Vous recevez M. F., patient de 67 ans, qui consulte pour « un gonflement du côté gauche du cou » apparu depuis quelques semaines, sans fièvre, ni traumatisme. La peau en regard est sans particularité.

Ses antécédents sont :

– une artérite oblitérante des membres inférieurs pour laquelle il n’a qu’un simple traitement médical par clopidogrel débuté il y a 5 ans ;

– une urticaire géante à la pénicilline dans l’enfance.

D’origine marocaine, il est à la retraite depuis 2 ans et a travaillé dans une entreprise de fret routier en France pendant 30 ans. Il est marié, a 2 enfants, déclare une consommation d’alcool à 2 verres par jour et un tabagisme actif évalué à 35 paquets-année.

Il n’a pas d’autre plainte fonctionnelle, et présente à l’examen physique une tuméfaction à la base de la face latérale gauche du cou, sans érythème.

Les paramètres vitaux sont les suivants : tension artérielle (TA) : 125/75 ; fréquence cardiaque (FC) = 82 bpm ; saturation artérielle en oxygène (SaO2) = 99 % en air ambiant ; température (T°) = 37,2 °C.
Question n° 1 : À propos de cette tuméfaction, vous envisagez les hypothèses suivantes
Non compatible avec une histoire froide et d’évolution relativement indolente 
Cette tuméfaction est froide, sans souffle, composée de deux petites masses angulées, dures, centriques, indolores et mobiles, ne bougeant pas à la déglutition localisées au niveau sus claviculaire.
Question n° 2 : Quelle(s) hypothèse(s) éliminez-vous à ce stade de votre examen clinique ?
Éliminé par le caractère immobile à la déglutition pour des masses par ailleurs non fixées
Caractère non pulsatile et sans souffle, localisation non compatible
Éliminé par le caractère saillant de la masse 
Tableau clinique très en faveur d’adénopathies cervicales
À évoquer systématiquement devant toute masse inexpliquée, bien que ces tumeurs soient très rares
Les autres aires ganglionnaires périphériques sont libres, il n’y a pas d’hépato-splénomégalie.
L’examen cutané est strictement normal. L’inspection et la palpation endo-buccales sont normales, l’examen otologique est lui aussi normal.
M. F. fait état d’une fatigue depuis un mois et demi qui lui impose de faire une sieste quotidienne, sans pour autant l’empêcher de sortir acheter son journal ou de promener son chien. Pas de fièvre, pas de sueur nocturne, mais un amaigrissement de 3 kg en deux mois (85 kg contre 88 kg pour 1,70 m).
Question n° 3 : Ces nouvelles données vous permettent d’envisager comme hypothèses diagnostiques
Territoire de drainage compatible chez un patient avec des facteurs de risques majeurs (tabagisme et éthylisme). L’examen ORL devra être complété par une panendoscopie à la recherche d’un primitif si l’anatomo-pathologie est compatible
Peu probable avec un examen cutané normal, sous réserve de son exhaustivité
Vous réalisez une ponction à l’aiguille d’une des adénopathies dont voici les résultats :
« Cytoponction d’une adénomégalie sus-claviculaire gauche :
– examen bactériologique direct en coloration de Gram négatif, absence de bacilles acido-alcoolo-résistants (BAAR), cultures en cours ;
– nombreuses cellules atypiques, compatibles avec un carcinome. Quelques lymphocytes. »
Question n° 4 : Vous retenez alors comme hypothèses
Le mélanome est un type histologique bien distinct du carcinome
Aurait donné une cytologie majoritairement lymphocytaire. La présence de cellules carcinomateuses rend cette hypothèse caduque
Aurait donné une cytologie majoritairement lymphocytaire. La présence de cellules carcinomateuses rend cette hypothèse caduque
Adénopathie sus-claviculaire gauche = adénopathie de Troisier qui correspond aussi à un territoire de drainage sous-diaphragmatique et thoracique
Vous complétez votre examen clinique : le toucher rectal est normal, la palpation testiculaire est normale, vous ne décelez aucune autre plainte fonctionnelle en dehors d’une dorsalgie d’horaire mixte apparue progressivement. L’examen neurologique est sans particularité.
Vous récupérez le bilan biologique suivant :
– hémoglobine (Hb) : 12 g/dL ; volume globulaire moyen (VGM) : 90 fL ; plaquettes : 215 G/L ; leucocytes : 7,5 G/L dont polynucléaires neutrophiles (PNN) : 6,0 G/L ; lymphocytes : 1,4 G/L ;
