Vous recevez aux urgences Mme K., 81 ans, pour une dyspnée d’installation rapide depuis la veille. Elle est autonome, n’a jamais fumé, et ses principaux antécédents comportent une cardiopathie hypertensive (hypertension artérielle ancienne actuellement bien contrôlée), un diabète de type 2 sous antidiabétiques oraux et une cholécystectomie il y a 5 ans.
Son traitement habituel comporte :
– metformine (Glucophage) ;
– glicazide (Diamicron) ;
– ramipril (Triatec) ;
– bisoprolol (Cardensiel) ;
– hydrochlorothiazide (Esidrex).
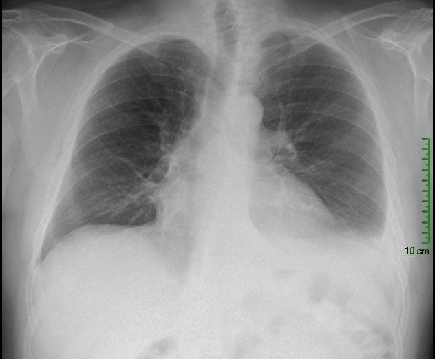
À l’examen clinique : pression artérielle 129/62 mmHg ; fréquence cardiaque 106/m ; SpO2 90 % en air ambiant ; température 37,6 °C ; fréquence respiratoire 26/m. Les bruits du cœur sont réguliers sans bruit surajouté, l’auscultation pulmonaire est claire, il n’y a pas de signes de détresse respiratoire aiguë, et l’examen neurologique est sans particularité.
L’ECG retrouve une tachycardie sinusale sans autre anomalie.
Son traitement habituel comporte :
– metformine (Glucophage) ;
– glicazide (Diamicron) ;
– ramipril (Triatec) ;
– bisoprolol (Cardensiel) ;
– hydrochlorothiazide (Esidrex).
À l’examen clinique : pression artérielle 129/62 mmHg ; fréquence cardiaque 106/m ; SpO2 90 % en air ambiant ; température 37,6 °C ; fréquence respiratoire 26/m. Les bruits du cœur sont réguliers sans bruit surajouté, l’auscultation pulmonaire est claire, il n’y a pas de signes de détresse respiratoire aiguë, et l’examen neurologique est sans particularité.
L’ECG retrouve une tachycardie sinusale sans autre anomalie.
Question 1 : À propos du tableau clinique présenté par la patiente, quelles propositions sont exactes ?
L’absence de crépitant rend ce diagnostic improbable (un œdème aigu du poumon [OAP] peut rarement avoir une auscultation normale initialement, mais ici la dyspnée évolue depuis plus de 24 heures).
Bien qu’un pneumothorax de faible/moyenne importance puisse être manqué à l’auscultation, le tableau de désaturation profonde présenté par la patiente ne serait compatible qu’avec un pneumothorax complet voire compressif, qui devrait être perçu à l’auscultation.
L’absence de sibilant rend ce diagnostic très improbable. En cas d’asthme aigu grave particulièrement sévère, ceux-ci peuvent manquer mais il s’agit dans ce cas d’un silence auscultatoire.
La tamponnade peut provoquer une dyspnée avec désaturation avec auscultation normale (en dehors de la tachycardie), le frottement péricardique étant assez inconstant et plus volontiers présent en cas d’épanchement de faible abondance.
Le tableau clinique comprend habituellement au premier plan des troubles digestifs et des céphalées, rarement une dyspnée ou une désaturation. En cas d’intoxication au CO, la saturation est souvent normale, mais la PO2 sera toutefois diminuée sur le gaz du sang.

