Une patiente de 72 ans se plaint d’un prurit anal depuis un an.
L’examen clinique révèle un placard érythémateux, bilatéral en « ailes de papillon », à contours irréguliers, discrètement squameux, avec des condylomes (fig. 1).
L’anuscopie et les aires ganglionnaires sont normales.

La maladie de Bowen, également appelée « néoplasie intra-épithéliale de haut grade (AIN III) » ou « dysplasie de haut grade » ou « carcinome in situ », a été décrite par John Templeton Bowen (1857-1940) en 1912. Elle est induite par des Papillomavirus humains oncogènes. Il s’agit d’une lésion précancéreuse. La description princeps concernait la fesse et le membre inférieur. La maladie a été ultérieurement décrite pour d’autres localisations. L’atteinte anale est rare, mais son incidence a augmenté, en particulier chez les hommes ayant des rapports sexuels avec des hommes infectés par le VIH ainsi que chez les patients immunodéprimés (greffés d’organe, par exemple).
Les symptômes d’appel sont non spécifiques : prurit, saignement, suintement… De surcroît, l’aspect est polymorphe et volontiers trompeur, avec des papules cutanées érythémateuses, des pseudopapillomes plus ou moins exophytiques et/ou des plaques kératosiques bistre ou rosées, uni- ou multifocales, susceptibles de s’étendre.
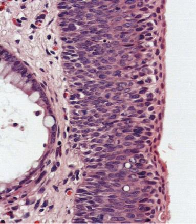
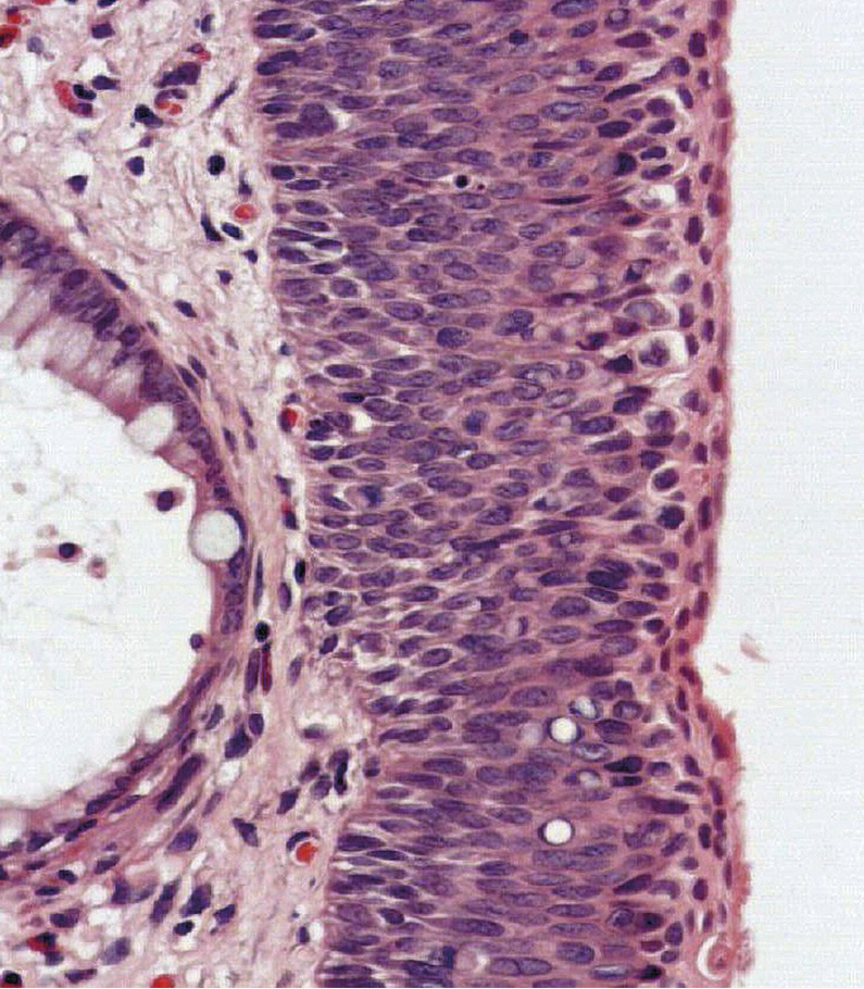
Les principaux diagnostics différentiels sont le psoriasis, l’eczéma, les mycoses ainsi que la maladie de Paget et la papulose bowenoïde. Le diagnostic est histologique (fig. 2).
Le traitement repose sur l’application de divers topiques (imiquimod notamment), l’électrocoagulation et l’exérèse chirurgicale. La surveillance est indispensable en raison du risque de récidive locale.

Cette fiche est la13e de la série « En 2021, parlons d’anus ». Retrouvez la série complète sur www.larevuedupraticien.fr, en allant sur ce lien : https://bit.ly/3qRyIMM
Références

Binda GA, Gagliardi G, Dal Conte I, et al. Practice parameters for the diagnosis and treatment of anal intraepithelial neoplasia (AIN) on behalf of the Italian Society of Colorectal Surgery (SICCR). Tech Coloproctol 2019;23:513-28.
Chittleborough T, Tapper R, Eglinton T, et al. Anal squamous intraepithelial lesions: an update and proposed management algorithm. Tech Coloproctol 2020;24:95-103.

Une question, un commentaire ?