Vous recevez aux urgences Mme M., une patiente de 63 ans qui se plaint de douleurs en fosse iliaque gauche évoluant depuis quatre jours.
Elle a comme antécédent une hypertension artérielle traitée par amlodipine 5 mg, une constipation chronique pour laquelle elle a fait une coloscopie il y a trois ans qui était normale hormis des trous dans le côlon, lui a-t-on dit.
Elle vous dit que la douleur a commencé le soir, après avoir jardiné tout l’après-midi. Elle vous signale également des brûlures mictionnelles et une majoration de sa constipation.
Elle est sous anti-inflammatoires non stéroïdiens (AINS) depuis sept jours en raison de douleurs de coxarthrose.
Elle mesure 1,62 m et pèse 75 kg.
Cliniquement, elle a un abdomen souple, sensible en fosse iliaque gauche. Elle n’a pas de signe de choc.
Ses constantes : température (T°) = 38,3 °C ; fréquence cardiaque (FC) = 75 bpm ; pression artérielle (PA) = 148/75 mmHg ; taux de saturation en oxygène en air ambiant = 99 %.
Question 1 - Vous évoquez comme diagnostic(s) :
La douleur typique d’appendicite est en fosse iliaque droite. Cependant il faut toujours garder à l’esprit la possibilité d’un appendice ectopique. Même si cela est peu probable, l’appendicite reste un diagnostic possible.
Symptomatologie non évocatrice. La douleur de cholécystite est souvent post-prandiale, elle se situe en hypochondre droit et est associée à des vomissements.
La douleur de pancréatite est une douleur épigastrique irradiant dans le dos.
Triade diagnostique dans l’énoncé : fièvre + douleurs en fosse iliaque + aggravation des troubles du transit.
Diagnostic possible : fièvre, douleurs en fosse iliaque gauche.

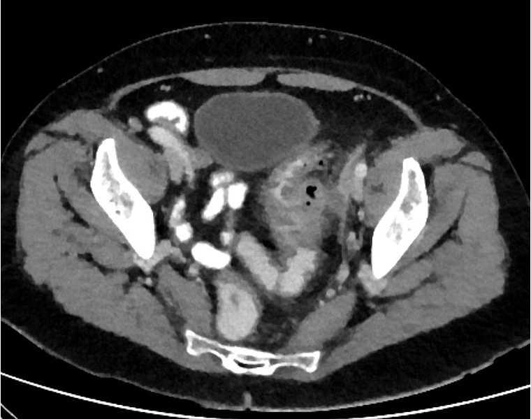
Ici, on suspecte donc une diverticulite devant la triade fièvre + douleurs en fosse iliaque gauche + troubles du transit.
Un diverticule est une hernie de la muqueuse et de la sous-muqueuse au travers d’une zone de faiblesse de la paroi musculaire. La diverticulite correspond à une inflammation d’un ou plusieurs diverticules.
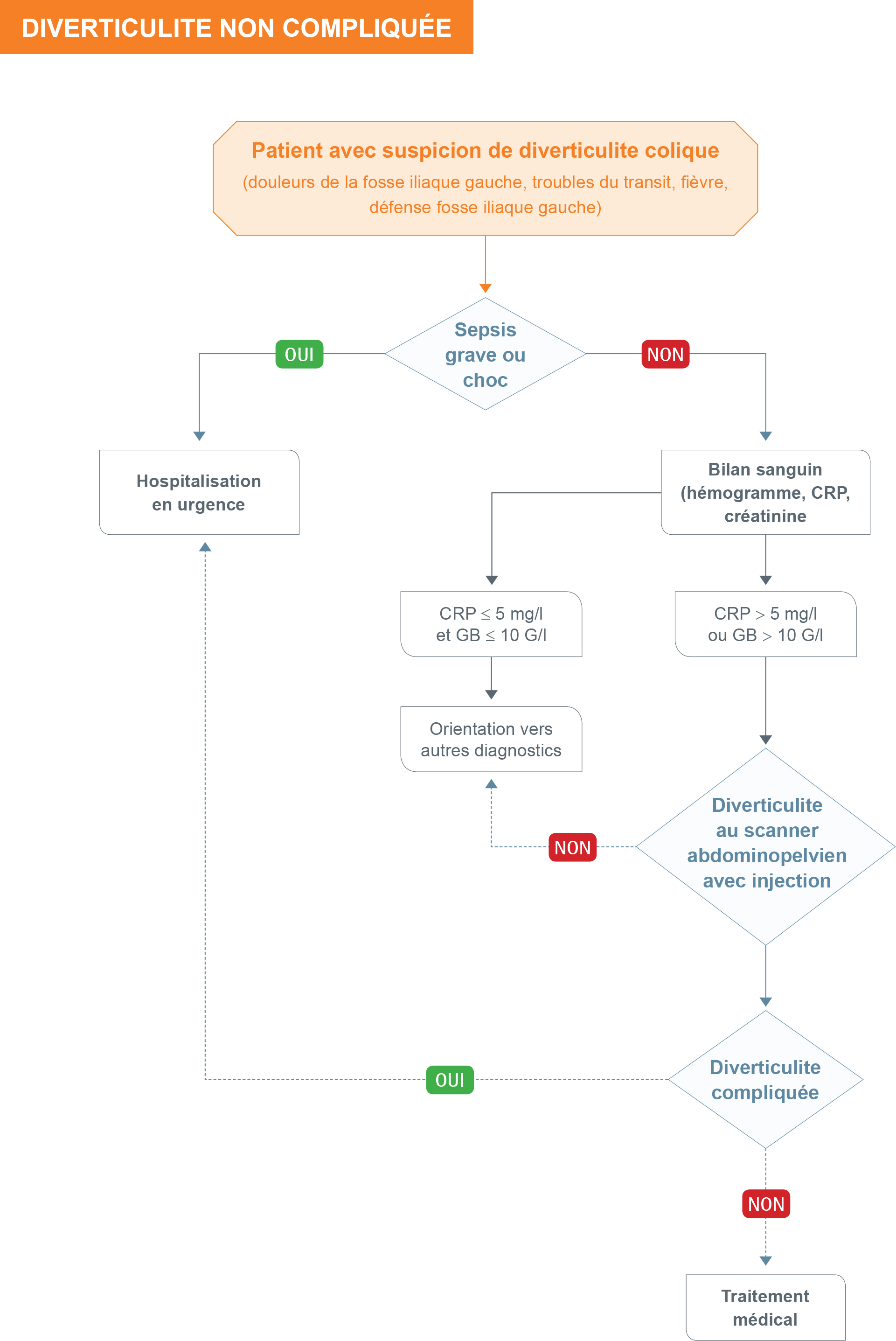
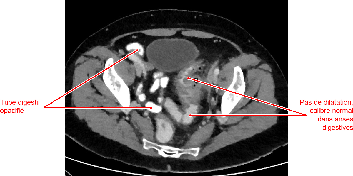
Le seul examen nécessaire au diagnostic est le scanner abdominopelvien avec injection qui confirmera le diagnostic, permettra d’identifier une éventuelle complication et guidera la thérapeutique.
L’opacification basse n’est pas nécessaire, elle n’apportera pas d’élément supplémentaire.
La coloscopie est contre-indiquée lors de la poussée de diverticulite car le risque de perforation est majoré.
L’IRM pelvienne n’est pas indiquée.