion est établir le diagnostic de certitude. Également important pour la recherche de cancers synchrones (fréquents) dans la sphère ORL 
Le bilan est important pour bien comprendre l’extension de la tumeur mais aussi pour rechercher des lésions synchrones qui sont très fréquentes sur ce terrain. Il faut également penser à faire un bilan de l’état général du patient pour pouvoir proposer des traitements lourds (bilan nutritionnel, autres pathologies liées au tabac et à l’alcool). Chez ce patient dénutri, par exemple, il faut faire un bilan et supplémenter le patient. En effet, un patient dénutri va avoir beaucoup plus de difficultés à cicatriser en post-chirurgie ou radiothérapie et sera plus à risque de complications.
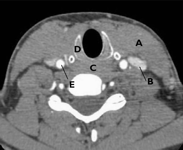
Question 6. Voici une coupe axiale d’un scanner avec injection de produit de contraste. La coupe passe par le cricoïde (en sous-glottique). D’après vous, à quoi correspondent les lettres ?
Il s’agit du muscle sterno-cléido-mastoïdien. C’est le muscle principal du cou qui a un rôle majeur pour la rotation de la tête mais aussi pour la protection de l’axe vasculaire du cou
C’est l’axe vasculaire du cou. La structure « B » est plus grosse et plus latérale que l’autre vaisseau en dedans (la carotide). C’est donc la veine principale du cou : la jugulaire interne
Il s’agit de l’œsophage, qui se trouve naturellement en arrière de la trachée (grand espace noir aérien en avant). L’œsophage est souvent collabé au scanner et on ne retrouve que la paroi musculaire avec une lumière virtuelle
La coupe ici passe par la trachée alors que les deux cartilages aryténoïdes sont au niveau du larynx au-dessus des cordes vocales. Le cartilage représenté ici est le cricoïde qui est le seul cartilage circulaire (et donc avec une portion postérieure) – la coupe n’étant pas parfaitement dans le plan horizontal, la portion antérieure du cartilage n’est pas visible 
À l’inverse de la structure « B », ce vaisseau est le plus médial et correspond à la carotide interne 
Il est très important de connaître l’anatomie cervicale de base pour pouvoir interpréter un scanner cervical. Les structures principales sont latéralement : vers l’extérieur le sterno-cléido-mastoïdien qui, comme son nom l’indique, va de la mastoïde en haut au sternum et à la clavicule en bas. Il protège l’axe vasculaire du cou qui comporte la veine jugulaire interne (en dehors et plus grosse) et l’artère carotide interne (en dedans et plus petite). L’axe central comporte en avant la trachée (et plus haut le larynx) et en arrière l’œsophage. Plus en arrière se trouvent les vertèbres et les muscles paravertébraux.
Il n’y a pas de ganglions pathologiques sur ce scanner, ce qui est typique dans les cancers limités à la corde vocale (peu lymphophiles).
Après bilan complet, le patient a un cancer classé T1aN0M0. Une discussion lors de la réunion de concertation pluridisciplinaire (RCP) a proposé un traitement par radiothérapie externe exclusive dans le cadre d’un protocole de conservation d’organe. Le patient a accepté le traitement et réalisé le traitement sans effet secondaire majeur. À la fin du traitement, le patient est en rémission
 Vous voyez le patient en consultation de contrôle à une semaine de la dernière cure de radiothérapie. L’examen clinique est normal. Le patient a présenté une dermite cutanée modérée actuellement stable. Vous souhaitez organiser le suivi carcinologique du patient. 
Question 7. Que proposez-vous ?
Le suivi est rapproché pendant les 5 premières années (risque de récidive important), mais le suivi doit être beaucoup plus rapproché au départ avec un examen tous les 2 mois pendant 1 an puis un tous les 3 mois pendant 2 ans. Enfin, tous les 6 mois pendant 2 ans et 1 fois par an après 5 ans 
Examen peu invasif et peu irradiant. Il donne des informations importantes à la fois sur le risque de métastases pulmonaires du cancer ORL mais aussi pour le dépistage du cancer primitif pulmonaire chez un patient fumeur
C’est important car le traitement curatif modifie l’anatomie cervicale et la TDM initiale n’est pas utilisable pour le suivi. Un scanner de référence est donc demandé à titre comparatif au cas où un scanner un nécessaire dans le suivi
Par la suite le scanner est uniquement demandé sur point d’appel, et sera comparé au scanner de référence (à 6 mois de la fin du traitement)
Le suivi doit être poursuivi à distance une fois par an car le patient présente une pathologie de la toute la muqueuse ORL (dysplasique) et est donc à risque de cancer métachrone (il y a bien entendu toujours un risque de récidive également mais moindre après 5 ans de surveillance) 
Il y a plusieurs risques chez ces patients avec cancer ORL sur fond d’alcoolo-tabagisme. Premièrement le risque de récidive du cancer traité, mais aussi le risque d’un autre cancer ORL métachrone (c’est pourquoi un suivi à vie est nécessaire), et aussi la découverte fortuite d’autres cancers, notamment un cancer primitif pulmonaire (intérêt de la radiographie pulmonaire en plus d’éventuelles métastases).
