Ce patient de 60 ans, tabagique (30 paquets-années), consulte pour un passage de liquide dans les fosses nasales lors des repas, persistant depuis un an, survenu à la suite d’une avulsion dentaire.
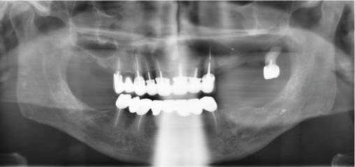
Le panoramique dentaire (fig. 1) met en évidence une solution de continuité de l’os alvéolaire au niveau de la dent 26 extraite. L’aspect est bourgeonnant (fig. 2). Un prélèvement histologique est effectué, qui montre une métaplasie malpighienne avec dysplasie de haut grade, sans infiltration du chorion, au niveau de la zone de jonction entre l’épithélium malpighien de surface et l’épithélium cylindrique cilié sinusien.
Le bilan d’extension étant négatif, la prise en charge a consisté en une maxillectomie partielle avec avulsion de la dent 27 (fig. 3).

La cavité orale est la première localisation du carcinome épidermoïde des voies aérodigestives supérieures, classé au sixième rang des cancers les plus fréquents en France.1 Il atteint souvent l’homme entre 45 et 70 ans.
Les principaux facteurs de risque sont la consommation de tabac et d’alcool.
Il a classiquement la forme d’une lésion ulcéro-bourgeonnante, indurée à la palpation.
Il survient, dans la plupart des cas, sur une muqueuse saine et, dans 20 % des cas, sur des lésions préexistantes (leucoplasie, érythroplasie, lichen plan oral, dysplasies de bas et haut grade).
Toute lésion suspecte doit conduire à une biopsie et un diag­nostic rapide.
La prise en charge est chirurgicale, associée à une radiothérapie et, dans certains cas, à une chimiothérapie. Le pronostic est mauvais, avec une survie à cinq ans de 43 %.2

Pour en savoir plus

1. Ferlay J, Steliarova-Foucher E, Lortet-Tieulent J, et al. Cancer incidence and mortality patterns in Europe: estimates for 40 countries in 2012. Eur J Cancer 2013;49(6):1374‑403.
2. Grosclaude P, Remontet L, Belot A. Survie des personnes atteintes de cancer en France 1989-2007 : étude à partir des registres des cancers du réseau Francim. Archive ouverte HAL [Internet, consulté le 11 avril 2021] 2013;978-2-11-131088-9. https://hal.archives-ouvertes.fr/hal-02087526/

Une question, un commentaire ?