Vous recevez à votre consultation Mme S., âgée de 27 ans, pour des difficultés à la marche qui évoluent depuis deux semaines. Elle se plaint d’un engourdissement de la jambe et du bras gauche avec la sensation de marcher sur du coton au niveau du pied gauche. Elle a l’impression que sa jambe gauche ne la porte plus et elle trébuche souvent si elle marche plus de 500 mètres. La veille, elle s’est brûlée à la main droite en faisant la vaisselle. Vous ne retrouvez pas de facteur déclenchant à l’interrogatoire mais elle vous rapporte qu’elle avait présenté, il y a un an et demi, quelques semaines après son accouchement, un épisode de vision double avec un tremblement de son œil gauche quand elle regardait à gauche. Cet épisode avait duré environ deux semaines puis tout était rentré dans l’ordre spontanément avant qu’elle ait le temps de consulter son médecin traitant.

Elle est mariée, mère d’une petite fille de 18 mois, et travaille à temps plein en tant qu’agent immobilier.
Question 1 : Vous débutez l’examen physique de votre patiente. Lorsque vous dessinez un cercle ou une croix sur sa peau ou que vous tracez des lettres avec la pointe mousse de votre marteau à réflexes, Mme S. n’est pas capable de différencier le cercle de la croix ni d’identifier les lettres dessinées sur sa jambe et son bras gauche. Elle présente donc 
La sensibilité épicritique appartient au système lemniscal et correspond au tact fin. Elle est caractérisée par la capacité de discrimination de deux points distincts par les récepteurs cutanés. Les axones des nerfs périphériques épicritiques sont myélinisés, leurs noyaux sont situés dans le ganglion rachidien postérieur et cheminent ensuite par les cordons postérieurs de la moelle. Les fibres décussent au niveau du tronc cérébral pour faire relais avec le noyau du troisième neurone dans le thalamus qui conduit l’influx nerveux jusqu’au cortex cérébral sensitif pariétal.
Alors que Mme S. est allongée sur le brancard, vous déplacez son gros orteil vers le plafond ou vers le sol en lui demandant de deviner les yeux fermés la position dans laquelle vous placez son gros orteil. Elle n’est pas capable de deviner la position de son gros orteil gauche mais n’a aucun problème pour identifier la position de son gros orteil droit.
Question 2 : Vous en déduisez qu’elle présente 
La sensibilité proprioceptive appartient au système lemniscal et correspond à la sensibilité profonde. Elle est caractérisée par la capacité à identifier le sens de position d’un segment de membre dans l’espace (arthrokinésie) et le sens vibratoire (pallesthésie) qui est évalué à l’aide d’un diapason. Les axones des nerfs périphériques proprioceptifs sont très myélinisés, d’où leur atteinte fréquente dans les pathologies périphériques démyélinisantes comme le syndrome de Guillain-Barré. Leurs fibres partent des récepteurs de fuseaux neuromusculaires, des récepteurs tendineux à la pression (organes tendineux de Golgi) et du derme. Le chemin suivi est ensuite identique à celui de la sensibilité épicritique avec le noyau du premier neurone situé dans le ganglion rachidien postérieur, les cordons postérieurs de la moelle, la décussation des fibres au niveau du tronc cérébral et enfin le relais avec le noyau du troisième neurone dans le thalamus qui conduit l’influx nerveux jusqu’au cortex cérébral sensitif pariétal.
Vous lui posez alors un tube d’eau froide et un tube d’eau chaude sur la peau. Elle n’est pas capable d’identifier la différence entre le tube chaud et le tube froid au niveau de la jambe et du bras droit.
Question 3 : Elle présente donc également 
La sensibilité thermo-algique appartient au système extralemniscal et correspond à la sensibilité à la température et à la douleur. Les axones des nerfs périphériques thermo-algiques sont des fibres de petit calibre non entourées de myélines (dites « amyéliniques »). Leurs noyaux sont situés dans le ganglion rachidien postérieur et elles font relais avec le deuxième neurone situé dans la corne postérieure controlatérale de la moelle. Les fibres du deuxième neurone croisent alors la ligne médiane à l’étage médullaire correspondant pour former le faisceau spinothalamique situé à la partie antérolatérale de la moelle épinière. Le noyau du troisième neurone est encore situé dans le thalamus et conduit l’influx nerveux jusqu’au cortex cérébral sensitif pariétal
Enfin, lorsque vous lui demandez de maintenir les deux jambes en l’air de manière concomitante les yeux fermés, la jambe gauche chute légèrement sans atteindre le plan du lit, et sa main gauche se creuse puis chute lorsque vous lui demandez de maintenir ses deux mains en l’air. Les réflexes ostéotendineux vous semblent plus vifs sur l’hémicorps gauche qu’à droite et le réflexe cutané-plantaire gauche est en extension. L’examen moteur de la face est normal.
