Vous voyez en consultation dans votre cabinet de ville M. H., 64 ans, pour la découverte d’une hypertension artérielle (HTA). Il a comme principal antécédent une hypertrophie bénigne de la prostate traitée par alfuzosine (Xatral).
La pression artérielle en position allongée est à 168/84 mmHg, la fréquence cardiaque à 76/m. Le reste de l’examen est sans particularité.
Question 1 : Sur quels principes fondez-vous votre prise en charge ?
L’alfuzosine peut provoquer des hypotensions orthostatiques (alpha-bloquant) mais non des hypertensions.
En dehors d’un contexte d’urgence, avant de débuter un traitement antihypertenseur, il est recommandé de :
- Confirmer le diagnostic, avec mesures tensionnelles en dehors du cabinet médical ;
- Mettre en place les mesures hygiéno-diététiques ;
- Réaliser un bilan initial ;
- Organiser une consultation d’information et d’annonce de l’HTA.
Ce régime est indiqué uniquement en cas d’insuffisance rénale chronique.
Un régime désodé strict est très difficile à suivre et est à réserver à des situations de surcharge hydrosodée importante.
Les autres mesures à mettre en place sont :
- réduire le poids en cas de surcharge pondérale ;
- réduire une consommation excessive d’alcool ;
- interrompre une intoxication tabagique.
Au cours du trimestre suivant, le patient reconsulte à plusieurs reprises avec des pressions artérielles > 140/90 mmHg. Il vous rapporte sa biologie :
Créatinine : 85 µmol/l ;
Potassium : 4,1 mmol/l ;
LDL cholesterol : 1,2 g/l ;
Glycémie à jeun : 1,1 g/l.
Question 3 : Quelle prise en charge proposez-vous dans l’immédiat ?
Un traitement médicamenteux est recommandé pour ce patient en échec des règles hygiéno-diététiques. Il n’y a en revanche pas d’indication à un traitement de la dyslipidémie (LDL-cholestérol normal pour un patient en prévention primaire) ni antidiabétique oral (il existe une intolérance au glucose pouvant en revanche bénéficier de mesures hygiéno-diététiques). La recherche d’un hyperaldostéronisme primitif n’est pas justifiée en l’absence d’hypokaliémie ou d’HTA résistante.
Vous souhaitez initier un traitement médicamenteux de l’HTA.
Question 4 : Parmi les classes médicamenteuses suivantes, laquelle (ou lesquelles) pouvez-vous proposer en première intention à ce patient ?
La SFHTA recommande de privilégier les cinq classes d’antihypertenseurs qui ont démontré une prévention des complications cardiovasculaires chez les hypertendus. Il s’agit des diurétiques thiazidiques, des antagonistes calciques, des inhibiteurs de l’enzyme de conversion (IEC) et des antagonistes des récepteurs à l’angiotensine 2 (ARA2).
Les bêtabloquants en font également partie mais apparaissent moins efficaces que les autres classes pour la prévention des accidents vasculaires cérébraux.
Vous décidez d’introduire un IEC. La créatinine à l’initiation du traitement était à 85 µmol/l et le potassium à 4, 1 mmol/l. Quinze jours plus tard, le patient vous reconsulte, sa prise de sang retrouve une créatinine à 104 µmol/l et un potassium à 4,5 mmol/l.
Question 5 : Quelle prise en charge proposez-vous pour le patient au vu des résultats ?
Une augmentation inférieure à 30 % de la créatinine est attendue en cas d’introduction ou d’augmentation de dose d’un IEC ou ARA2, ce qui est le cas ici. En cas d’augmentation supérieure, le traitement devra être interrompu ou au moins diminué. Il convient de toujours rechercher un autre facteur favorisant, comme une déshydratation, devant faire modifier ou arrêter le traitement.
Le patient ne revient pas aux consultations de suivi programmées, et vous le revoyez seulement cinq ans plus tard. Il a consulté un cardiologue qui souhaite reprendre son traitement qu’il avait interrompu.
Le patient vous montre l’électrocardiogramme (ECG) réalisé. Le compte-rendu de l’échographie transthoracique (ETT) retrouve une augmentation de la masse ventriculaire gauche indexée avec une hypertrophie concentrique du ventricule gauche (VG). Le reste de l’examen est sans particularité, la pression artérielle pulmonaire systolique (PAPS) est estimée à 20 mmHg. La créatinine est à 190 µmol/l.
