La rhinosinusite chronique occupe une place centrale en pathologie rhinologique de l’adulte. Ce terme de « rhinosinusite chronique » a longtemps fait l’unanimité chez les rhinologistes qui se fondaient : sur l’unicité apparente de la muqueuse respiratoire du nez ; sur une communauté d’origine de l’ethmoïde et des sinus paranasaux (maxillaires, frontaux, sphénoïdaux) ; et sur la prépondérance de l’inflammation dans la pathologie fonctionnelle du nez et des sinus.
En réalité, la rhinosinusite chronique regroupe des entités cliniques clairement distinctes les unes des autres. Le but de cet article est d’en proposer une classification simple, fondée sur la prise en compte de la théorie évolution-développement (évo-dévo) du nez1 qui permet d’individualiser trois nez embryologiquement différents et sur la notion de dysfonctionnement nasal chronique.2 Ces deux concepts permettent en effet un nouveau raisonnement diagnostique : par la reconnaissance de pathologies spécifiques à chacun des trois nez ; sans émettre d’a priori sur la nature inflammatoire de la pathologie ; et sans éluder les éventuelles répercussions de la pathologie d’un nez sur les deux autres ou les pathologies pouvant affecter conjointement les trois nez.
En réalité, la rhinosinusite chronique regroupe des entités cliniques clairement distinctes les unes des autres. Le but de cet article est d’en proposer une classification simple, fondée sur la prise en compte de la théorie évolution-développement (évo-dévo) du nez1 qui permet d’individualiser trois nez embryologiquement différents et sur la notion de dysfonctionnement nasal chronique.2 Ces deux concepts permettent en effet un nouveau raisonnement diagnostique : par la reconnaissance de pathologies spécifiques à chacun des trois nez ; sans émettre d’a priori sur la nature inflammatoire de la pathologie ; et sans éluder les éventuelles répercussions de la pathologie d’un nez sur les deux autres ou les pathologies pouvant affecter conjointement les trois nez.
Théorie « évo-dévo » ou théorie des trois nez
Cette théorie montre qu’au cours de la phylogenèse (l’évolution des espèces) et de l’ontogenèse (l’embryogenèse humaine) trois organes se rassemblent pour former « l’organe naso-sinusien »,1 chacun ayant une structure, une fonction et des pathologies qui lui sont propres. On peut ainsi individualiser :
– le nez olfactif, phylogéniquement le plus ancien, qui a pour origine le regroupement autour de la bouche des cellules chémosensorielles éparpillées chez les chordés
en deux placodes qui s’invaginent chez les premiers vertébrés et établissent des connexions avec le futur rhinencéphale. À terme, il se compose chez l’homme de deux fentes olfactives paramédianes et de deux labyrinthes ethmoïdaux latéraux. Les deux points importants sont que la muqueuse olfactive est confinée aux deux étroites fentes olfactives au niveau desquelles le flux aérien est très lent, favorisant ainsi les phénomènes biochimiques présidant à l’olfaction et que l’ethmoïde ne peut être réellement considéré comme un sinus ;
– le nez respiratoire, qui se développe plus tard chez les reptiles mammaliens par « tubulisation » des os du palais secondaire sous le nez olfactif dont il est d’abord séparé par une lame transverse qui finit par disparaître. Chez l’homme, les courants d’air inspiratoire et expiratoire conservent physiologiquement un trajet principalement localisé dans le nez respiratoire, au-dessous d’une ligne virtuelle passant par le bord inférieur des deux cornets moyens et court-circuitant l'ethmoïde et les sinus paranasaux ;
– le nez sinusien, enfin, regroupant les sinus maxillaires, sphénoïdaux et frontaux. Il se développe après la naissance par dégénérescence de la moelle érythropoïétique des os périnasaux et par pneumatisation osseuse secondaire.3 Les deux faits importants sont que le développement de ces sinus s’effectue selon un mécanisme différent du développement ethmoïdal et que leur muqueuse produit et libère du monoxyde d’azote (NO) qui joue un rôle antiseptique et respiratoire important par rapport aux autres fonctions qu’assure leur structure aérée (allègement de la tête, isolement thermique du cerveau et des yeux, etc.).
En effet, le NO, véritable messager aérocrine, est libéré sous forme de bolus dans le courant inspiratoire grâce à la fonction sphinctérienne de l’ostium de chaque sinus ;5 il diminue les résistances vasculaires pulmonaires et augmente l’oxygénation du sang.