Question 4 : Cette atteinte correspond à 
Il s’agit d’un syndrome pyramidal gauche, c’est-à-dire un déficit moteur d’origine neurologique centrale, puisque les réflexes ostéotendineux sont vifs et qu’il existe un signe de Babinski à gauche. Puisque l’atteinte est hémicorporelle mais épargne la face, le siège de l’atteinte est médullaire (atteinte du faisceau pyramidal situé à la partie latérale de la moelle) et non pas hémisphérique (sustentorielle).
Question 5 : Quel est votre diagnostic syndromique ?
Syndrome de Brown-Séquard gauche : association d’une atteinte cordonale postérieure et pyramidale du côté gauche avec une atteinte extralemniscale de l’autre côté (droit).
Atteinte pyramidale motrice/déficit hémicorps gauche.
Atteinte lemniscale à gauche : déficit épicritique et proprioceptif.
Atteinte extralemniscale à droite : déficit thermo-algique.
Attention ! si la patiente était fébrile, le premier diagnostic à évoquer serait celui de méningo-encéphalite infectieuse.
Le syndrome de la queue de cheval est responsable d’une atteinte pluriradiculaire (neurologique périphérique avec une diminution ou abolition des réflexes ostéotendineux) des deux membres inférieurs asymétrique.
Le syndrome de sclérose combinée de la moelle donne un tableau syndromique associant une atteinte cordonale postérieure bilatérale avec un syndrome pyramidal bilatéral.
Le syndrome de syringomyélie entraîne un déficit de la sensibilité thermo-algique isolée bilatéral.
Le syndrome de sclérose latérale amyotrophique associe un syndrome pyramidal et une atteinte neurologique périphérique caractérisée par une déficit moteur avec une amyotrophie et des fasciculations secondaires à l’atteinte de la corne antérieure de la moelle.
Question 6 : Le neurologue de garde est venu examiner Mme S. pour vous donner son avis et lui a parlé de la réalisation d’une ponction lombaire. Cependant vous lui expliquez que vous n’allez pas réaliser une ponction lombaire dans l’immédiat car :
Devant une suspicion d’atteinte médullaire, le premier examen à réaliser est une imagerie médullaire (idéalement une imagerie par résonance magnétique [IRM]) afin d’éliminer une compression médullaire qui constitue une urgence de prise en charge chirurgicale. De plus, en cas de compression médullaire, la ponction lombaire peut être responsable d’une décompensation brutale et aggraver le tableau clinique.
Vous réalisez donc une IRM médullaire centrée sur l’étage cervical dont est extrait le cliché suivant :
Question 7 : Quelles sont vos conclusions ?
Il s’agit d’un cliché d’IRM médullaire en séquence T1 avec injection de gadolinium.
La séquence FLAIR est utilisée pour l’IRM cérébrale et non pas pour l’IRM médullaire.
Les séquences utilisées en pondération T2 pour les IRM médullaires sont : le T2 simple, le T2 STIR (inversion, récupération) et le T2 FATSAT (saturation de graisse).
T1 : LCR noir, lésion en hyposignal.
T1 avec injection de gadolinium : LCR noir + prise de contraste de la lésion (en hypersignal) si l’inflammation est active, ce qui signifie qu’il existe une rupture de la barrière hématoméningée.
T2 : LCR blanc, graisse blanche, lésion en hypersignal.
T2 STIR : LCR blanc, graisse grise, lésion en hypersignal.
T2 FAT SAT : LCR blanc, graisse grise, lésion en hypersignal.
Il n’existe pas de malformation d’Arnold-Chiari.
