Vous êtes médecin du SAMU. Vous prenez en charge M. X, 48 ans, qui présente depuis 10 heures du matin une douleur médio-thoracique constrictive. Vous recevez l’appel à 19 h 45 et arrivez au domicile du patient à 20 heures.
Vous documentez rapidement ses antécédents. Le patient rapporte une hypertension artérielle traitée par amlodipine et hydrochlorothiazideainsi qu’un tabagisme à 3 paquets-années.
Le patient est eupnéique en air ambiant, normotendu. Il ne présente pas de signe d’insuffisance cardiaque droite ou gauche. L’auscultation cardio-pulmonaire est sans anomalie.
Voici son électrocardiogramme (figures 1-2) :
Question 1. Quel est votre diagnostic ?
Sus-décalage supérieur à 1 mm en DII, DIII, aVF
Patient à haut risque cardiovasculaire (diabète, hypertension artérielle).
Douleur typique.
Électrocardiogramme typique. Diagnostic de coup d’œil, impossible à manquer ici :
– sus-décalage convexe > 1 mm ;
– systématisé (DII, DIII, aVF) ;
– avec miroir antérieur.
On note par ailleurs un bloc de branche droit.
Question 2.Quelle est votre attitude en urgence ?
Ce traitement n’existe que par voie orale
Traitement préhospitalier du syndrome coronarien aigu ST+ :
– bi-antiagrégation plaquettaire :
acide acétylsalicylique à la dose de 250 mg par voie intraveineuse ;
ticagrélor (Brilique) à la dose de 180 mg ou prasugrel (Efient) à la dose de 60 mg per os ; clopidogrel (Plavix) 600 mg per os en cas d’indisponibilité du ticagrélor et prasugrel ;
– anticoagulation efficace par HBPM (bolus 0,5 mg/kg IV, puis 0,1 ml SC pour 10 kg) ou HNF (bolus de 70-100 UI/kg, puis relais au pousse-seringue électrique) ;
– oxygénothérapie si saturation < 90 % ;
– morphine en cas de douleurs.
Transport en urgence vers la salle de cathétérisme la plus proche pour revascularisation (transport Fast Track).
Vous transportez le patient en Fast Track vers la salle de coronarographie la plus proche.
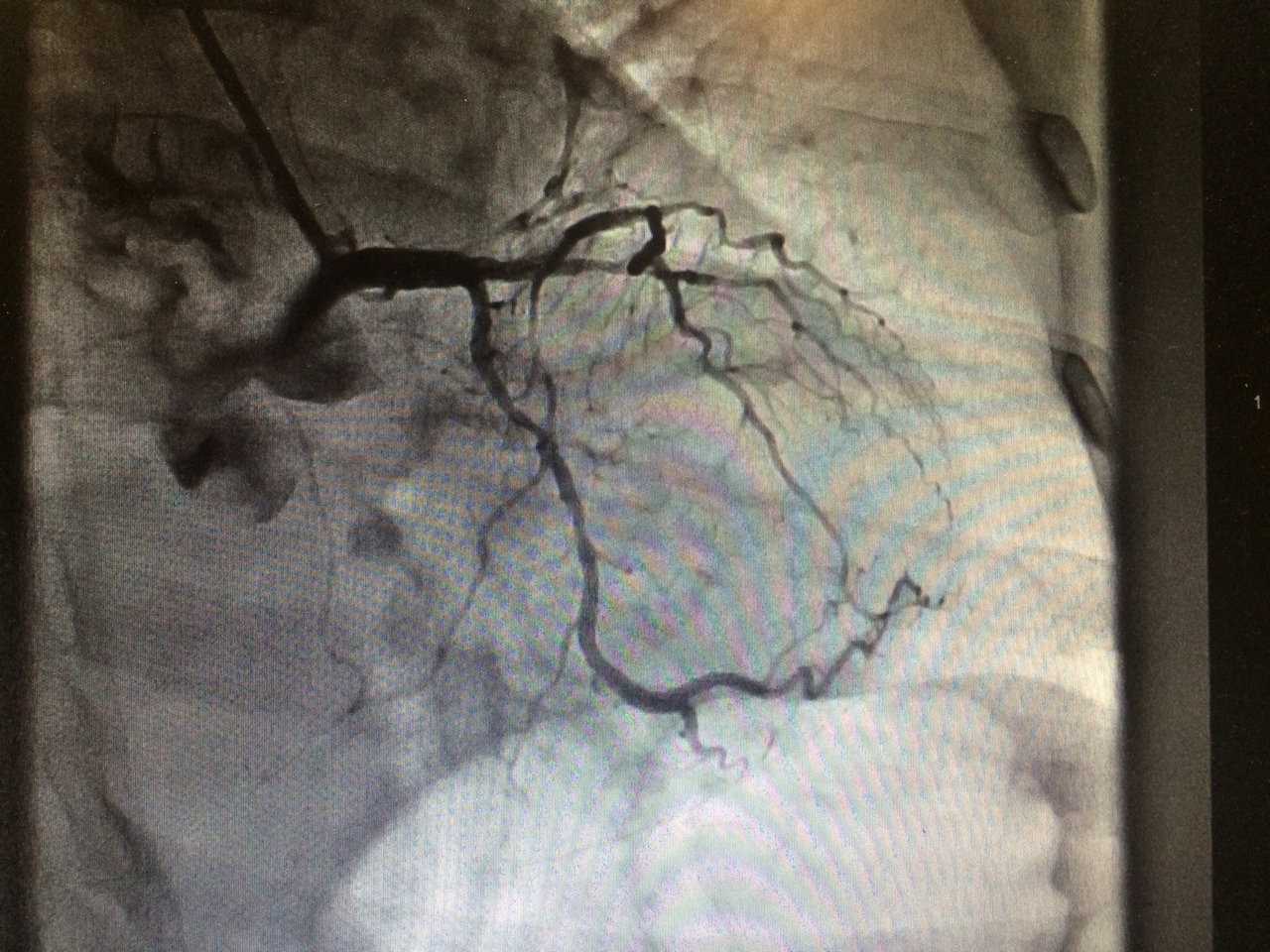
Voici le résultat de l’examen
Question 3.Quelle est votre attitude ?
Occlusion aiguë thrombotique de la coronaire droite, flux TIMI 0 (thrombolysis in myocardial infarction zero)
Traitement de référence dans le STEMI (
ST-elevation myocardial infarction) : revascularisation par stent actif