Un mois après la radiothérapie, le patient se plaint notamment d’une gêne diffuse buccale et gingivale. Vous pensez à une parodontopathie chronique.
 Question 8.  À l’examen buccal, quels arguments sont en faveur de ce diagnostic ? 
Le mauvais état bucco-dentaire et l’accumulation de tartre est le premier facteur de parodontopathie en créant un décollement de bord libre de la muqueuse et en favorisant la pullulation bactérienne. Le tartre s’accumule surtout à la face linguale des incisives inférieures et à la face jugale des molaires supérieures à cause de la proximité des orifices de Wharton et Sténon
Une des atteintes principales dans le contexte de parodontopathie
Le mécanisme est mal compris mais il s’agit plutôt d’une lésion dermatologique inflammatoire ou auto-immune qui siège souvent sur la muqueuse jugale 
L’un des facteurs de risque principaux dans ce cas, la mucite est une inflammation de toute la muqueuse buccale, favorisée par une sclérose de la muqueuse et par la sécheresse buccale (moindre production de salive)
L’une des causes les plus fréquentes dans la population générale avec la mauvaise hygiène locale 
C’est une complication très fréquente chez les patients avec cancer des voies aériennes supérieures puisque la radiothérapie aggrave généralement un terrain pathologique avec une exposition chronique au tabac, à l’alcool et avec une mauvaise hygiène bucco-dentaire. Les parodontopathies chroniques comprennent les gingivites, les parodontites (ligament alvéolo-dentaire) et les alvéolyses (os alvéolaire). Outre les possibles complications infectieuses, le principal problème lié aux parodontopathies est un déchaussement précoce lié à la perte du support de la dent.
Devant ce tableau de parodontopathie, vous réalisez un panoramique dentaire. Il manque plusieurs dents au patient qui a déjà un passé dentaire mouvementé. 
Question 9. Que pouvez-vous dire des dents 14 et 24 ?
On voit très bien la couronne sur l’image 
Il y a une carie, ce qui explique pourquoi la couronne est moins radio-opaque que la 13, par exemple
La racine est bien visible, il n’y a pas d’hyperclarté
Il n’y a ici plus de couronne, il ne reste plus que la racine
Très probablement la dent ici est mortifiée avec persistance uniquement de la racine ; il n’y a plus de nerf et de vaisseaux dans la racine
Normalement ce bilan aurait dû être fait bien avant le traitement par radiothérapie. Dès la consultation initiale, et en vue d’un traitement lourd (chirurgical, radiothérapie à visée curative initiale ou en cas de récidive), la remise en état bucco-dentaire doit être organisée. Elle permet au patient de limiter les complications dentaires et permet également une meilleure alimentation (notamment protéinée avec la viande) et donc une meilleure récupération.
Rappel : la 14 est en haut à droite. Puis on rajoute une dizaine dans les sens de l’aiguille d’une montre (en étant face au patient).
Vous revoyez le patient 4 mois plus tard (suivi en alternance avec le radiothérapeute). Le patient a suivi vos conseils et a consulté un dentiste qui a commencé à remettre en état ses dents. Les caries des 14, 15 et 37 sont traitées. La 24 a bénéficié d’un traitement canalaire et d’une couronne.
L’examen ne retrouve pas de signes de récidive de cancer. Le patient se plaint cependant d’une sinusite maxillaire unilatérale qui récidive malgré les traitements itératifs avec le médecin traitant depuis plusieurs mois. Vous retrouvez du pus au méat moyen gauche. Il ressent également une pesanteur à la pommette gauche. 
Question 10. Quels types de bactéries peuvent-être en cause dans ce cas et doivent être couverts par le traitement antibiotique ?