L’IRM médullaire vous a permis d’éliminer une compression médullaire et Mme S. est hospitalisée dans le service de neurologie. Vous réalisez une ponction lombaire qui met en évidence : 7 éléments/mm3 lymphocytaires, 0 hématie, une protéinorachie à 0,45 g/L et une glycorachie normale. Les PCR virales et les recherches bactériennes sont négatives. La recherche de bandes oligoclonales est encore en cours.
Question 8 : Vous pouvez donc en déduire que Mme S. présente probablement 
Maintenant que l’IRM médullaire a permis d’éliminer une compression médullaire, l’examen essentiel devant cette lésion évocatrice de « myélite » (inflammation de la moelle) est la ponction lombaire avec analyse du liquide céphalorachidien. En effet, les deux hypothèses principales à évoquer sont une myélite inflammatoire ou une myélite infectieuse. Seule la ponction lombaire permettra d’éliminer un processus infectieux (méningomyélite de Lyme ou myélite virale) par la mise en évidence d’une méningite (réaction leucocytaire avec augmentation du nombre de globules blancs [éléments] dans le LCR) puis par le résultat des PCR virales et bactériennes.
Le traitement de la myélite inflammatoire reposant sur des corticoïdes intraveineux, il est indispensable d’éliminer tout processus infectieux avant de débuter ce traitement.
Une fois un processus infectieux éliminé (pas d’hypercellularité dans le LCR), le diagnostic sera celui de myélite inflammatoire et l’étape suivante reposera alors sur la réalisation d’une IRM cérébrale à la recherche d’autres lésions inflammatoires afin de savoir si cette myélite est isolée ou s’intègre dans le cadre d’une sclérose en plaques.
Vous retenez le diagnostic de myélite inflammatoire et débutez un traitement par bolus de corticoïdes intraveineux.
Question 9 : Avant de débuter ce traitement vous avez pris les précautions suivantes 
L’analyse du LCR a éliminé une myélite infectieuse et autorise à débuter un traitement par corticoïdes intraveineux à forte dose.
Toute première cure de corticoïdes se fera au cours d’une courte hospitalisation selon les modalités suivantes :
– corticothérapie/méthylprednisolone intraveineuse, fortes doses/bolus/1 g/j ;
– sa durée est de 3 à 5 jours mais plutôt 5 jours pour les atteintes médullaires qui sont plus sévères.
Elle sera systématiquement précédée d’un bilan préthérapeutique pour s’assurer l’absence de contre-indications comportant :
– un électrocardiogramme (ECG) [éliminer une coronaropathie, tachycardie] ;
– un ionogramme sanguin (éliminer une hypokaliémie) ;
– une glycémie (éliminer un diabète) ;
– un ECBU chez les patients atteints de sclérose en plaques qui ont fréquemment des infections urinaires asymptomatiques secondaires à leur vessie neurologique, d’autant plus chez cette patiente qui présente une atteinte médullaire.
Elle sera systématiquement accompagnée de mesures associées avec une supplémentation potassique, des inhibiteurs de la pompe à protons ainsi que des hypnotiques si nécessaires.
Le but est de réduire la durée de la poussée = accélérer la récupération des symptômes.
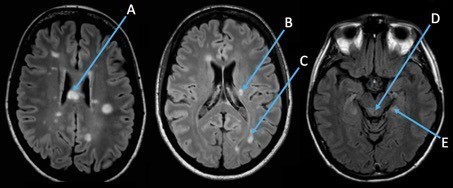
Afin de compléter votre bilan étiologique vous réalisez l’IRM cérébrale suivante :
Question 10 : Indiquez les items vrais 
Le cliché correspond à une IRM cérébrale en séquence FLAIR. La séquence FLAIR correspond à une séquence T2 (la substance blanche est grise et la substance grise est blanche [par opposé au T1 qui est une séquence plus anatomique avec la substance blanche qui est blanche et la substance grise qui est grise]) avec annulation du signal des molécules d’eau (donc du LCR). Les liquides (et donc le LCR) apparaissent donc noirs sur le FLAIR et non pas blancs à la différence du T2. Cette séquence est très utile pour identifier les lésions périventriculaires de la sclérose en plaques. Elle permet ici d’identifier plusieurs lésions périventriculaires et juxta-corticales, donc dans 2 territoires différents. Seule l’IRM cérébrale en séquence T1 avec injection de gadolinium peut dire si les lésions sont d’âges différents (les lésions récentes se rehaussent après injection de gadolinium).