Le traitement de référence est la revascularisation par voie percutanée, en urgence, la plus précoce possible, avec implantation d’un stent actif au niveau de la lésion coupable.
Vous retenez donc le diagnostic d’infarctus inférieur Killip 1, de prise en charge tardive sur occlusion de la coronaire droite. Le patient est thrombo-aspiré et bénéficie de l’implantation d’un stent actif sur la coronaire droite moyenne. Le résultat angiographique est optimal avec rétablissement d’un flux TIMI 3. L’artère interventriculaire antérieur et circonflexe sont athéromateuses, sans lésion significative par ailleurs.
Le patient est transféré vers l’unité de soins intensifs cardiologiques pour la suite de sa prise en charge. Vous êtes de garde et recevez M. X. Le patient est normotendu, eupnéique en air. L’échographie retrouve une fraction d’éjection du ventricule gauche (FEVG) à 45 % avec une akinésie inférieure et une fonction ventriculaire droite conservée.
Question 4. Quel(s) traitement(s) doivent être débutés ?
Il n’y a pas lieu de poursuivre une anticoagulation curative après revascularisation
Les statines doivent être mises à dose maximale d’emblée, puis adaptées secondairement lors du suivi en fonction des objectifs de LDLc (low-density lipoprotein cholesterol). Ici l’objectif sera un LDLc < 0,7 g/L : prévention secondaire
Traitement de base systématique de la cardiopathie ischémique :
– bêtabloquants à dose maximale tolérée (contre-indiqués en cas d’infarctus ventriculaire droit avec dysfonction VD et de choc cardiogénique) ;
– IEC à dose maximale tolérée ;
– introduction d’un anti-aldostérone si la FEVG est inférieure à 40 % dans un contexte de post-infarctus ;
– double antiagrégation plaquettaire pendant un an (post-SCA stenté), pouvant être raccourci à 6 mois en cas de risque hémorragique élevé :
acide acétylsalicylique 75 mg (à vie) ;
ticagrélor (90 mg deux fois par jour) ou prasugrel (10 mg une fois par jour) ;
– les statines doivent être mises à dose maximale d’emblée puis adaptées secondairement lors du suivi en fonction des objectifs de LDLc (ici l’objectif sera un LDLc < 0,7 g/L : prévention secondaire) ;
– sevrage tabagique avec aide au sevrage : conseil minimal, patchs de nicotine, consultation de tabacologie ;
– prescription d’une réadaptation cardiaque en centre spécialisé.
