Vous recevez en consultation une femme de 32 ans, pour otalgie gauche depuis environ deux semaines.

Elle est apyrétique et n’a pas d’antécédents particuliers en dehors d’un tabagisme (5 cigarettes par jour depuis 15 ans).
Question 1 : Vous examinez le tympan gauche. Que pouvez-vous dire de ce tympan ?
Le tympan n’est pas bombant et le relief des osselets est conservé
Le tympan est légèrement transparent. Il n’est pas épaissi/grisâtre (fine lame liquidienne) et on ne voit pas de niveau hydro-aérique ou de bulle
Le tympan est continu sur toute la surface
Le tympan est continu, le fond de caisse n’est pas moulé
Rappel sur le tympan normal : le tympan est quasiment transparent avec le marteau bien visible et bien moulé. Le triangle lumineux (reflet de la lumière) est visible dans le quadrant antéro-inférieur. Le tympan n’est pas bombant mais tendu (pars tensa), de façon radiaire à partir de l’extrémité du manche du marteau. La pars flascida est la partie du tympan immédiatement au-dessus de l’apophyse externe du marteau.
Question 2 : Compte tenu de cette otoscopie et des symptômes, quels diagnostics sont possibles ?
Le tympan est normal, et une otite chronique ne donne pas de douleur (sauf infection)
Donne plutôt une otite séromuqueuse en bouchant la trompe d’Eustache
Localisation typique de l’otalgie réflexe, en stimulant les fibres sensitives du IX
Moins typique, mais va aussi stimuler le IX (surtout base de langue et bord de langue)
Possible en cas de reflux important avec irritation du pharynx
Nous sommes vraisemblablement dans ce cas devant une otalgie réflexe avec tympan normal. Le réflexe important ici est de penser au cancer d’autant plus que la patiente fume !
Question 3 : Lors de la poursuite de votre examen clinique, quels examens doivent-être réalisés ?
Il n’y a aucun argument pour une otite séromuqueuse dans ce cas (tympan normal et pas de symptômes en faveur)
Fondamental, pour rechercher une cause d’otalgie réflexe : examen pharyngé et laryngé
Impossible ici, car uniquement sous anesthésie générale
Fondamental pour bien examiner la langue et les amygdales
Recherche de ganglions à faire
L’importance ici est de rechercher un cancer des voies aérodigestives supérieures (VADS). Le seul moyen de tout examiner est de faire un examen de la cavité buccale, puis de la filière pharyngolaryngée avec la nasofibroscopie. La pan-endoscopie aura sa place plus tard en cas de suspicion de cancer, mais se fait uniquement sous anesthésie générale.
Vous concluez à une otalgie réflexe devant ce tympan normal. Vous poursuivez l’interrogatoire de la patiente qui présente depuis quelques semaines un pyrosis plusieurs fois par semaine le soir en se couchant. Vous faites une nasofibroscopie, qui montre quelques signes indirects d’un reflux gastro-œsophagien (irritation des aryténoïdes et de la bouche œsophagienne). L’examen par nasofibroscopie est par ailleurs normal.
Question 4 : Que proposez-vous concernant la suspicion de reflux ?
Pas dans ce cas de figure avec un pyrosis typique associé des lésions typiques à la nasofibroscopie
Se ferait en deuxième intention après la gastroscopie, donc non indiqué à ce stade
Traitement de première intention pour un RGO typique avec une fréquence > 1 fois/semaine
Ici le reflux est typique, chez une patiente 50 ans, donc pas d’indication d’autres examens
La consommation de tabac augmente l’acidité gastrique et est un facteur de risque de RGO
Le RGO est un motif de consultation très fréquent en ORL, surtout pour des atteintes typiques mais aussi atypiques avec toux chronique ou otalgie, pour réaliser une nasofibroscopie (organisation plus simple que la gastroscopie), pour faire le point sur l’hypopharynx. On recherche une irritation ou œdème de la paroi postérieure pharyngée, de la bouche de l’œsophage, de la moitié postérieure des aryténoïdes, voire de l’épiglotte, etc.
La patiente souhaite avoir de l’aide pour arrêter de fumer et notamment que vous lui prescriviez une cigarette électronique.
Question 5 : Que pouvez-vous proposer ?
Première chose à faire, et qui peut être réalisé par n’importe quel médecin
Peut être d’une grande aide, notamment pour lutter contre les phénomènes d’habitude
Classique, pour compenser la dépendance nicotinique
La cigarette électronique (avec ou sans nicotine) n’est pas un médicament et n’est pas vendue en pharmacie (elle n’a pas l’AMM et ne fait pas partie des produits que les pharmaciens peuvent vendre)
Le cas de la cigarette électronique est à connaître puisque c’est un phénomène nouveau et que la demande est importante auprès des patients. Pour le moment, ce n’est pas un médicament et ce n’est pas distribué en pharmacie. Elle peut cependant participer au sevrage, en diminuant la dose de nicotine progressivement. Attention ! elle participe en revanche activement au phénomène d’habitude (manipulation, etc.).