– le nez olfactif, phylogéniquement le plus ancien, qui a pour origine le regroupement autour de la bouche des cellules chémosensorielles éparpillées chez les chordés
en deux placodes qui s’invaginent chez les premiers vertébrés et établissent des connexions avec le futur rhinencéphale. À terme, il se compose chez l’homme de deux fentes olfactives paramédianes et de deux labyrinthes ethmoïdaux latéraux. Les deux points importants sont que la muqueuse olfactive est confinée aux deux étroites fentes olfactives au niveau desquelles le flux aérien est très lent, favorisant ainsi les phénomènes biochimiques présidant à l’olfaction et que l’ethmoïde ne peut être réellement considéré comme un sinus ;
– le nez respiratoire, qui se développe plus tard chez les reptiles mammaliens par « tubulisation » des os du palais secondaire sous le nez olfactif dont il est d’abord séparé par une lame transverse qui finit par disparaître. Chez l’homme, les courants d’air inspiratoire et expiratoire conservent physiologiquement un trajet principalement localisé dans le nez respiratoire, au-dessous d’une ligne virtuelle passant par le bord inférieur des deux cornets moyens et court-circuitant l'ethmoïde et les sinus paranasaux ;
– le nez sinusien, enfin, regroupant les sinus maxillaires, sphénoïdaux et frontaux. Il se développe après la naissance par dégénérescence de la moelle érythropoïétique des os périnasaux et par pneumatisation osseuse secondaire.3 Les deux faits importants sont que le développement de ces sinus s’effectue selon un mécanisme différent du développement ethmoïdal et que leur muqueuse produit et libère du monoxyde d’azote (NO) qui joue un rôle antiseptique et respiratoire important par rapport aux autres fonctions qu’assure leur structure aérée (allègement de la tête, isolement thermique du cerveau et des yeux, etc.).
En effet, le NO, véritable messager aérocrine, est libéré sous forme de bolus dans le courant inspiratoire grâce à la fonction sphinctérienne de l’ostium de chaque sinus ;5 il diminue les résistances vasculaires pulmonaires et augmente l’oxygénation du sang.
Lire aussi | Image mystérieuse n°449
Concept de dysfonctionnement nasal chronique
La théorie « évo-dévo » développée ci-dessus conduit ainsi à individualiser des pathologies propres à chacun des trois nez. Mais la gêne fonctionnelle liée à ces différentes pathologies n’a que peu de spécificité et associe en combinaisons diverses cinq ou six symptômes d’intensité variée : sensation de nez bouché, de rhinorrhée antérieure ou postérieure, de baisse de l’odorat, de douleurs, d’éternuements ou de toux chronique. Pour le patient, quelle que soit la pathologie sous-jacente, l’attente est d’être soulagé de ses symptômes. Le concept de dysfonctionnement nasal chronique repose sur une auto-évaluation première par le patient lui-même de ses symptômes rhinosinusiens, enregistrée si possible à l’aide d’un questionnaire de qualité de vie spécifique dont les propriétés de reproductibilité et sensibilité au changement ont été validées. La standardisation et l’enregistrement du questionnaire ont pour but d’évaluer l’évolution spontanée ou surtout post-thérapeutique de chaque symptôme,4 indépendamment de sa ou ses causes. Le diagnostic causal est l’affaire du médecin et repose à la base sur le trépied interrogatoire-endoscopie-tomodensitométrie du nez et des sinus. L’interrogatoire précise les réponses au questionnaire, l’endoscopie explore les fosses nasales, et la tomodensitométrie explore l’ethmoïde et les sinus paranasaux. Ainsi peuvent être individualisées des pathologies propres à chacun des trois nez ou des pathologies communes.
Pathologies du nez olfactif
La polypose nasale ( v . p. 270) ou rhinite olfactive chronique est la plus courante des pathologies spécifiques du nez olfactif humain. La perte de l’odorat, progressive en règle générale mais parfois brutale, accompagne son développement mais reste longtemps réversible sous traitement spécifique. La maladie se développe à partir des masses latérales de l’ethmoïde, lesquelles se caractérisent par la présence en leur sein de lamelles osseuses ethmoturbinales empilées en bulbe d’oignon5 et initialement destinées chez les mammifères à augmenter la surface de muqueuse olfactive à l’intérieur des chambres olfactives. Leur compaction au cours du développement humain se serait accompagnée d’une dégénérescence de la muqueuse olfactive dans les masses latérales, la muqueuse sensorielle n’étant plus présente chez eux que dans les fentes olfactives. La polypose nasale apparaît alors comme une inflammation de la muqueuse non olfactive (ou olfactive vestigiale) de l’ethmoïde.