Vous êtes réveillé car votre patient se dégrade au milieu de la nuit. Le patient ne rapporte pas de récidive douloureuse. Il est orthopnéique et présente une sensation d’étouffement. La pression artérielle est à 90/40 mmHg pour une fréquence cardiaque à 110/min, la fréquence respiratoire est à 35/min, la saturation en oxygène (SpO2) à 85 % sous oxygène au masque de moyenne concentration à 7 L/min. Votre patient est très agité, difficile à calmer, il n’obéit pas aux ordres simples et présente des propos confus.
Question 5.Quelle est votre attitude diagnostic en urgence ?
Recherche d’un souffle systolique de novo qui dans le contexte évoquerait :
– une communication interventriculaire (CIV)
– une insuffisance mitrale sur rupture de pilier
Recherche d’une thrombose de stent
Recherche d’une complication de l’angioplastie : tamponnade
Le patient est ici en état de choc et doit d’abord être stabilisé avant d’être transporté. De plus, l’échographie cardiaque et la radiographie pulmonaire sont suffisantes dans ce contexte pour faire le diagnostic et le scanner ne sera qu’un examen de seconde intention dans ce contexte
Devant tout tableau de détresse respiratoire aiguë, une radiographie pulmonaire doit être réalisée
Tableau de choc et détresse respiratoire aiguë dans un contexte d’infarctus inférieur de prise en charge tardive, revascularisé récemment.
Les causes à évoquer en priorité sont : la rethrombose, une complication mécanique de l’infarctus, une complication liée à l’angioplastie, un trouble rythmique.
Les examens qui permettront de faire la part des choses dans cette situation sont donc :
– l’examen clinique avec une auscultation attentive à la recherche d’un souffle systolique de novo qui évoquerait dans le contexte une insuffisance mitrale ou une communication interventriculaire ;
– un électrocardiogramme afin de rechercher un argument pour une thrombose de stent ou un trouble rythmique ;
– l’échographie cardiaque qui permet d’éliminer :
o un hémopéricarde (compliquant l’angioplastie ou en lien avec l’infarctus) ;
o une valvulopathie aiguë (insuffisance mitrale par rupture de pilier) ;
o rechercher une CIV ;
o estimer la cinétique segmentaire le débit cardiaque ;
o autres : cœur pulmonaire aigu (moins probable dans le contexte) ;
– la radiographie pulmonaire qui apportera des arguments pour un œdème aigu du poumon (OAP) ou qui incitera à rechercher une autre cause (embolie pulmonaire si parenchyme normal…).
Voici les données de votre examen physique : l’auscultation cardiaque est difficile du fait de l’agitation. Vous percevez un souffle holosystolique 4/6 avec un B3 surajouté. Vous retrouvez des crépitants à 2/3 champs bilatéraux, vous notez une dépression abdominale en inspiration ainsi qu’une cyanose diffuse.
Le patient n’a pas uriné depuis deux heures alors qu’il avait été sondé après l’intervention.
L’électrocardiogramme s’inscrit en rythme sinusal régulier avec des ondes Q dans le territoire inférieur. Le sus-décalage du segment ST a régressé.
Question 6. Quelles sont vos deux hypothèses diagnostiques principales à ce stade ?
Présence de signe d’insuffisance cardiaque gauche discordante avec un diagnostic d’embolie pulmonaire. Ce diagnostic n’est pas à évoquer en premier intention
Complication mécanique de l’infarctus à rechercher systématiquement en cas de choc cardiogénique avec souffle systolique
Complication mécanique de l’infarctus à rechercher systématiquement en cas de choc cardiogénique avec souffle systolique
Le patient ne présentait pas de souffle à l’entrée. Il n’y a pas d’étiologie de rétrécissement aortique aigu. Le contexte n’est donc pas évocateur de cette pathologie
Absence de douleur thoracique, régression du sus-décalage à l’électrocardiogramme
Étiologie de choc cardiogénique dans un contexte d’infarctus :
– sévérité de l’atteinte myocardique (nécrose étendue sur une occlusion du tronc commun (TC) gauche-artère interventriculaire antérieure (IVA) proximale, patient pluritronculaire) ;
– complications mécaniques liées à l’infarctus : o CIV ;
o infarctus du myocarde par rupture de pilier ;
o rupture en péricarde libre ;
– rythmique : orage rythmique (tachycardie ventriculaire soutenue répétée).
Question 7. Quels sont les critères de gravité présentés par votre patient ?