Le cas de la cigarette électronique est à connaître puisque c’est un phénomène nouveau et que la demande est importante auprès des patients. Pour le moment, ce n’est pas un médicament et ce n’est pas distribué en pharmacie. Elle peut cependant participer au sevrage, en diminuant la dose de nicotine progressivement. Attention ! elle participe en revanche activement au phénomène d’habitude (manipulation, etc.).
L’examen par nasofibroscopie est normal et vous proposez une surveillance. La patiente consulte de nouveau six mois plus tard devant une augmentation des symptômes.
Vous examinez la cavité buccale et constatez ceci à gauche sur le bord libre de la langue. À la palpation, vous constatez une masse dure

 
Question 6 : Comme évaluez-vous cette lésion ?
Il n’y a pas de perte de substance
On ne voit pas de nécrose, la tumeur est continue
Le volume de la tumeur dépasse de la surface de la langue
La lésion correspond à une masse lors de la palpation et donc s’étend en profondeur dans la langue
La muqueuse est rosée et non inflammatoire. Les cancers peuvent être inflammatoires avec du pus, des sécrétions sales et un aspect de muqueuse rouge.
On retrouve ici les caractéristiques principales des cancers des VADS. Une même tumeur peut être à la fois bourgeonnante et ulcéro-nécrotique. Typiquement, les cancers HPV-induits sont plutôt bourgeonnantes (voir ci-après). Les autres caractéristiques sont : saignantes au contact, indurées, friables, etc.
La biopsie que vous avez réalisée en consultation revient une semaine plus tard : carcinome épidermoïde. La palpation cervicale était normale, vous avez évalué cliniquement la taille de la lésion à 3 cm grand axe.
Question 7 : Quels examens complémentaires demandez-vous ?
Le scanner est indispensable pour vérifier l’absence d’invasion osseuse du cancer et aussi pour vérifier l’absence de ganglions profonds qui n’auraient pas été palpés pendant l’examen clinique
Cas de figure classique où l’IRM est indispensable, comme dans le bilan de toute lésion des tissus mous : palais, amygdale, langue, etc. Dans ces cas-là, le TDM sous-estime toujours l’extension de la tumeur
Pas indiquée avec les informations actuelles : a priori, pas d’atteinte ganglionnaire ni métastatique, et la tumeur n’est pas un T4
Examen non indiqué en systématique et uniquement pour faire des biopsies de lésions vues au scanner
Indispensable pour faire le bilan d’une extension à distance dans les poumons, ou d’un cancer métachrone pulmonaire (tabagisme)
Rappel sur le bilan à effectuer :
- systématiquement : TDM cervico-faciale et thoracique ;
- IRM s’il s’agit de tissus mous, TEP-scan si T4 ou atteinte à distance, fibroscopie gastrique si terrain alcoolique. La fibroscopie bronchique uniquement pour réaliser une biopsie bronchique sur point d’appel radiologique.
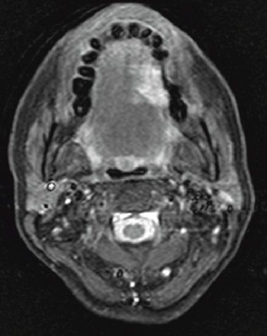
Voici l’un des examens que vous récupérez.

 
Question 8 : Que pouvez-vous dire à partir de cette coupe ?
La voie intraveineuse n’a pas sa place dans la prise en charge initiale
Le liquide céphalo-rachidien est en hypersignal
Les structures sont symétriques, pas de ganglions visibles sur cette coupe
La lésion ne passe pas la ligne médiane : on constate la lésion en hypersignal à gauche et qui ne dépasse pas la ligne médiane fibreuse en hyposignal. On peut en déduire qu’il y a a priori de faibles chances d’avoir des adénopathies controlatérales. Cela a des conséquences thérapeutiques, par exemple de discuter un curage cervical uniquement homolatéral à la lésion
On ne constate pas d’invasion osseuse sur cette coupe. Cette proposition est d’autant plus fausse que l’IRM ne permet pas d’étudier l’os convenablement. Il faudrait voir le scanner pour affirmer l’absence de lyse osseuse
C’est une séquence T2, les liquides sont en hypersignal (liquide céphalo-rachidien), c’est également la séquence où les lésions sont le plus souvent en hypersignal (par fréquence). Cette coupe montre la lésion du bord libre de la langue à gauche en hypersignal, qui ne passe pas la ligne médiane. On n’observe aucune autre anomalie (pas d’adénopathies).