Cliniquement, la symptomatologie de la polypose nasale associe des symptômes rhinologiques banals et non spécifiques mais chroniques et fluctuants (obstruction nasale, rhinorrhée antérieure et postérieure, crises d’éternuements, pesanteurs ou douleurs de la face) à un symptôme presque pathognomonique, une hyposmie parfois fluctuante, souvent sévère et invalidante. La rhinoscopie constate la présence de polypes blanchâtres bilatéraux s’extériorisant dans le nez respiratoire au travers du méat moyen mais aussi des méats supérieurs et suprêmes ouverts dans les fentes olfactives. L’intensité des symptômes et le volume des polypes ne sont pas nécessairement proportionnels.
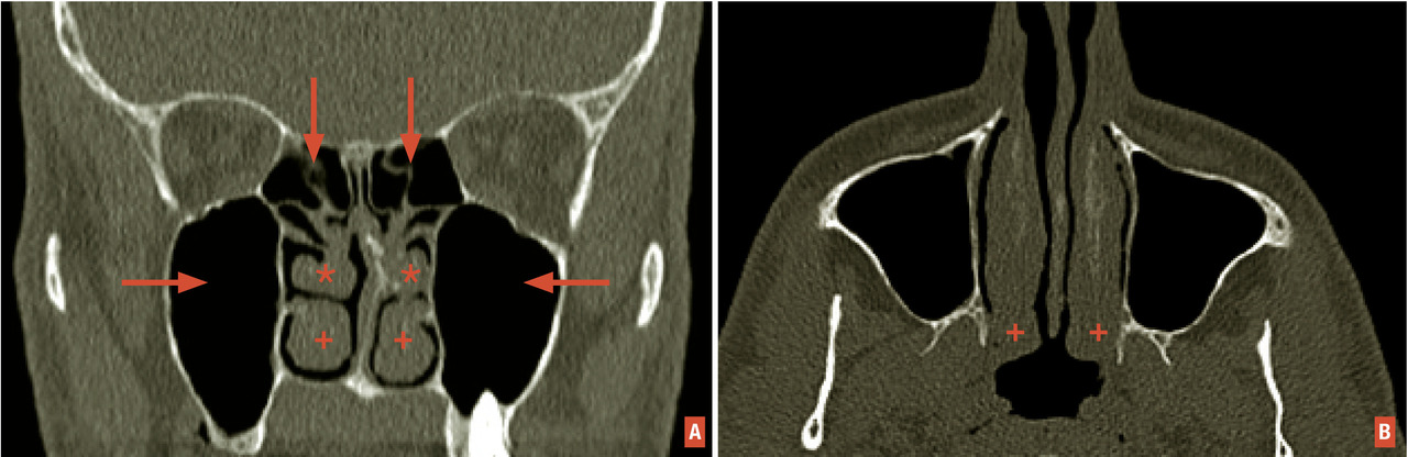
En tomodensitométrie, les polypes se traduisent par des opacités touchant les deux masses latérales de l’ethmoïde (fig. 1 ). Sur le plan biologique, la polypose nasale se caractérise par une inflammation chronique à éosinophiles de type Th2, mais non allergique. Elle s’associe parfois à un asthme et une intolérance à l’aspirine et aux anti-inflammatoires non stéroïdiens (syndrome de Widal).
Chez certains patients ayant un dysfonctionnement sévère anosmiant, aucun polype n’est visible en nasofibroscopie, tandis que la tomodensitométrie montre des opacités franches des masses latérales. On qualifie alors volontiers la pathologie de ces patients de rhinite non allergique à éosinophiles (non allergic rhinitis with eosinophilia), dont l’évolution naturelle se fait à plus ou moins long terme, parfois freinée par des traitements corticoïdes itératifs, vers une authentique polypose nasale.