Question 6 : Dans cette observation, quels éléments sont en faveur d’une cardiopathie hypertensive chez ce patient ?
L’indice est 35mm ici (SV1 + RV5) mais il s’agit d’un marqueur peu sensible.
Il s’agit du « strain pattern », trouble de la repolarisation avec ondes T négatives dans les dérivations où l’onde R est prédominante, en rapport avec l’hypertrophie ventriculaire gauche.
Il n’y a pas d’hypertension pulmonaire ici (PAPS >25 mmHg), et cet élément n’orienterait pas spécifiquement vers une cardiopathie hypertensive.
Une HTA chronique non ou mal traitée a un retentissement viscéral, la conséquence cardiaque est une cardiopathie hypertensive pouvant se traduire par une hypertrophie ventriculaire gauche (HVG) électrique (par exemple indice de Sokolow > 35 mm, troubles de la repolarisation en rapport avec l’HVG) et échographique (hypertrophie concentrique, augmentation de la masse indexée). Ces éléments laissent supposer que la dégradation de la fonction rénale est au moins en partie liée au retentissement viscéral de l’HTA.
Le patient consulte aux urgences quelques mois plus tard pour crampes et pollakiurie. La créatininémie est à 760 µmol/l, la natrémie à 127 mmol/l, la kaliémie à 5,2 mmol/l.
Le patient est apyrétique, l’auscultation cardiopulmonaire est sans particularité, vous palpez une voussure sus-pubienne mate à la percussion. La prostate est volumineuse au toucher rectal mais non suspecte.
Question 7 : Quelle prise en charge immédiate proposez-vous ?
Vous proposez une admission en réanimation pour une dialyse en urgence
La prise en charge est celle d’une insuffisance rénale obstructive sur un obstacle bas (probablement hypertrophie de la prostate). Il faut confirmer le diagnostic par une imagerie (échographie ou scanner non injecté), et lever l’obstacle en posant une sonde à demeure. La dialyse pourra être évitée avec la reprise de la diurèse (celle-ci se fera spontanément sans l’aide de diurétiques).
Un scanner sans injection est réalisé.
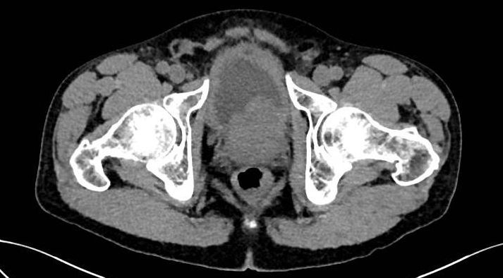
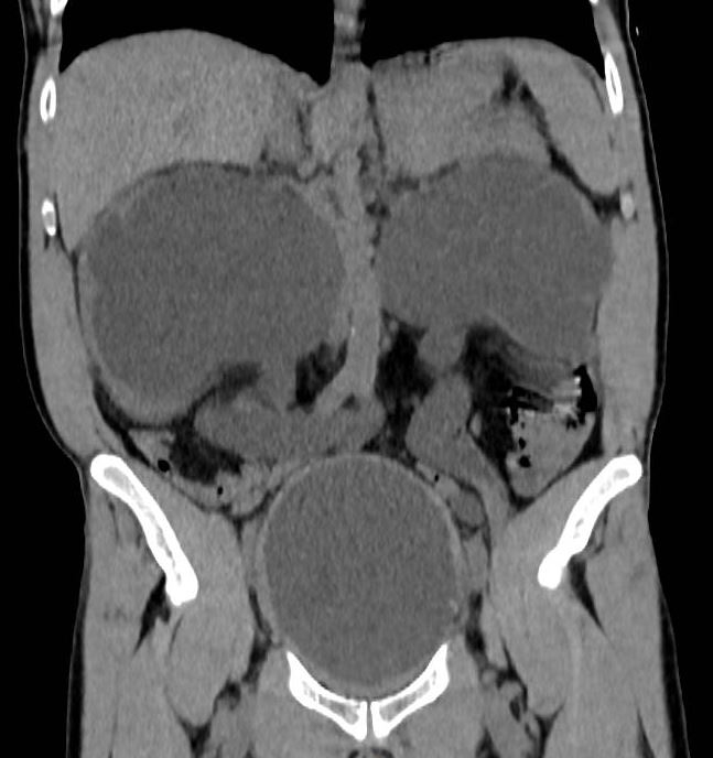
Question 8 : Parmi les propositions suivantes, lesquelles sont justes au vu des résultats du scanner ?