Vous faites un examen sous anesthésie générale : une pan-endoscopie. En dehors de la lésion du bord de langue gauche, tout semble normal.

 
Question 9 : Vous constatez notamment les structures anatomiques suivantes, quelles sont-elles ?
Le cricoïde est un anneau circulaire cartilagineux sur lequel repose les deux cartilages aryténoïdes. En dessous du cricoïde commencent les anneaux trachéaux
Cartilage paire et symétrique, dont la mobilité assure le mouvement des cordes vocales
Glotte ou plan glottique : ce sont les cordes vocales
Deux cordes vocales normales, avec commissure antérieure
C’est la face postérieure de l’épiglotte. On peut la repérer car elle est juste en avant de la commissure antérieure des cordes vocales
L’anatomie du larynx est importante à connaître dans les grandes lignes. La glotte est un synonyme de plan glottique et de cordes vocales.
Vous arrivez à la réunion de concertation multidisciplinaire (RCP) pour discuter du traitement de la patiente. L’anatomopathologiste présent vous informe d’un complément à son compte-rendu : le cancer serait induit par le papillomavirus (HPV).
Question 10 : Quels éléments chez cette patiente auraient pu faire évoquer cette hypothèse ?
Le cancer des VADS classique survient plutôt chez l’homme
Le cancer des VADS classique survient plutôt vers 50-60 ans
Le risque de cancers des VADS classique existe dès qu’il y a consommation de tabac
Aucun rapport : plutôt les cancers de l’œsophage
Le HPV donne typiquement des cancers oropharyngés : amygdales +++
Les cancers oropharyngés HPV-induits sont de plus en plus à la mode car cela devient un problème de santé publique. Dans certains pays, des discussions sont en cours pour faire des campagnes de vaccination HPV pour les garçons également, pour les prévenir du risque de cancer oropharyngé. C’est en effet un enjeu crucial dans un contexte d’augmentation de la proportion de cancers oropharyngés induits par l’HPV. Le débat est ouvert entre les spécialistes de santé publique et les ORL. La première étape serait d’évaluer une différence d’incidence de ces cancers dans la population féminine ayant été vaccinée versus non vaccinée, mais un recul de plusieurs années sera nécessaire avant de conclure.
Typiquement, on retrouve deux stéréotypes pour les cancers épidermoïdes des VADS :
– HPV : adulte jeune sans intoxication alcoolo-tabagique ;
– alcoolo-tabagiques : homme, âge 55 ans, antécédents personnels ou familiaux de cancers ORL, faible niveau socio-économique.
La lésion est finalement classée T3N0M0.
Question 11 : Quels traitements peuvent être utilisés en traitement curatif dans les cancers de langue, et seront discutés pendant la RCP ?
Uniquement en soins palliatifs
Traitement classique sauf si trop mutilant, peut être associé à une chimiothérapie première
Traitement classique en adjuvant après la chirurgie
Traitement de choix dans certains cas où la mutilation chirurgicale serait trop lourde, ou en cas de refus de chirurgie par le patient : protocole de préservation d’organe
Proposé pour les tumeurs de petite taille seulement (et à distance des gencives)
Le traitement classique est celui de l’exérèse chirurgicale suivi d’une radiothérapie. Un traitement de préservation d’organe avec chimiothérapie et radiothérapie peut être proposé dans certains cas de figure, notamment celui-ci avec induction par HPV mais aussi lorsque les mutilations sont trop importantes.
Le protocole commence avec des cures de chimiothérapie. En cas de bonne réponse, le traitement est poursuivi par radio-chimiothérapie. En cas de mauvaise réponse, la solution chirurgicale est privilégiée pour un traitement curatif ; si c’est impossible, un traitement palliatif doit être envisagé.
Un traitement par radio-chimiothérapie est privilégié en RCP et accepté par la patiente. Un an après la fin du traitement, qui a été satisfaisant, la patiente consulte à nouveau.
Elle se plaint d’une douleur dentaire au niveau de la 16 depuis environ une semaine.
La douleur est plutôt pesante et profonde, elle ne décrit pas de douleur fulgurante ou à type de décharge. Elle n’est pas particulièrement sensible au froid même si elle l’a été il y a quelques mois.
Vous constatez un mauvais état bucco-dentaire, probablement dans les effets secondaires de la radiothérapie.
Question 12 : Quelles causes peuvent-être envisagées ?