Le diagnostic de polypose nasale est une indication à la pulvérisation quotidienne prolongée de corticoïdes locaux. Le recours à une cure courte de corticoïdes généraux (en association à des antibiotiques qu’en cas de surinfection bactérienne) ne doit pas dépasser deux ou trois prescriptions par an. À partir de trois cures par an, ou en cas de contre-indication, d’intolérance (prise de poids, insomnie…), de refus des corticoïdes généraux ou après explication des risques et bénéfices thérapeutiques respectifs, le traitement chirurgical peut être envisagé car il permet un contrôle généralement prolongé de la maladie et des symptômes, en particulier des troubles de l’odorat, par ablation de la muqueuse vestigiale de l’ethmoïde et préservation de la muqueuse olfactive et de la fonction des sinus paranasaux.6
Cliniquement, la symptomatologie de la polypose nasale associe des symptômes rhinologiques banals et non spécifiques mais chroniques et fluctuants (obstruction nasale, rhinorrhée antérieure et postérieure, crises d’éternuements, pesanteurs ou douleurs de la face) à un symptôme presque pathognomonique, une hyposmie parfois fluctuante, souvent sévère et invalidante. La rhinoscopie constate la présence de polypes blanchâtres bilatéraux s’extériorisant dans le nez respiratoire au travers du méat moyen mais aussi des méats supérieurs et suprêmes ouverts dans les fentes olfactives. L’intensité des symptômes et le volume des polypes ne sont pas nécessairement proportionnels.
En tomodensitométrie, les polypes se traduisent par des opacités touchant les deux masses latérales de l’ethmoïde (
Chez certains patients ayant un dysfonctionnement sévère anosmiant, aucun polype n’est visible en nasofibroscopie, tandis que la tomodensitométrie montre des opacités franches des masses latérales. On qualifie alors volontiers la pathologie de ces patients de rhinite non allergique à éosinophiles (non allergic rhinitis with eosinophilia), dont l’évolution naturelle se fait à plus ou moins long terme, parfois freinée par des traitements corticoïdes itératifs, vers une authentique polypose nasale.
Le diagnostic de polypose nasale est une indication à la pulvérisation quotidienne prolongée de corticoïdes locaux. Le recours à une cure courte de corticoïdes généraux (en association à des antibiotiques qu’en cas de surinfection bactérienne) ne doit pas dépasser deux ou trois prescriptions par an. À partir de trois cures par an, ou en cas de contre-indication, d’intolérance (prise de poids, insomnie…), de refus des corticoïdes généraux ou après explication des risques et bénéfices thérapeutiques respectifs, le traitement chirurgical peut être envisagé car il permet un contrôle généralement prolongé de la maladie et des symptômes, en particulier des troubles de l’odorat, par ablation de la muqueuse vestigiale de l’ethmoïde et préservation de la muqueuse olfactive et de la fonction des sinus paranasaux.6
Lire aussi | Toux chronique de l’adulte
Pathologie du nez respiratoire
Rhinite allergique
La rhinite allergique est une pathologie spécifique du nez respiratoire. Deux groupes de pneumallergènes sont responsables de la majorité des rhinites allergiques en France : les pollens dont la présence dans l’air est saisonnière, et les fèces d’acariens qui sont présents toute l’année.
La rhinite allergique saisonnière avec la répétition annuelle de son cortège de symptômes explosifs (éternuements, rhinorrhée aqueuse, prurit nasal, pharyngé ou oculaire, larmoiement, obstruction nasale et assez souvent hyposmie discrète) est en général un diagnostic facile, parfois évoqué par le patient lui-même.
La tomodensitométrie du nez et des sinus n’est pas utile au diagnostic d’une rhinite saisonnière pollinique, mais elle contribue efficacement au diagnostic de la rhinite chronique aux acariens.