– sodium : 140 mMol/L ; potassium : 3,8 mMol/L ; créatinine sanguine : 70 mmol/L ; bilan hépatique normal ; albumine : 39 g/L ;
– prothrombine (TP) = 90 % ; ratio du temps de céphaline activée (TCA) = 1,0 ;
– antigène tumoral 125 (CA 125) normal ; CA 19-9 normal ; lactate déshydrogénase (LDH) : 300 UI/L (140-245 UI/L) ; alpha-fœto-protéine indosable ; hormone HCG totale indosable ; antigène spécifique de la prostate (PSA) : 2,5 ng/mL.
Question n° 5 : Vous retenez à ce stade comme hypothèse(s) diagnostique(s) 
L’examen anatomopathologique est en faveur d’un carcinome (tumeur épithéliale), ce qui exclut de principe les sarcomes (tumeurs mésenchymateuses)
Rien ne permet de l’éliminer à partir de ce bilan
Rien ne permet de l’éliminer à partir de ce bilan
Rien ne permet de l’éliminer à partir de ce bilan
NB : à rechercher à tout prix devant un carcinome d’origine indéterminée car de très bon pronostic si un traitement adapté est réalisé sans délai
Rien ne permet de l’éliminer à partir de ce bilan
NB : à rechercher à tout prix devant un carcinome d’origine indéterminée car de très bon pronostic si un traitement adapté est réalisé sans délai
Question n° 6 : Quelles explorations complémentaires réalisez-vous à ce stade ?
Il est impératif de compléter la démarche diagnostique par un examen anatomopathologique avec une étude immunohistochimique large afin de déterminer le primitif
Permet de trouver des foyers hypermétaboliques orientant vers un carcinome primitif
Complète le TEP scan dont la résolution est moindre, en particulier pour l’exploration de l’étage thoracique (recherche de nodules thoraciques infra-centimétriques)
Les examens endoscopiques sont peu disponibles et sont invasifs. Leur réalisation doit être rationnalisée afin d’éviter tout retard au diagnostic et d’éviter des complications locales inutiles.
L’urgence est de réaliser un examen anatomopathologique fiable et de cartographier les localisations tumorales afin d’identifier un possible primitif.
Vous recevez les résultats du TEP-TDM au 18-FDG.
Question n°7 : Vous identifiez comme localisations tumorales
Fixation myocardique physiologique (activité myocardique)
Fixation rénale physiologique : filtration rénale du traceur, idem dans la vessie
Fixation encéphalique physiologique (activité encéphalique). La méningite carcinomateuse est un diagnostic fait à l’imagerie par résonance magnétique (IRM) et sur la ponction lombaire
On rappelle que l’examen neurologique est sans particularité.
À propos de l’atteinte rachidienne vous examinez les clichés complémentaires suivants :
Question n°8 : Vous envisagez comme hypothèses diagnostiques 
Même un tassement ostéoporotique peut donner un hypermétabolisme au TEP-TDM qui n’est pas spécifique
L’atteinte concerne le corps vertébral, pas le disque intervertébral
L’atteinte concerne le corps vertébral, pas le disque intervertébral
Hypothèse la plus probable dans un contexte de tumeur métastatique et devant l’unicité du tassement vertébral et l’aspect ostéolytique du les images du scanner
Le TEP-TDM n’est pas adapté à ce diagnostic, de plus l’examen neurologique est normal, ce qui exclut une compression médullaire.
Le scanner thoraco-abdomino-pelvien retrouve un épaississement de la paroi vésicale de 15 mm, intéressant la face latérale gauche de la vessie, sans envahissement de la paroi rectale ni des organes de voisinage, ainsi que des adénopathies lombo-aortiques, iliaques internes, sus-claviculaires, et une ostéolyse de la vertèbre T8.
La biopsie de l’adénopathie sus-claviculaire gauche retrouve un carcinome de différenciation urothéliale, CK7+, CK20-, GATA3+.
Question n°9 : En tenant compte de ces nouvelles données et de l’image rachidienne, vous abordez avec M.F. les éléments suivants 
Voici un tableau simplifié de la classification clinique des tumeurs de la vessie, des examens à réaliser et du traitement.
StadeExamens après preuve histologique (souvent première cystoscopie)Traitement « idéal »
Tumeur de vessie non infiltrant le muscleContrôle cystoscopique (nouvelles biopsies)Endoscopique +/- instillations vésicales
Tumeur de vessie infiltrant le muscleBilan d’extensionChimiothérapie néoadjuvante + cystosprostatectomie
Tumeur de vessie métastatiqueBilan d’extensionChimiothérapie