Question 11 : Dans le contexte actuel, quel est le diagnostic le plus probable pour l’épisode de diplopie survenu un an et demi auparavant ? 
Les deux atteintes les plus fréquentes dans la sclérose en plaques sont :
– la névrite optique rétrobulbaire qui se manifeste par une baisse de vision monoculaire : le patient rapporte donc qu’il voit mal d’un œil ;
– et l’ophtalmoplégie internucléaire qui se manifeste par une diplopie binoculaire horizontale ; le patient rapporte alors voir double, une image à côté de l’autre lorsqu’il a les deux yeux ouverts mais la diplopie disparaît s’il ferme un œil quel que soit l’œil fermé.
Les autres causes de diplopie dans la sclérose en plaques sont plus rares et peuvent être liées à une atteinte isolée du VI ou du III.
L’ophtalmoplégie internucléaire est liée à l’atteinte du faisceau longitudinal médian qui relie le noyau du VI au noyau du III dans le tronc cérébral. Elle est responsable d’une déconjugaison des yeux dans le regard latéral. En effet, le noyau du VI (par exemple gauche) situé dans le pont envoie des fibres en direction du muscle droit latéral de l’œil homolatéral (gauche) et des fibres en direction du noyau du III controlatéral (droit), qui cheminent dans le pont via le faisceau longitudinal médian, et qui vont participer à la commande du muscle droit médial de l’œil droit (l’autre partie de la commande de ce muscle étant assurée par le nerf III droit). Une atteinte des fibres issues du noyau du VI dans le faisceau longitudinal médian (ou bandelette longitudinale médiane) va donc entraîner un défaut d’adduction de l’œil droit qu’on pourra différencier d’une atteinte du III droit car la convergence (sous la dépendance de la commande du muscle droit médial droit par le nerf III droit) sera conservée. En réaction à cette insuffisance de réponse du droit médial à la stimulation, le noyau du VI envoie un influx nerveux plus fort qui va sur-stimuler le muscle droit latéral gauche (l’influx est envoyé aux 2 faisceaux de fibres partant du noyau du VI) et entraîner un nystagmus de l’œil gauche dans le regard latéral gauche.
Ceci explique l’atteinte retrouvée dans une ophtalmoplégie par exemple droite secondaire à l’atteinte du faisceau longitudinal médian droit avec dans le regard latéral droit :
– un déficit de l’adduction droit (homolatéral à la lésion) ;
– un nystagmus de l’œil abducteur (gauche) ;
– un respect de la convergence qui permet de la distinguer d’une atteinte du III.
Il peut persister un nystagmus séquellaire comme chez cette patiente.
Question 12 : Parmi les lésions présentes sur son IRM cérébrale en séquence FLAIR, quelle est celle responsable de la diplopie survenue il y a un an et demi ?
L’ophtalmoplégie internucléaire droite est liée à une atteinte du faisceau longitudinal médian droit dans le tronc cérébral et correspond donc à la lésion D.
La lésion A correspond à une lésion située dans le corps calleux qui est le plus souvent asymptomatique mais peut donner des syndromes de déconnexions du corps calleux.
La lésion B est une lésion périventriculaire.
La lésion C est une lésion juxta-corticale occipitale qui peut être responsable d’une hémianopsie latérale homonyme droite.
La lésion E est une lésion juxta-corticale temporale interne qui peut entrainer des troubles de la mémoire.
Les symptômes de Mme S. s’améliorent nettement grâce au traitement par bolus de corticoïdes.
Question 13 : Compte tenu de l’ensemble des éléments de son dossier clinique et des examens complémentaires dont vous disposez, vous pouvez :
Le diagnostic de sclérose en plaques repose sur l’association d’une dissémination temporelle et d’une dissémination spatiale.
Ici, si l’on associe la clinique aux données des IRM cérébrale et médullaire, on dispose des critères de dissémination spatiale et de dissémination temporelle nécessaires pour affirmer le diagnostic de sclérose en plaques.
Le diagnostic de sclérose en plaques repose sur l’association d’une dissémination temporelle et d’une dissémination spatiale, chacun d’entre eux pouvant être rempli soit de manière clinique, soit grâce à l’IRM cérébrale et/ou médullaire (selon les critères de McDonald révisés en 2010).