Le dysfonctionnement nasal chronique d’une allergie aux acariens peut se rapprocher de celui d’une rhinite non allergique à éosinophiles ou d’une polypose nasale mais la fibroscopie nasale ne trouve pas de polypes francs des méats moyens ou des fentes olfactives. Elle objective seulement un aspect œdémateux, parfois même pseudo- polypoïde, de la tête ou du bord libre des cornets moyens, associé à une hypertrophie blanche, rouge ou lilas des cornets inférieurs, par ailleurs tapissés de sécrétions séreuses ou muqueuses qui peuvent s’accumuler sur le plancher nasal. Une tomodensitométrie doit alors compléter la démarche diagnostique. Dans la rhinite chronique aux acariens, les masses latérales de l’ethmoïde et les sinus paranasaux montrent une radiotransparence normale alors que l’essentiel des signes pathologiques sont retrouvés au niveau du nez respiratoire (qui ne fait actuellement l’objet d’aucune description dans les comptes-rendus radiologiques) [fig. 2 ]. C’est donc la concordance des signes nasofibroscopiques et tomodensitométriques qui contribue au diagnostic des rhinites respiratoires chroniques. L’origine allergique, toujours recherchée, n’est cependant pas systématiquement retrouvée.7
Les tests cutanés ou le dosage sérique des immunoglobulines de type E (IgE) spécifiques des pneumallergènes sont indispensables pour caractériser le ou les allergènes en cause et orienter la prise en charge thérapeutique. Des désensibilisations par voie orale sont en effet aujourd’hui disponibles pour certains allergènes (acariens, pollen de graminées) et méritent d’être proposées pour tenter de contourner les traitements symptomatiques au très long cours.8
La rhinite respiratoire allergique peut aboutir à des lésions irréversibles de la muqueuse des cornets inférieurs ou du bord libre des cornets moyens ou à l’expression clinique d’une déviation septale. Le dysfonctionnement nasal chronique qui en résulte ne peut alors pas être complètement soulagé par le traitement médical et nécessite un traitement chirurgical associé (turbinoplastie, septoplastie).
La rhinite allergique saisonnière avec la répétition annuelle de son cortège de symptômes explosifs (éternuements, rhinorrhée aqueuse, prurit nasal, pharyngé ou oculaire, larmoiement, obstruction nasale et assez souvent hyposmie discrète) est en général un diagnostic facile, parfois évoqué par le patient lui-même.
La tomodensitométrie du nez et des sinus n’est pas utile au diagnostic d’une rhinite saisonnière pollinique, mais elle contribue efficacement au diagnostic de la rhinite chronique aux acariens.
Le dysfonctionnement nasal chronique d’une allergie aux acariens peut se rapprocher de celui d’une rhinite non allergique à éosinophiles ou d’une polypose nasale mais la fibroscopie nasale ne trouve pas de polypes francs des méats moyens ou des fentes olfactives. Elle objective seulement un aspect œdémateux, parfois même pseudo- polypoïde, de la tête ou du bord libre des cornets moyens, associé à une hypertrophie blanche, rouge ou lilas des cornets inférieurs, par ailleurs tapissés de sécrétions séreuses ou muqueuses qui peuvent s’accumuler sur le plancher nasal. Une tomodensitométrie doit alors compléter la démarche diagnostique. Dans la rhinite chronique aux acariens, les masses latérales de l’ethmoïde et les sinus paranasaux montrent une radiotransparence normale alors que l’essentiel des signes pathologiques sont retrouvés au niveau du nez respiratoire (qui ne fait actuellement l’objet d’aucune description dans les comptes-rendus radiologiques) [
Les tests cutanés ou le dosage sérique des immunoglobulines de type E (IgE) spécifiques des pneumallergènes sont indispensables pour caractériser le ou les allergènes en cause et orienter la prise en charge thérapeutique. Des désensibilisations par voie orale sont en effet aujourd’hui disponibles pour certains allergènes (acariens, pollen de graminées) et méritent d’être proposées pour tenter de contourner les traitements symptomatiques au très long cours.8
La rhinite respiratoire allergique peut aboutir à des lésions irréversibles de la muqueuse des cornets inférieurs ou du bord libre des cornets moyens ou à l’expression clinique d’une déviation septale. Le dysfonctionnement nasal chronique qui en résulte ne peut alors pas être complètement soulagé par le traitement médical et nécessite un traitement chirurgical associé (turbinoplastie, septoplastie).
Obstruction nasale chronique
L’obstruction nasale chronique liée à un dysfonctionnement mécanique des plexus caverneux du nez respiratoire est typiquement à bascule ou majorée par le décubitus. Elle peut gêner le sommeil et aussi être sévère durant la journée, gênant l’élocution (rhinolalie fermée), l’alimentation, les activités physiques (dyspnée d’effort). La fibroscopie nasale peut montrer une hypertrophie non inflammatoire des cornets inférieurs sans aspect pathologique du bord libre des cornets moyens ou être normale au moment de l’examen, et note fréquemment une déviation septale associée. La tomodensitométrie du nez et des sinus montre chez ces patients une radiotransparence normale des cavités nasales et sinusiennes*, elle peut montrer une déformation septale, le cas échéant, et parfois une hypertrophie turbinale inférieure. Le dysfonctionnement nasal chronique de ces patients n’a pas de support inflammatoire et ne mérite pas un bilan causal de rhinite ou de rhinosinusite chronique.