 


Dans notre cas, la somme des données du dossier à ce stade permet de conclure à une tumeur de la vessie au stade métastatique du fait de l’atteinte ganglionnaire sus-claviculaire, et très probablement osseuse en T8.
Question n°10 : En tenant compte de l’ensemble des données anatomopathologique et radiologique, vous prescrivez les examens suivants pour la suite de la prise en charge 
N’a pas sa place dans le bilan d’extension systématique d’une tumeur de vessie. Uniquement si point d’appel neurologique
La cytologie urinaire et la cystoscopie ont un intérêt pour l’exploration d’une hématurie ou d’une symptomatologie régionale afin de dépister (cytologie) et de diagnostiquer une tumeur de vessie : exploration par la cystoscopie et biopsies multiples permettant de déterminer le stade et le grade de la lésion et surtout déterminer si le muscle vésical est infiltré ou non.
Dans notre cas, on connaît déjà la nature métastatique de la pathologie ainsi que son type histologique ; la cytologie urinaire, l’uroscanner et la cystoscopie sont donc futiles, d’autant plus que le type histologique est spécifique de la localisation et que la tumeur primitive est visible à l’imagerie.
Voici les résultats de l’IRM du rachis dorsal :
Question n° 11 : Vous programmez en urgence 
Patient asymptomatique, pas d’indication aux corticoïdes qui vont majorer le risque opératoire
Oui, il y a un risque majeur de compression médullaire, l’avis chirurgical doit être pris au plus vite
Oui, patient non stenté, le clopidogrel peut être suspendu le temps de l’intervention chirurgicale
Oui, la radiothérapie sera réalisée rapidement en cas de récusation pour la chirurgie. Même en cas de prise en charge chirurgicale, la radiothérapie est indiquée pour le contrôle de l’évolution locale
Non, risque d’induire des cytopénies et de majorer le risque hémorragique et infectieux. La chimiothérapie sera réalisée à distance de la prise en charge du rachis
M. F. est opéré en urgence. Vous le revoyez 6 semaines plus tard, il vient de terminer ses séances de radiothérapie et a diminué la prise de corticoïdes à 10 mg par jour de prednisone.
Il se mobilise seul, marche environ 200 m par jour, a un peu perdu d’appétit. Il est actuellement sous tramadol LP 100 mg pour ses douleurs rachidiennes, et présente une hématurie macroscopique intermittente. Son poids est de 81 kg (pour un poids habituel de88 kg). Son bilan est le suivant :
– Hb : 10 g/dL ; VGM : 86 fL (N = 85-95 fL) ; plaquettes : 315 G/L ; leucocytes : 7,5 G/L dont PNN : 6,0 G/L ; lymphocytes : 1,4 G/L ;
– sodium : 140 mMol/L ; potassium : 3,8 mMol/L ; créatinine sanguine 65 mmol/L ; bilan hépatique normal : albumine : 31 g/L ;
– TP = 90 % ; ratio TCA : 1,0.
Vous envisagez le traitement standard, à savoir une chimiothérapie comprenant du cisplatine et de la gemcitabine. L’alternative est un essai thérapeutique de phase III en double aveugle comparant une immunothérapie anti-PD-L1 (ayant démontré un allongement de la survie sans progression en phase II), au traitement de référence, avec possibilité de cross-over dans le bras contrôle en cas de progression. M. F. est éligible pour cet essai.
Question n°12 : À propos de cet essai de phase III 
Seuls les établissements ayant conclu un accord avec le promoteur de l’étude et formé des investigateurs peuvent réaliser cet essai
Il existe un bras contrôle, le patient peut recevoir soit le bras contrôle, soit le bras expérimental
Non, c’est un essai en double aveugle