• Dissémination spatiale : il faut plusieurs atteintes du système nerveux central, soit cliniques, soit à l’IRM :
– clinique ³ : 2 atteintes cliniques objectives dans des territoires différents ;
– IRM : au moins 2 lésions réparties dans au moins 2 territoires différents (parmi les 4 définis par les critères de McDonald).
• Dissémination temporelle : plusieurs atteintes dans le temps, à des instants t différents (et donc forcément dans l’espace aussi) :
– clinique : ³ 2 épisodes neurologiques rapportés à l’interrogatoire (avec ou sans anomalies objectives à l’examen neurologique) ;
– IRM :
- une prise de contraste pour certaines lésions et pas pour d’autres sur l’IRM initiale en séquence T1 avec injection de gadolinium ;
- ou l’apparition d’une nouvelle lésion sur la séquence T2 ou FLAIR et/ou une nouvelle lésion prenant le produit de contraste sur une IRM à distance de l’IRM initiale.
L’imagerie médullaire est donc utile pour aider à remplir le critère de dissémination spatiale (rechercher plus de lésions) s’il n’existe pas assez de lésions sur l’IRM cérébrale.
Les critères de McDonald (2010) permettent de poser le diagnostic de sclérose en plaques dès la première poussée (un seul événement clinique ne permettant donc de remplir ni la dissémination spatiale ni la dissémination temporelle) en s’aidant de l’IRM cérébrale.
Le diagnostic de sclérose en plaques peut ainsi être établi dès la première poussée à condition d’avoir :
– une dissémination spatiale définie par la présence d’au moins 2 lésions dans au moins 2 territoires différents (parmi 4 territoires d’intérêt : périventriculaire, juxta-cortical, sous-tentoriel [= cervelet et tronc basilaire] ou médullaire) ;
– et une dissémination temporelle définie par des lésions d'âges différents objectivées par :
- une prise de contraste pour certaines et pas pour d’autres sur l’IRM initiale en séquence T1 avec injection de gadolinium ;
- ou l’apparition d’une nouvelle lésion sur la séquence T2 ou FLAIR et/ou une nouvelle lésion prenant le produit de contraste sur une IRM à distance de l’IRM initiale.
Vous revoyez Mme S. en consultation de suivi cinq ans plus tard. Sa sclérose en plaques est bien contrôlée grâce à un traitement par interféron bêta sous-cutané. Elle n’a présenté dans l’intervalle qu’un épisode de névrite optique rétrobulbaire droite il y a un an, sans nouvelles lésions sur son IRM cérébrale. Elle vous rapporte avoir présenté à plusieurs reprises au cours de l’année qui a suivi des épisodes de récidive de la baisse de vision de son œil gauche qui ont régressé spontanément en moins de vingt-quatre heures à chaque fois. Le dernier épisode date du mois dernier lors d’un gros rhume qu’elle avait attrapé à cause de la climatisation trop forte dans son bureau. Elle est inquiète car elle craint que sa sclérose en plaques soit devenue très active.
Question 14 : Quels éléments de l’énoncé ne sont pas évocateurs de nouveaux épisodes de névrite optique rétrobulbaire gauche ?
Les épisodes présentés par la patiente correspondent à ce que l’on appelle le phénomène d’Uhthoff. Il s’agit d’une aggravation des troubles ou la réapparition de symptômes de poussées antérieures à l’occasion d’épisodes de chaleur ou d’efforts physiques. Le mécanisme supposé est celui d’un bloc de conduction favorisé par la chaleur, lié à la sensibilité des fibres de myéline à la chaleur.
Une poussée de sclérose en plaques est définie par l’apparition d’un nouveau symptôme neurologique persistant plus de vingt-quatre heures en l’absence de fièvre ou d’élévation de la température corporelle.
Le phénomène d’Uhthoff dure toujours moins de vingt-quatre heures, ce qui permet de faire la différence entre une poussée déclenchée par un épisode fébrile et un phénomène d’Uhthoff.
Question 15 : Quel est alors votre diagnostic alternatif ?

Exercez-vous aux ECN avec les dossiers progressifs et les LCA de La Revue du Praticien