Toujours décliner les trois catégories de signes de gravité :
– signes de gravité hémodynamiques (oligurie, marbrure…) ;
– signes de gravité respiratoires (polypnée, balancement thoraco-abdominal, cyanose, agitation…) ;
– signes de gravité neurologiques (troubles de la conscience…).
La radiographie du thorax montre une cardiomégalie et des opacités floconneuses périhilaires bilatérales. Vous retrouvez à l’échographie une insuffisance mitrale massive par rupture du pilier postéro-médian. Les gaz du sang artériel sous 7 litres au masque de moyenne concentration sont les suivants : pH = 7,15 ; PaO2 = 57 mmHg ; PaCO2 = 65 mmHg ; bicarbonates = 18 mmol/L.
Question 8. Quelle est votre attitude thérapeutique ?
Les troubles de la conscience contre-indiquent la ventilation non invasive. De plus l’état d’agitation laisse présager d’une mauvaise compliance du patient. Le patient présente également un état de choc. L’intubation oro-trachéale et la mise sous ventilation mécanique sont donc nécessaires
Traitement de la cause (seule manière de sauver votre patient) :
– revascularisation en urgence si cause ischémique ;
– correction chirurgicale d’une valvulopathie aiguë ;
– choc électrique externe si trouble du rythme mal toléré.
Traitement symptomatique :
– amines inotropes positives afin de maintenir une pression de perfusion suffisante ;
– oxygénothérapie adaptée à l’état du patient : ici IOT et ventilation invasive ;
– le cas échéant, correction des signes de surcharge par diurétiques de l’anse ;
– en cas de choc cardiogénique réfractaire :
° ECMO ;
° discuter la contre-pulsion si étiologie ischémique ou complication mécanique de l’infarctus type CIV ou IM.
M. X bénéficie de sa chirurgie de remplacement valvulaire mitral mécanique par sternotomie médiane en urgence dans la nuit (prothèse double ailette Saint Jude 23 mm). L’intervention se passe bien avec un temps de clampage de 45 minutes. Le patient ne présente pas de complication per- ou postopératoire. Les amines sont progressivement sevrées en réanimation cardiaque et le patient est extubé deux jours après l’intervention chirurgicale puis transféré en service de chirurgie à J3. Alors que vous êtes de garde, vous êtes appelé en urgence par l’infirmière de nuit car le patient « ne se sent pas bien ». À votre arrivée il est apyrétique. Il présente une tachycardie sinusale soutenue à 140/min pour une tension artérielle à 80/50. Il n’a pas de diurèse depuis le matin. Sa fréquence respiratoire est à 30/min, sa saturation en oxygène à 88 % et il présente des marbrures. Les drains n’ont rien donné depuis le matin. L’auscultation pulmonaire est sans anomalies. Il présente une hépatomégalie et une turgescence jugulaire.
Question 9. Quel examen réalisez-vous en priorité ? (une réponse attendue)
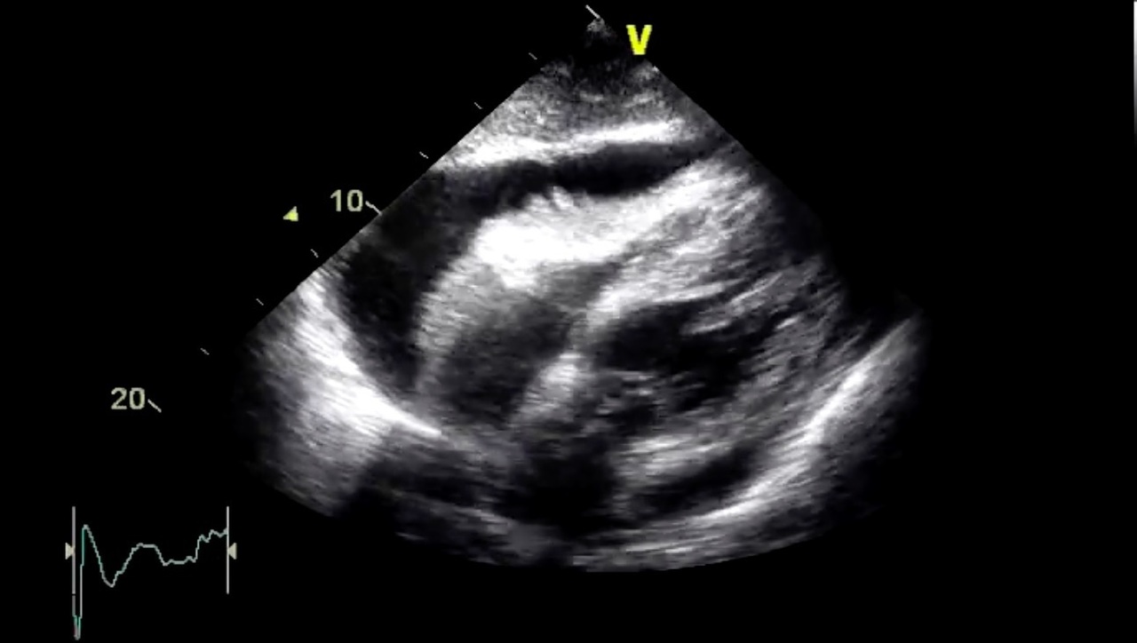
La première complication à éliminer dans un contexte postopératoire de chirurgie cardiaque est la tamponnade, d’où l’échographie en première intention. L’échographie permettra également d’éliminer un cœur pulmonaire aigu