L’immunothérapie est a priori efficace d’après les données de la phase II, dans les deux bras le patient reçoit un traitement efficace avec possibilité de cross-over à progression (changement de bras)
M. F. signe le consentement et débute son traitement selon le protocole.
Vous le revoyez après 2 cures réalisées en hospitalisation de 2 jours. M. F. est rentré chez lui depuis 10 jours. Il présente depuis 48 heures une dyspnée d’aggravation progressive, associée à des arthralgies au niveau des poignets et des épaules, d’horaire inflammatoire.
Les paramètres vitaux sont les suivants : TA : 145/85 ; FC : 110 bpm ; SaO2 : 90 % en air ambiant ; FR = 25/min ; T° = 38,2 °C.
L’auscultation cardiaque est sans particularité en dehors d’une tachycardie, l’auscultation pulmonaire retrouve une diminution du murmure vésiculaire en base droite associée à des crépitants prédominant à gauche. Les vibrations vocales sont amplifiées en base droite et il existe une matité de la base droite.
L’abdomen est souple et indolore, le transit est normal, il n’y a pas d’œdème des membres inférieurs, pas de signes droits, le poids est inchangé.
Le bilan biologique est le suivant :
– hémoglobine : 12 g/dL ; VGM : 90 fL ; plaquettes : 215 G/L ; leucocytes : 12,5 G/L dont PNN 10,9 G/L ; lymphocytes : 1,5 G/L.
– sodium : 140 mMol/L ; potassium 3,8 mMol/L ; créatinine sanguine : 70 mmol/L ; bilan hépatique normal ; albumine : 36 g/L.
– CRP = 70 mg/L;
– TP = 90 %, ratio TCA = 1,0.
Question n°13 : Vous envisagez comme hypothèses diagnostiques 
Matité de la base droite incompatible avec ce diagnostic
Présence d’un syndrome pleural de la base droite, « liquidien » (matité)
Peu probable devant la normalité de l’examen abdominal
À évoquer systématiquement chez un patient potentiellement sous immunothérapie, a fortiori sous anti-PD1, d’autant plus que les arthralgies apparues de façon concomitantes orientent vers une origine dysimmunitaire
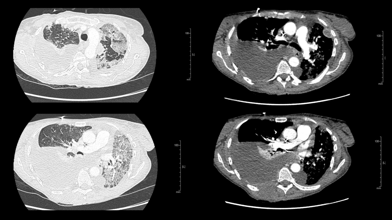
Voici les résultats du scanner que vous avez réalisé en urgence.
Question n°14 : À ce stade de la démarche diagnostique, vous envisagez comme hypothèse(s) 
Possible lymphangite carcinomateuse et pleurésie maligne
Absence de defect endoluminal des artères pulmonaires proximales
Pathologie du sujet immunodéprimé et lymphopénique, ce qui n’est pas le cas de ce patient
Vous faites réaliser un lavage bronchiolo-alvéolaire en urgence qui retrouve une cellularité augmentée. La formule est composée de 60 % de macrophages, 3 % de cellules bronchiques, 25 % de lymphocytes et 12 % de polynucléaires neutrophiles. L’examen bactériologique direct est négatif, les cultures sont en cours ainsi que les antigénuries légionelle et pneumocoque.
Question n°15 : Dans l’attente des résultats, vous prescrivez 
Pneumopathie hypoxémiante avec pleurésie controlatérale, indication formelle à une hospitalisation
Patient non insuffisant respiratoire, pas de bronchopneumopathie bronchique obstructive (BPCO) connue
Non indiqué, absence d’embolie pulmonaire
Indiquée devant l’hypothèse d’une pneumopathie liée à l’immunothérapie symptomatique
Patient allergique à la pénicilline, la tazocilline est donc contre-indiquée, on préfèrera une antibiothérapie probabiliste par fluoroquinolone antipneumococcique de type lévofloxacine IV en attendant les résultats de la culture à partir du lavage broncho-alvéolaire (LBA) [+ antigénuries] qui ne permet pas à ce stade d’éliminer une pneumonie communautaire

Exercez-vous aux ECN avec les dossiers progressifs et les LCA de La Revue du Praticien