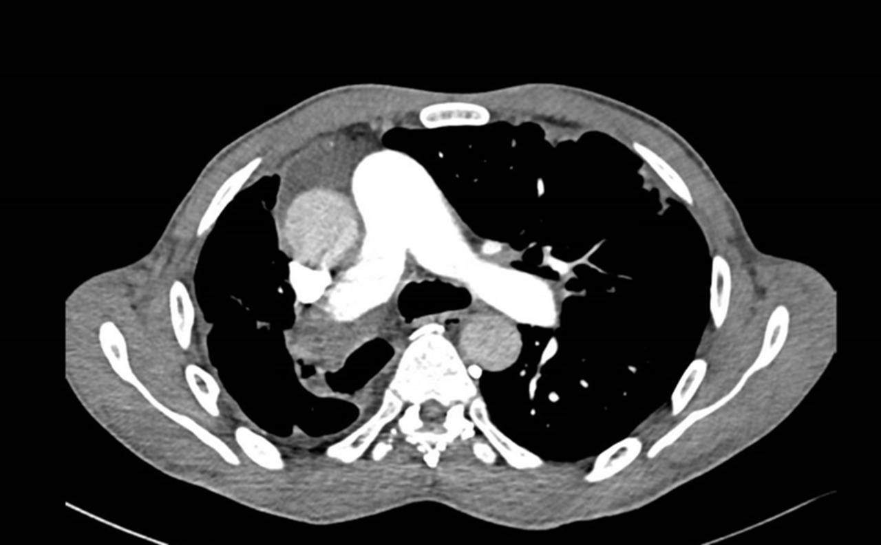
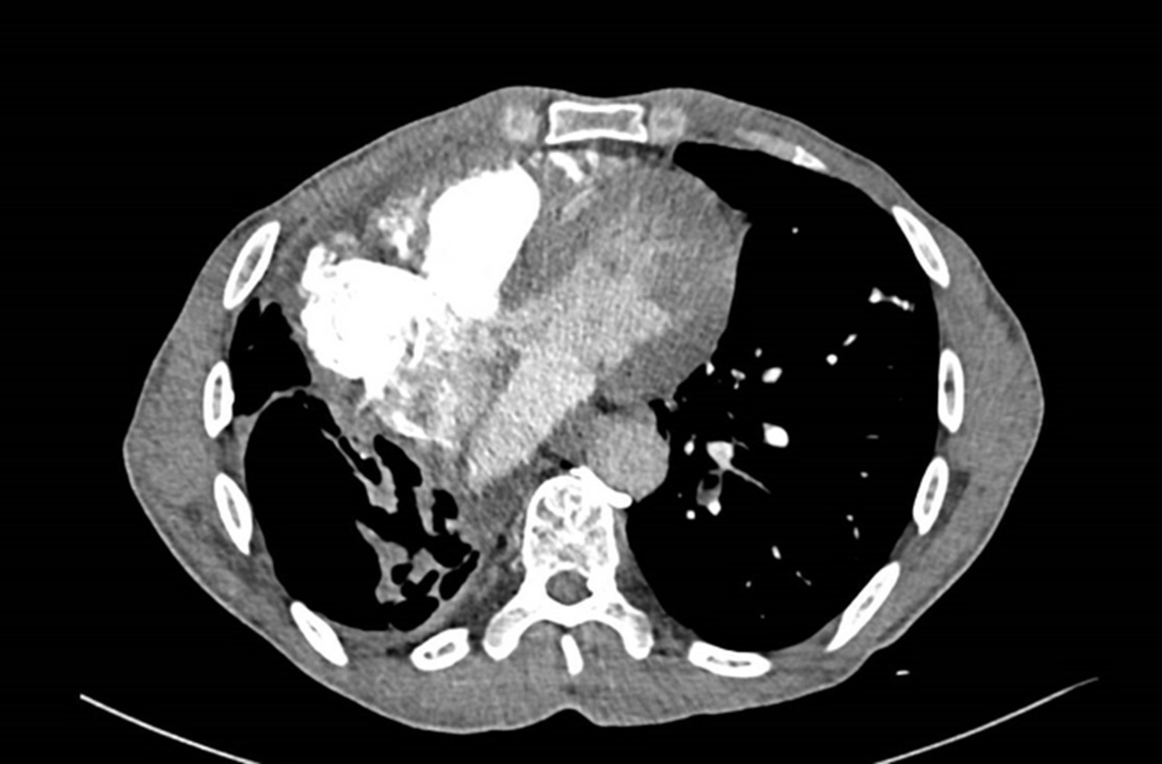
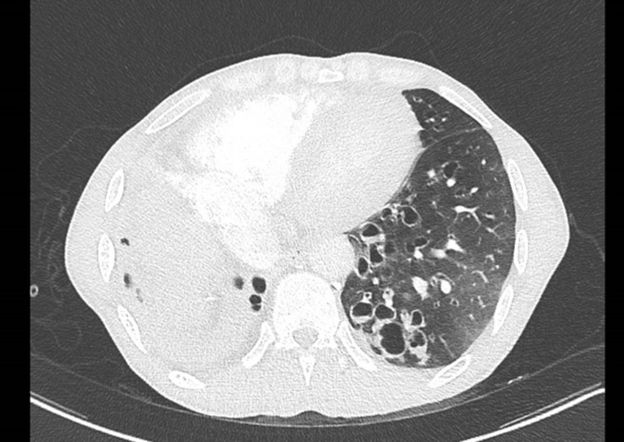
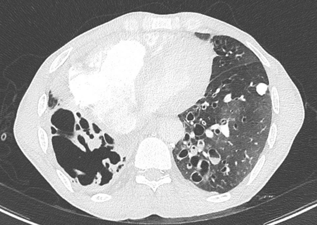
Vous êtes interne de garde aux urgences. Un patient de 71 ans est adressé par son médecin traitant pour dyspnée aiguë.
À l’arrivée, les constantes du patient sont : pression artérielle (PA) = 167/119 mmHg ; fréquence cardiaque (FC) = 114/min ; température (T) = 37,2 °C ; saturation en oxygène (SpO2) = 82 % en air ambiant ; fréquence respiratoire (FR) 30/min.
À l’arrivée, les constantes du patient sont : pression artérielle (PA) = 167/119 mmHg ; fréquence cardiaque (FC) = 114/min ; température (T) = 37,2 °C ; saturation en oxygène (SpO2) = 82 % en air ambiant ; fréquence respiratoire (FR) 30/min.
Question 1 - Parmi les éléments cliniques suivants, lequel (ou lesquels) vous orienterai(en)t vers une insuffisance cardiaque globale (une ou plusieurs réponses possibles) ?
Présence fréquente d’épanchement pleural en cas d’insuffisance cardiaque mais généralement indolore.
Signe d’hypercapnie aiguë non spécifique.
Signe d’insuffisance cardiaque droite.
Signe d’insuffisance cardiaque gauche.
Signe non spécifique.






– symptômes d’une thrombose veineuse profonde (+ 3 points) ;
– autres diagnostics envisagés moins probables que celui de l’embolie pulmonaire (+ 3 points) ;
– fréquence cardiaque > 100/min (+ 1,5 point) ;
– immobilisations ou chirurgie dans les 4 dernières semaines (+ 1,5 point) ;
– antécédent thromboembolique (+ 1,5 point) ;
– hémoptysie (+ 1 point) ;
– cancer (dans les 6 derniers mois) (+ 1 point).
Score de 0 à 3 : probabilité faible < 8 %.
Score intermédiaire entre 4 et 10 : probabilité de 28 %.
Score supérieur ou égal à 11 : probabilité forte de 74 %.