D’origine nasale, l’une des bactéries les plus fréquentes 
D’origine nasale, l’une des bactéries les plus fréquentes 
D’origine nasale, l’une des bactéries les plus fréquentes 
Moins fréquent, mais également d’origine nasale 
Particularité dans ce cas puisqu’ils sont d’origine buccale et justifient le traitement par amoxicilline + acide clavulanique
La sinusite maxillaire unilatérale d’origine dentaire est une complication classique d’un abcès dentaire de l’hémi-arcade supérieure. La dent peut être non soignée ou soignée mais avec un traitement canalaire incomplet. En effet, des bactéries peuvent rester coincées au fond du canal dentaire et proliférer même si la partie distale du canal est bien comblée et la couronne bien posée.
 Devant cette suspicion de sinusite chronique, vous réalisez un scanner des sinus pour évaluer l’état osseux et l’apex dentaire de la 24. Voici des coupes :
Question 11. Qu’en pensez-vous ?
Dans ce contexte un probable amalgame dentaire (possiblement consécutifs aux soins dentaires de la 24)
Image typique d’un aspergillome, qui correspond à une colonisation d’un corps étranger par de l’aspergillus 
Aucun signe de lésion osseuse en rapport avec une sinusite fongique invasive. Par ailleurs le tableau clinique est peu bruyant et n’est pas en faveur d’une infection si grave 
Dans les deux fosses nasales, malgré un cornet inférieur volumineux (à gauche), il y a un passage aérien sans obstruction (zone hypodense) 
On peut voir sur la coupe coronale un éperon du septum nasal à droite. Ces déviations sont assez fréquentes et ne doivent être opérées qu’en cas d’obstruction nasale 
Le scanner montre clairement une sinusite maxillaire chronique gauche avec une opacité intra-sinusienne. L’imagerie est typique d’un aspergillome, ce qui correspond à la colonisation d’un corps étranger intra-sinusien (habituellement un amalgame dentaire) par de l’aspergillus. Ce n’est pas directement une sinusite fongique (pas de traitement antifongique nécessaire) mais un facteur local qui favorise une inflammation chronique et des sinusites bactériennes.
Question 12. Quel traitement proposez-vous ?
Devant cette sinusite probablement d’origine dentaire, un antibiotique qui couvre les bactéries anaérobies est nécessaire (voir réponse 2)
L’amoxicilline complétée par de l’acide clavulanique est nécessaire ici pour couvrir les germes d’origine buccale 
La lévofloxacine doit être réservée aux situations cliniques sévères et susceptibles de complications 
Avec la présence d’un aspergillome, même si les symptômes ne sont pas très bruyants, il est nécessaire d’administrer un traitement antibiotique 
Même si le traitement médical améliore temporairement la situation, une exérèse du facteur favorisant (aspergillome) est nécessaire pour guérir 
La sinusite chronique avec aspergillome nécessite un traitement mixte médical et chirurgical. D’une part le traitement médical adapté à un germe d’origine buccale (amoxicilline et acide clavulanique) et d’autre part un traitement chirurgical causal pour drainer le sinus et surtout garantir l’exérèse de l’aspergillome. Aucun traitement antifongique n’est nécessaire.
Le suivi se poursuit pendant encore 1 an sans complications. Le traitement dentaire a pu stabiliser la parodontopathie, et la méatotomie moyenne a confirmé l’aspergillome. À présent le patient consulte à nouveau pour des difficultés à déglutir, surtout les gros morceaux de viande. Cette dysphagie évolue depuis environ 1 mois. Il a également perdu 4 kg.
À l’interrogatoire vous retrouvez une otalgie réflexe droite. La voix est stable, il n’y a pas de dyspnée.
Ce tableau vous évoque une récidive ou un cancer métachrone. Lorsque vous demandez au patient de préciser son atteinte, il vous déclare qu’il ressent souvent un blocage des aliments au niveau cervical et il est souvent obligé de déglutir de façon répétée pour avaler un morceau. Il se plaint aussi d’une stase salivaire importante au fond de la gorge, mais pas de bavage. Il y a parfois des épisodes de fausses routes.
Question 13. Quels sites anatomiques sont compatibles avec le tableau du patient ?