Le scanner montre une uretéro-hydronéphrose bilatérale avec globe vésical et dilatation importante des cavités pyélocalicielles. Sur la coupe axiale, on voit une hypertrophie de la prostate (surtout le lobe médian) compatible avec une hypertrophie bénigne de la prostate. Le diagnostic de cancer ne peut être éliminé mais les données du toucher rectal ne sont pas en faveur.
Vous réalisez un ECG (Figure 3). La kaliémie est à 5,2 mmol/l.
Question 9 : Concernant le traitement de l’hyperkaliémie, quelle prise en charge proposez-vous au vu de ces résultats ?
Le gluconate de calcium est indiqué en cas d’anomalie ECG liée à l’hyperkaliémie.
L’ECG ne montre pas de signe d’hyperkaliémie (ondes T pointues, troubles de conduction…). La levée de l’obstacle permettra la correction de l’insuffisance rénale et de la kaliémie (sauf en cas d’obstacle chronique ou l’insuffisance rénale peut rester fixée) et permettra d’éviter la dialyse. Des mesures simples peuvent permettre de corriger la kaliémie (résine échangeuse d’ions, ou de manière plus rapide de l’insuline rapide avec apport de soluté glucosé). Une sonde vésicale à demeure est mise en place, ramenant 2 000 cc d’urines.
4 heures plus tard, la diurèse spontanée du patient est de 1 200 ml. L’ionogramme retrouve :
Créatinine : 650 µmol/l ;
Sodium : 126 mmol/l ;
Potassium : 3.7 mmol/l.
Question 10 : Quels traitements proposez-vous dans cette situation ?
Le patient présente un syndrome de levée d’obstacle (polyurie osmotique suivant la levée de l’obstacle urologique), et la levée de l’obstruction permet une amélioration de la fonction rénale. Il faut compenser les pertes rénales volume pour volume pour éviter une déshydratation, et apporter du potassium pour éviter une hypokaliémie (par perte urinaire). Un apport hypotonique comme le glucosé sans NaCl n’est pas recommandé car le patient est déjà hyponatrémique et qu’il faut compenser les pertes urinaires en NaCl.
L’épisode évolue favorablement grâce à vos soins, et le patient subit une résection transurétrale de prostate permettant le sevrage de la sonde vésicale. Le caractère bénin de l’hypertrophie prostatique est confirmé. En revanche, le patient garde une insuffisance rénale sévère (débit de filtration glomérulaire [DFG] 21 ml/min/m²) séquellaire de cet épisode aigu.
Il vous revoit en consultation avec le bilan phosphocalcique suivant :
Calcémie corrigée : 2,18 mmol/l ;
Phosphorémie : 1,53 mmol/l ;
25(OH) vitamine D: 6 ng/ml (N > 30) ;
PTH : 175 (N : 11 – 54 pg/mL).
Question 11 : Parmi les propositions suivantes, lesquelles sont exactes ?
Le patient présente une carence en 25(OH) vitamine D qui représente la forme de réserve de la vitamine D. Celle-ci est de nouveau hydroxylée dans le rein en 1,25(OH) vitamine D (calcitriol) qui est la forme active, réaction déficitaire en cas d’insuffisance rénale. Chez ce patient, la carence en 25(OH) vitamine D (et donc probablement en calcitriol) entraîne une augmentation réactionnelle de la PTH pour maintenir une calcémie normale, il s’agit donc d’une hyperparathyroïdie secondaire. En cas d’autonomisation d’une hyperparathyroïdie secondaire (avec apparition d’une hypercalcémie), on parle d’hyperparathyroïdie tertiaire.
Question 12 : Parmi les propositions suivantes, quels traitements proposez-vous au patient ?
Corriger la carence en 25(OH) vitamine D, et prescrire un régime pauvre en phosphore et comprenant environ 1 g/j de calcium élément. L’apport de calcitriol est à éviter en première intention car il peut favoriser l’hyperphosphorémie, et il faut d’abord corriger la 25(OH) vitamine D. La chirurgie des parathyroïdes n’est pas indiquée pour le traitement de l’hyperparathyroïdie secondaire.