Voici la coupe sous-costale de l’échographie cardiaque que vous réalisez en urgence (figure 5). La valve mitrale est normo-fonctionnelle. Le ventricule droit est modérément dilaté. Les pressions artérielles pulmonaires systoliques sont normales, estimées à 30 mmHg. La pression de l’oreillette droite est augmentée, estimée à 20 mmHg, avec une veine cave inférieure dilatée et non compliante. Vous observez une variation des flux mitraux et aortiques avec la respiration. Le débit cardiaque est abaissé.
Question 10. Quelle est votre attitude ?
Il faut conserver une précharge suffisante dans un contexte de tamponnade afin d’éviter un collapsus et un arrêt cardiaque par dissociation
C’est le traitement de la tamponnade
L’objectif est d’améliorer l’hémodynamique dans ce contexte d’état de choc. Cela ne doit pas retarder l’évacuation de cet épanchement
Il s’agit ici d’une tamponnade. Il n’y a pas de cœur pulmonaire aigu
Prise en charge d’une tamponnade :
– traitement symptomatique :
° position demi-assise ;
° scope cardio-tensionnel, hospitalisation en unité de soins intensifs cardiologiques (USIC) ou réanimation ;
° remplissage vasculaire modéré par sérum salé ou Ringer Lactate (de 500 cc à 1 litre) ;
° amines inotropes et/ou vasopressives si état de choc associé afin de maintenir une pression de perfusion en attendant le drainage ;
– drainage en urgence : voie percutanée ou voie chirurgicale (épanchement purulent, épanchement récidivant…).
M. X est drainé en urgence. La situation s’améliore et il finit par sortir de l’hôpital à J10 de sa chirurgie.
Il reconsulte aux urgences de l’hôpital cardiologique six mois plus tard. Il est asthénique et dit présenter quelques pics fébriles et être très asthénique depuis deux semaines. Il ne présente pas de douleur thoracique, pas de toux ou crachats. La pression artérielle est à 85/50, la fréquence cardiaque à 120/min. Vous notez quelques marbrures au niveau des genoux. Voici les résultats de son bilan aux urgences.
Numération formule sanguine : hémoglobine = 10 g/dl ; volume globulaire moyen = 76 fl ; leucocytes = 12 000 /mm3dont 89 % de polynucléaires neutrophiles ; plaquettes = 280 000/mm3.
Protéine C réactive (CRP) : 150 mg/l.
pH : 7,42 ; lactates : 3,2 ; PaCO2 : 27 mmHg ; PaO2 : 80 mmHg.
Ionogramme sanguin normal, créatininémie à 112, urée à 13, débit de filtration glomérulaire : 44 ml/min.
Bilan hépatique normal.
Bandelette urinaire négative.
Question 11. Quels examens réalisez-vous en première intention ?
Ici l’urgence est au diagnostic infectieux
Syndrome infectieux chez un patient à haut risque d’endocardite infectieuse (porteur d’une prothèse mécanique) : éliminer EI
Patient à haut risque d’endocardite infectieuse
Les deux examens clés du diagnostic d’endocardite infectieuse sont :
– l’échographie cardiaque par voie transthoracique (ETT) suivie systématiquement d’une échographie par voie transœsophagienne (ETO), examen plus sensible et permettant un bilan lésionnel plus précis (recherche d’abcès, de désinsertion de prothèse, d’une fuite occulte, meilleure estimation de la taille des végétations) ;
– les hémocultures qui doivent être prélevées avant l’initiation de l’antibiothérapie et doivent être répétées.