Ce type de lésion, même de grande taille, entraînerait surtout une dysphagie au temps buccal 
Le cancer du sinus pyriforme peut très rapidement impacter le sphincter supérieur de l’œsophage voire directement envahir la bouche de l’œsophage. On se retrouve alors dans une dysphagie œsophagienne 
C’est le tableau typique de l’atteinte pharyngo-œsophagienne 
Ce type de lésion est trop loin de causer une dysphagie pharyngo-œsophagienne. Il y aurait plutôt une dysphagie buccale par un trismus ou une difficulté de la mobilité de la langue
Cette lésion est séparée de la bouche de l’œsophage par l’épiglotte, ainsi cette lésion aurait plutôt tendance à gêner la rétropulsion linguale et donc entraîner une dysphagie buccale
Il y a deux grands types de dysphagie. La dysphagie pharyngo-œsophagienne est celle qui est décrite dans ce cas, avec une atteinte plutôt postérieure. Typiquement le patient décrit un blocage cervical, avec une stase salivaire dans l’hypopharynx (parfois avec une voix « mouillée » ou gargouillante). Il y a également une stase d’aliments dans l’hypopharynx nécessitant des déglutitions répétées. Cette stase peut entraîner des fausses routes. A contrario, la dysphagie buccale est plutôt antérieure et dépend essentiellement de la langue et des structures de l’oropharynx, avec des difficultés à la rétropulsion du bol alimentaire : hypomobilité linguale, difficultés de mastication, perturbation des praxies buccales. On retrouve également un bavage.
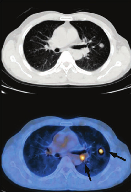
Question 14.Vous examinez le patient et constatez un cancer métachrone qui siège dans le sinus pyriforme droit. Le patient se plaint également de douleur thoracique. Un TEP-scanner est réalisé et retrouve une fixation dans l’hypopharynx droit. Voici une coupe thoracique.

Il n’y a pas d’autres lésions visibles au niveau pulmonaire.
Question 14. Quelles sont vos hypothèses diagnostiques sur cette image ?
Les cancers ORL peuvent donner des métastases pulmonaires, mais très rarement isolées comme sur ce cliché avec un ganglion médiastinal 
Cette image est compatible avec un cancer primitif pulmonaire, mais l’existence d’une métastase pharyngée est très peu probable, surtout en l’absence d’autres lésions métastatiques 
C’est l’hypothèse la plus probable chez ce patient fumeur. Les cancers synchrones sont extrêmement fréquents 
La pneumopathie de déglutition est à rechercher au vu du terrain, mais correspondrait plutôt à une atteinte plus diffuse d’un lobe pulmonaire, et est plus fréquente dans le poumon droit
Toujours à évoquer sur un terrain immunodéprimé (contexte de dénutrition), mais peu typique devant ce nodule et cette adénopathie médiastinale. Le premier diagnostic à évoquer ici est le cancer
Chez les patients tabagiques, deux cancers synchrones ORL ou ORL/pulmonaires sont très fréquents à cause de la muqueuse des voies aériennes dysplasique et agressée dans sa globalité. Toutes ces atteintes doivent être dépistées dans le suivi du cancer, en plus de la possible récidive du site initial. Un cancer ORL peut entraîner des métastases pulmonaires, mais avec une atteinte plutôt multiple. Une lésion pulmonaire isolée doit évoquer en premier lieu un cancer primitif pulmonaire. Dans ce cas, chaque cancer doit être discuté en RCP et un traitement curatif de chaque lésion peut être discuté. Souvent, malheureusement, l’un des deux cancers est trop avancé, ou le terrain ne permet pas un traitement agressif à la fois sur le poumon et sur les voies aériennes supérieures, et un traitement palliatif doit être envisagé.
Après une mise en place de soins palliatifs, l’état clinique du patient se dégrade. Il réussit encore à se déplacer debout mais n’arrive plus à faire sa toilette seul.
 Question 15. Vous cherchez à l’évaluer en utilisant le performance status de l’Organisation mondiale de la santé (OMS). Quel score lui donnez-vous ?
Personne normale – activité physique intacte – efforts possibles sans limitation
Réduction des efforts – autonomie complète
Autonome – se fatigue facilement – nécessité de se reposer plus de la moitié des heures de veille 
Personne dépendante – lever possible – ne fait pas sa toilette seul
Dépendance totale – état quasi grabataire
Le performance status de l’OMS de est un score simple à connaître qui permet d’évaluer l’état de dépendance d’un patient notamment en situation de soins palliatifs. Les deux paliers principaux sont la capacité de se déplacer et celle de pouvoir faire sa toilette seul.

Exercez-vous aux ECN avec les dossiers progressifs et les LCA de La Revue du Praticien