Le dysfonctionnement mécanique des plexus caverneux peut être traité par la pulvérisation régulière et contrôlée de vasoconstricteurs nasaux (par exemple, une pulvérisation par narine au coucher à renouveler éventuellement une fois dans la nuit en cas de réveil par obstruction nasale) ou par turbinoplastie. Mais l’un ou l’autre de ces traitements peut aboutir à des effets délétères iatrogènes (rhinite aux vasoconstricteurs, rhinite croûteuse) en cas de mauvaise indication et ne doit être proposé qu’après un bilan oto-rhino-laryngé. Lors de l’utilisation prolongée des vasoconstricteurs nasaux même à faible dose, la pression artérielle doit être surveillée.
Le dysfonctionnement mécanique des plexus caverneux peut être traité par la pulvérisation régulière et contrôlée de vasoconstricteurs nasaux (par exemple, une pulvérisation par narine au coucher à renouveler éventuellement une fois dans la nuit en cas de réveil par obstruction nasale) ou par turbinoplastie. Mais l’un ou l’autre de ces traitements peut aboutir à des effets délétères iatrogènes (rhinite aux vasoconstricteurs, rhinite croûteuse) en cas de mauvaise indication et ne doit être proposé qu’après un bilan oto-rhino-laryngé. Lors de l’utilisation prolongée des vasoconstricteurs nasaux même à faible dose, la pression artérielle doit être surveillée.
Pathologie du nez sinusien
Polype antro-choanal de Killian
Le dysfonctionnement nasal chronique d’un polype antro-choanal de Killian peut mimer celui d’une polypose nasale, d’une rhinite respiratoire chronique ou d’une obstruction nasale mécanique. La fibroscopie nasale retrouve le plus souvent, après aspiration des sécrétions qui encombrent une ou les deux fosses nasales, un polype unilatéral d’un méat moyen pouvant obstruer une choane ou les deux par extension dans le cavum. La tomodensitométrie du nez et des sinus montre, dans les cas pathognomoniques, une opacité d’un seul sinus maxillaire qui communique au travers d’un ostium élargi avec une opacité de la fosse nasale homolatérale. Celle-ci s’étend vers le cavum et obstrue la ou les deux choanes. Lorsqu’il existe sur la tomodensitométrie des opacités ethmoïdales controlatérales, le diagnostic de polypose nasale peut être discuté.
Le polype antro-choanal prend naissance dans le sinus maxillaire (ou antre de Highmore) ou dans les autres sinus paranasaux (il existe ainsi des polypes sphéno-choanaux ou fronto-choanaux) mais jamais dans l’ethmoïde. L’exérèse chirurgicale emportant son pédicule d’insertion dans le sinus maxillaire (ou tout autre sinus d’origine) permet une guérison définitive et la disparition de l’inflammation associée. Les polypes sinuso-choanaux sont ainsi une pathologie spécifique des sinus paranasaux dont le développement peut s’accompagner d’une inflammation réactionnelle de la muqueuse des nez respiratoire et olfactif mimant une rhinosinusite uni- ou bilatérale qui guérit avec le traitement chirurgical de la cause.
Le polype antro-choanal prend naissance dans le sinus maxillaire (ou antre de Highmore) ou dans les autres sinus paranasaux (il existe ainsi des polypes sphéno-choanaux ou fronto-choanaux) mais jamais dans l’ethmoïde. L’exérèse chirurgicale emportant son pédicule d’insertion dans le sinus maxillaire (ou tout autre sinus d’origine) permet une guérison définitive et la disparition de l’inflammation associée. Les polypes sinuso-choanaux sont ainsi une pathologie spécifique des sinus paranasaux dont le développement peut s’accompagner d’une inflammation réactionnelle de la muqueuse des nez respiratoire et olfactif mimant une rhinosinusite uni- ou bilatérale qui guérit avec le traitement chirurgical de la cause.