La 16 est la molaire dans le cadrant supérieur droit, ce ne peut donc pas être une récidive
Douleur à type de décharge, très fréquent dans les suites de radiothérapie, mais ne correspond pas à la description clinique dans ce cas
Lésion indolore, étape précédant la carie de la dentine qui est plus douloureuse (sensibilité)
Rage de dent, douleur dentaire très importante, possible dans un état de délabrement dentaire dans les suites de la radiothérapie. On est dans ce cas plutôt dans un contexte chronique
Douleur plutôt profonde sur une dent dévitalisée, également dans un contexte de post-radiothérapie
La complication classique de radiothérapie, dans un champ d’irradiation buccal, est le délabrement dentaire. On peut voir toutes les complications, à commencer par la carie de l’émail, qui est indolore. En l’absence de traitement, celle-ci évolue vers une carie de la dentine (douleur provoquée par le froid), puis vers la pulpite (rage de dent, douleur permanente ou pulsatile). Lorsque la dent est détruite et dévitalisée, les bactéries peuvent migrer le long de la racine dentaire et se développer à l’apex dentaire, formant ainsi un kyste (ou granulome apical). D’autres atteintes gingivales peuvent être associées (cf. question 14). Dans tous les cas, une surveillance dentaire rapprochée est fondamentale. Les autres complications de la radiothérapie telles que névrites et ostéo-radionécrose doivent être surveillées également.
La patiente revient cinq jours plus tard avec un œdème de l’hémiface droite (principalement jugal et palpébral inférieur).
Elle apporte avec elle l’examen suivant, réalisé par son médecin traitant. Une petite masse fluctuante est palpée dans le vestibule supérieur droit.

 
Question 13 : Qu’en concluez-vous ?
On voit bien le granulome apical, et le sinus maxillaire qui est bien aéré immédiatement au-dessus. Ce n’est donc pas une sinusite aiguë
Le tableau clinique est typiquement évocateur d’une cellulite jugale. Ce tableau doit toujours faire rechercher une porte d’entrée dentaire des arcades supérieures
Le drainage est nécessaire dans ce contexte, puisqu’on palpe un abcès
Il faut également traiter par antibiotique après le drainage pour prendre en charge la cellulite
L’approche médico-chirurgicale est nécessaire
On se trouve ici dans le cas d’un réchauffement de foyer dentaire chronique. Le scanner montre bien le granulome apical (image hypodense autour de l’apex dentaire), et le tableau clinique est typique d’une infection dentaire supérieure. Comme tout abcès, le traitement est à la fois un drainage et une antibiothérapie. Ne pas oublier le soin dentaire dans les suites de l’épisode aigu pour éviter toute récidive.
À l’examen de contrôle un an plus tard, l’épisode infectieux a été définitivement guéri. Vous constatez en revanche deux dents mobiles : la 35 et la 36. Elle n’a pas de douleur.
Question 14 : Quelles causes évoquer ?
Première chose à évoquer devant une anomalie du même territoire que le cancer
Cette destruction osseuse, complication de la radiothérapie, est moins grave que la récidive de cancer, mais est tout de même une complication redoutable difficilement traitable, nécessitant parfois une exérèse osseuse et reconstruction
Typiquement, une douleur dentaire avec sensation de dent longue, et douleur aggravée à la percussion. Il n’y a pas de douleur dans ce cas
Cause la plus fréquente (souvent liée au tartre), mais aggravée par la radiothérapie
Équivalent de desmodontite chronique, qui est une altération progressive du ligament alvéolo-dentaire, indolore.
La récidive est bien sûr la chose à craindre ici, et les dents 35 et 36 correspondent au cadran inférieur gauche, et donc à celui de la tumeur.
La mobilité dentaire évoque sinon une parodontopathie, c’est-à-dire une pathologie du tissu conjonctif qui doit soutenir la dent : le parodonte.
Ceci peut également être secondaire à la radiothérapie, et apparaître dans les années qui suivent la fin du traitement.
Question 15 : Quels examens en première intention pouvez-vous réaliser pour orienter votre diagnostic ?
S’il n’y avait qu’un seul examen à faire, conserver celui-ci. La crainte majeure est la récidive, et seule la biopsie peut l’affirmer
Essentiel pour identifier une éventuelle ostéolyse responsable de la mobilité dentaire, et qui pourrait évoquer une récidive ou une ostéoradionécrose
N’a pas sa place ici en première intention car l’enjeu est plutôt osseux
N’a pas sa place alors que la récidive est encore hypothétique. On pourra y avoir recourt pour faire un nouveau bilan à distance si la récidive est prouvée (d’autant qu’avec une lyse osseuse la lésion sera classée T4)
Il n’y a pas de marqueur sanguin dans les cancers ORL
La récidive est le premier risque à évoquer lorsqu’on se trouve dans le même territoire que le cancer initial. Toujours être vigilant quel que soit l’aspect clinique ou radiologique, ne pas hésiter à multiplier les biopsies.
La biopsie est fondamentale pour essayer de différencier ostéoradionécrose et cancer, qui peuvent avoir le même aspect radiologique lacunaire.

Exercez-vous aux ECN avec les dossiers progressifs et les LCA de La Revue du Praticien