Le patient se trouve asthénique, il a réalisé un hémogramme qui retrouve :
Hémoglobine 10,6 g/dl ;
VGM 76 fl ;
Réticulocytes 31 000/mm3 ;
Leucocytes 6 500/mm3 (formule normale) ;
Plaquettes 168 000/mm3 ;
Ferritine 12 ng/ml (N > 30) ;
CRP 5 mg/l.
Question 13 : Quelle prise en charge proposez-vous concernant l’anémie du patient ? (une ou plusieurs propositions)
Ici, l’anémie est probablement secondaire à une carence martiale, étant donné le caractère microcytaire et la ferritine basse. Le caractère est habituel en cas de carence martiale et ne doit pas faire réaliser un myélogramme. Il faut donc corriger la carence martiale et rechercher sa cause, avant de juger de l’opportunité d’introduire un traitement par EPO pour corriger l’anémie liée à l’insuffisance rénale.
Vous suivez le patient durant plusieurs années avant de le perdre de vue, alors que son DFG décline progressivement (13 ml/min lors de la dernière consultation). Quelques mois plus tard, il est hospitalisé en urgence dans votre service pour céphalées et dyspnée aigue alors qu’il rentre d’un séjour prolongé à l’étranger.
A l’examen clinique:
Pression artérielle 230/120mmHg, fréquence cardiaque 100/m, SpO2 91% en air ambiant, température 36.8°.
Vous retrouvez des crépitants des deux bases, il n’y a pas de détresse respiratoire aigüe et l’examen neurologique est normal.
L’ECG est inchangé en dehors d’une tachycardie sinusale.
Biologie:
Créatinine : 630 µmol/l
Sodium : 131 mmol/l
Potassium : 4.7 mmol/l
Réserve alcaline : 12 mmol/l
Hémoglobine 8,1 g/dl
VGM 85 fl
Leucocytes 5800/mm3 (formule normale)
Plaquettes 130000/mm3
Présence de quelques schizocytes au frottis
LDH : 420 UI/l (N>250)
Haptoglobine indosable
Question 14 : Quelles sont les hypothèses diagnostiques les plus probables devant ce tableau ?
Le tableau est celui d’une hypertension artérielle maligne, venant compliquer une insuffisance rénale terminale. Il existe un oedeme pulmonaire sans doute secondaire à l’hypertension et à la rétention hydrosodée sur un terrain de cardiopathie hypertensive, ainsi qu’un syndrome de microangiopathie thrombotique pouvant s’intégrer dans le cadre de l’HTA maligne. Une pneumopathie est moins probable étant donné l’absence de contexte infectieux. Il n’y a pas d’argument pour un lupus.
Vous tentez une déplétion hydro-sodée avec de fortes doses de diurétiques de l’anse, mais le lendemain, le patient reste oligurique (400ml/j). La pression artérielle est mesurée à 186/109mmHg malgré cinq traitements antihypertenseurs à bonne dose. L’examen cardiopulmonaire ainsi que la biologie sont inchangés par rapport à l’admission. Vous souhaitez réaliser une séance d’hémodialyse.
Question 15 : Dans cette observation, quels sont les éléments qui indiquent la dialyse à ce stade ?
Ce chiffre n’est pas une indication à la dialyse en soi. Il faudra évaluer la présence d'autres critères (cf commentaire général)
La kaliémie est à la limite supérieure de la normale et non menaçante sur l’ECG.
L’hyponatrémie n’est pas une indication à la dialyse.
Les indications à la dialyse sont l'insuffisance rénale terminale avec une surcharge hydrosodée oligo-anurique et/ou une hypertension artérielle difficile à contrôler, un syndrome urémique invalidant (nausées, dénutrition, crampes, prurit, péricardite, encéphalopathie…) et des troubles métaboliques sévères (hyperkaliémie, acidose métabolique, hyperphosphorémie).
- Confirmer le diagnostic, avec mesures tensionnelles en dehors du cabinet médical ;
- Mettre en place les mesures hygiéno-diététiques ;
- Réaliser un bilan initial ;
- Organiser une consultation d’information et d’annonce de l’HTA.