Mycétomes
Les mycétomes, dont l’aspergillome est le représentant classique, sont également une pathologie spécifique des sinus paranasaux, par ordre de fréquence du sinus maxillaire, du sinus sphénoïdal et du sinus frontal. Le mycétome ethmoïdal est exceptionnel si l’on élimine les extensions dans l’ethmoïde d’un mycétome sinusien. L’aspergillome est un champignon parasite des sinus paranasaux qui peut demeurer asymptomatique pendant des années avant de se révéler sous une forme aiguë, subaiguë ou chronique, le plus souvent à la suite d’une surinfection bactérienne. Cette sinusite secondaire peut être prévenue ou guérie par l’exérèse chirurgicale complète du champignon.
Sinusite d’origine dentaire
La sinusite d’origine dentaire est d’abord maxillaire, mais l’inflammation peut s’étendre à l’ethmoïde, aux sinus frontal ou sphénoïdal et au nez respiratoire, aboutissant à un tableau de rhinosinusite chronique le plus souvent unilatérale.
Lire aussi | Bronchectasies de l’adulte : une maladie chronique
Pathologies communes aux trois nez
Les infections aiguës saisonnières communes des voies aériennes supérieures s’accompagnent volontiers d’opacités tomodensitométriques de l’ethmoïde ou des sinus9 et sont donc, qu’il y ait ou non des sinusalgies, d’authentiques rhinosinusites.
Leur évolution est le plus souvent spontanément favorable moyennant un traitement symptomatique (antalgiques-antipyrétiques, vitamines, lavages de nez, prescription limitée à 8 jours de vasoconstricteurs nasaux si obstruction nasale sévère, prescription pendant 1 mois de corticoïdes nasaux si évolution traînante, antihistaminiques en cas d’éternuements invalidants…). Un bilan tomodensitométrique et un avis spécialisé urgent ne sont nécessaires que dans les formes hyperalgiques localisées ou devant une suspicion de complication (ethmoïdite extériorisée dans l’angle interne de l’œil, troubles oculaires, syndrome méningé) qu’il faut rechercher systématiquement.
L’antibiothérapie mérite d’être limitée et adaptée aux formes graves ou compliquées, dans certaines formes d’infection bronchopulmonaire associée, sur terrain fragile. Le traitement chirurgical est parfois nécessaire pour drainer ou évacuer une collection suppurée.
La mucoviscidose, qui est une affection chronique diffuse des épithéliums glandulaires de l’organisme, atteint volontiers les trois nez. Il en est de même du syndrome de dyskinésie ciliaire primitive, qui touche tous les cils de l’organisme, ou des déficits immunitaires systémiques. Leur prise en charge mérite l’accompagnement d’un centre spécialisé de référence.
Leur évolution est le plus souvent spontanément favorable moyennant un traitement symptomatique (antalgiques-antipyrétiques, vitamines, lavages de nez, prescription limitée à 8 jours de vasoconstricteurs nasaux si obstruction nasale sévère, prescription pendant 1 mois de corticoïdes nasaux si évolution traînante, antihistaminiques en cas d’éternuements invalidants…). Un bilan tomodensitométrique et un avis spécialisé urgent ne sont nécessaires que dans les formes hyperalgiques localisées ou devant une suspicion de complication (ethmoïdite extériorisée dans l’angle interne de l’œil, troubles oculaires, syndrome méningé) qu’il faut rechercher systématiquement.
L’antibiothérapie mérite d’être limitée et adaptée aux formes graves ou compliquées, dans certaines formes d’infection bronchopulmonaire associée, sur terrain fragile. Le traitement chirurgical est parfois nécessaire pour drainer ou évacuer une collection suppurée.
La mucoviscidose, qui est une affection chronique diffuse des épithéliums glandulaires de l’organisme, atteint volontiers les trois nez. Il en est de même du syndrome de dyskinésie ciliaire primitive, qui touche tous les cils de l’organisme, ou des déficits immunitaires systémiques. Leur prise en charge mérite l’accompagnement d’un centre spécialisé de référence.
Lire aussi | Rhinorrhée chronique de l’enfant
UN RECUEIL STANDARDISÉ DES SYMPTÔMES
Le concept de rhinosinusite chronique semble ainsi adapté pour désigner les pathologies inflammatoires touchant de manière diffuse les muqueuses des trois nez. Le concept de dysfonctionnement nasal chronique repose quant à lui sur un recueil standardisé des symptômes du patient, que la pathologie soit inflammatoire ou pas et qu’elle touche l’un ou l’ensemble des trois nez, qui sert de référence à l’évaluation de l’évolution, aussi bien spontanée que post- thérapeutique. L’auto-questionnaire Dynachron a par exemple été conçu et validé10 avec cet objectif (fig. 3) .