L’ETT puis l’ETO mettent en évidence deux images vibratiles hyperéchogènes appendues sur le versant auriculaire de la valve mitrale mécanique, mesurant respectivement 17 mm et 12 mm. Il n’existe pas d’autres atteintes valvulaires. Il existe une fuite mitrale modérée centrale. Le ventricule gauche est non dilaté, la FEVG est à 50 % avec une akinésie inférieure.
Les quatre flacons d’hémocultures reviennent positifs à Cocci à Gram positif en amas.
Question 12.Quel est votre attitude thérapeutique dans l’immédiat ?
Sepsis sévère :
– hypotension + tachycardie
– insuffisance rénale aiguë d’allure fonctionnelle sur le sepsis
– acidose métabolique compensée
Recommandations de l’ESC 2015 (tableau 1)
Patient en sepsis sévère dans un contexte d’endocardite infectieuse. L’hospitalisation doit se faire en unité de soins continus ou unité de soins intensifs cardiologiques
Le diagnostic d’endocardite infectieuse est certain :
– patient à haut risque ;
– deux critères de Duke majeurs (hémocultures et présence d’une végétation).
Le patient est en sepsis sévère.
Un traitement antibiotique probabiliste doit être mis en place.
Voici les recommandations de l’ESC 2015 pour l’antibiothérapie probabiliste sur valve prothétique :
Question 13. Quel germe suspectez-vous en premier lieu ?
Endocardite infectieuse aiguë sur valve prothétique précoce (moins d’un an).
Le germe le plus probable est le staphylocoque (S. aureus ou S. epidermidis).
L’examen direct soutient cette hypothèse (présence de cocci à Gram positif en amas).
Le bactériologiste d’astreinte vous appelle le lendemain pour vous confirmer la poussée de Staphylococcus aureus. Le scanner thoraco-abdomino-pelvien injecté retrouve deux infarctus spléniques. L’imagerie à résonance magnétique cérébrale est sans anomalie.
Le contrôle de l’échographie à 48 heures retrouve les deux végétations sur la prothèse mitrale (mesures respectives à 19 mm et 13 mm).
La situation clinique s’est rapidement améliorée après remplissage et administration de l’antibiothérapie.
Question 14.Quelles informations essentielles documentez-vous afin d’orienter l’adaptation de votre antibiothérapie ?
Staphylococcus aureus présente dans 90 % des cas une pénicillinase qui lui confère une résistance à l’amoxicilline. Cette molécule n’est donc jamais utilisée pour traiter une infection par Staphylococcus aureus dans l’endocardite infectieuse. Cette information n’est donc pas capitale
Résistance chromosomique à la méticilline : gène mecA entraînant une mutation des PLP (PLP2a). Entraîne une résistance à toute la famille des bêtalactamines et notamment la pénicilline M
Adaptation posologique, suivi de la fonction rénale (aminosides et glycopeptides sont néphrotoxiques). Importance du suivi des taux résiduels
Contre-indication aux pénicillines. Indications de mise sous vancomycine dans ce cas de figure
Votre patient ne présente pas d’allergie à la pénicilline. Il pèse 70 kg. La fonction rénale est en amélioration (DFG : 60 ml/min/1,73 m2), il n’y a pas de protéinurie. Voici l’antibiogramme de votre patient (figure 6) :
Question 15. Quelle est votre prise en charge ?
Adaptée au Staphylococcus aureus méti-S (SAMS) [tableaux 2 et 3]
Oui, justifiée par le risque embolique
Trois catégories d’indications chirurgicales dans l’endocardite infectieuse :
– insuffisance cardiaque : o insuffisance mitrale ou aortique sévère entraînant un OAP réfractaire ou choc cardiogénique (urgence : dans les 24 heures) ;
o insuffisance mitrale ou aortique sévère entraînant des symptômes d’insuffisance cardiaque (urgence relative : 48-72 heures) ;
– non-contrôle infectieux : abcès local, organisme multirésistant ou fongiques, hémocultures restant positives malgré une antibiothérapie adaptée ;
– risque embolique : o végétations > 15 mm sans localisation embolique ;
o végétations > 10 mm et localisations emboliques.
Tableau 2 et 3
Douleur typique.
Électrocardiogramme typique. Diagnostic de coup d’œil, impossible à manquer ici :
– sus-décalage convexe > 1 mm ;
– systématisé (DII, DIII, aVF) ;
– avec miroir antérieur.
On note par ailleurs un bloc de branche droit.