* Certaines opacités sinusiennes comme celle d’un kyste sous-muqueux ou un épaississement de la muqueuse du plancher ou encore un cadre sinusien qui ne permettent pas d’expliquer le dysfonctionnement nasal du patient peuvent être négligées.
Références
1. Jankowski R (ed). The evo-devo origin of the nose, anterior skull base and midface. Springer, Paris: 2013.
2. Jankowski R, Nguyen DT, Russel A, Toussaint B, Gallet P, Rumeau C. Chronic nasal dysfunction. Eur Ann Otorhinolaryngol Head Neck Dis 2018;135:41-9.
3. Aoki S, Dillon WP, Barkovich AJ, Norman D. Marrow conversion before pneumatization of the sphenoid sinus: assessment with MR imaging. Radiology 1989;172:373-5.
4. Nguyen DT, Bonfort G, Arous F, Felix-Ravelo M, Nguyen-Thi PL, Jankowski R. Evaluation of residual symptoms: A method to assess surgical outcomes for nasal polyposis. Am J Rhinol Allergy 2016;30:e36-e41.
5. Jankowski R, Perrot C, Nguyen DT, Rumeau C. Structure of the lateral mass of the ethmoid by curved stacking of endoturbinal elements. Eur Ann Otorhinolaryngol Head Neck Dis 2016;135:325-9.
6. Jankowski R, Rumeau C, Nguyen DT, Gallet P. Updating nasalisation: from concept to technique and results. Eur Ann Otorhinolaryngol Head Neck Dis 2018;135:321-8.
7. Jankowski R, Gallet P, Nguyen DT, Rumeau C. Chronic respiratory rhinitis. Eur Ann Otorhinolaryngol Head Neck Dis 2018;135:255-8.
8. Mortuaire G, Michel J, Papon JF, et al. L’immunothérapie antiallergénique dans la rhinite allergique. Ann Fr Otorhinolaryngol Pathol Cervico Faciale 2017;134:247-53.
9. Gwaltney JM Jr, Phillips CD, Miller RD, Riker DK. Computed tomographic study of the common cold. N Engl J Med 1994;330:25-30.
10. Kacha S, Guillemin F, Jankowski R. Development and validity of the DyNaChron questionnaire for chronic nasal dysfunction. Eur Arch Otorhinolaryngol 2012;269:143-53.
2. Jankowski R, Nguyen DT, Russel A, Toussaint B, Gallet P, Rumeau C. Chronic nasal dysfunction. Eur Ann Otorhinolaryngol Head Neck Dis 2018;135:41-9.
3. Aoki S, Dillon WP, Barkovich AJ, Norman D. Marrow conversion before pneumatization of the sphenoid sinus: assessment with MR imaging. Radiology 1989;172:373-5.
4. Nguyen DT, Bonfort G, Arous F, Felix-Ravelo M, Nguyen-Thi PL, Jankowski R. Evaluation of residual symptoms: A method to assess surgical outcomes for nasal polyposis. Am J Rhinol Allergy 2016;30:e36-e41.
5. Jankowski R, Perrot C, Nguyen DT, Rumeau C. Structure of the lateral mass of the ethmoid by curved stacking of endoturbinal elements. Eur Ann Otorhinolaryngol Head Neck Dis 2016;135:325-9.
6. Jankowski R, Rumeau C, Nguyen DT, Gallet P. Updating nasalisation: from concept to technique and results. Eur Ann Otorhinolaryngol Head Neck Dis 2018;135:321-8.
7. Jankowski R, Gallet P, Nguyen DT, Rumeau C. Chronic respiratory rhinitis. Eur Ann Otorhinolaryngol Head Neck Dis 2018;135:255-8.
8. Mortuaire G, Michel J, Papon JF, et al. L’immunothérapie antiallergénique dans la rhinite allergique. Ann Fr Otorhinolaryngol Pathol Cervico Faciale 2017;134:247-53.
9. Gwaltney JM Jr, Phillips CD, Miller RD, Riker DK. Computed tomographic study of the common cold. N Engl J Med 1994;330:25-30.
10. Kacha S, Guillemin F, Jankowski R. Development and validity of the DyNaChron questionnaire for chronic nasal dysfunction. Eur Arch Otorhinolaryngol 2012;269:143-53.