Cette patiente de 54 ans consultait pour une douleur abdominale aiguë, récente, épigastrique avec irradiations latéralisées à droite, sans fièvre, ni trouble du transit, ni nausée. L’examen clinique se résumait à une franche douleur de la zone concernée à la palpation, sans défense. L’abdomen était par ailleurs souple et indolore.
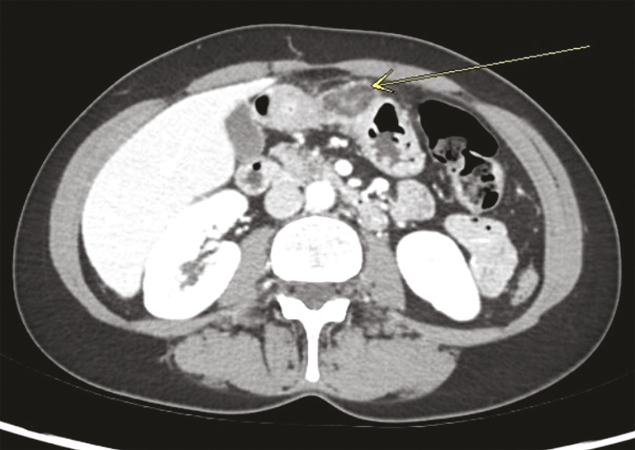
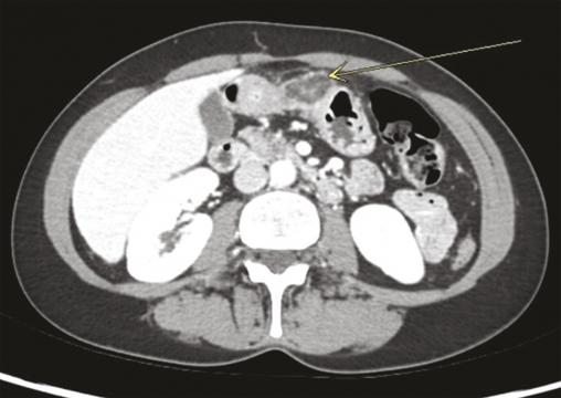
Biologiquement, la protéine C réactive (CRP) était à 31 mg/L, le bilan hépatique était normal. L’échographie a mis en évidence une vésicule alithiasique à parois fines sans dilatation des voies biliaires. La tomodensitométrie avec injection de produit de contraste, réalisée en urgence, a révélé un aspect typique de torsion de frange épiploïque (ou appendagite épiploïque) du côlon transverse, latéralisée à droite (figure).

Une frange épiploïque est un appendice graisseux suspendu au côlon, du cæcum au sigmoïde, de taille moyenne de 3 à 5 cm. Elle est recouverte de péritoine et possède une vascularisation terminale avec une artère et une veine. Lors d’une torsion, on observe une thrombose de cette veine, suivie d’une inflammation. Elle survient principalement chez les adultes entre 20 et 50 ans. Son incidence n’est pas réellement connue mais elle représente environ 5 % des tableaux abdominaux aigus. Cliniquement, le signe le plus fréquent est une douleur aiguë, le plus souvent en fosse iliaque droite, parfois récurrente. Les signes tels que la diarrhée ou les vomissements ne sont pas fréquents. Une fébricule est possible. Les examens biologiques sont peu contributifs, hormis un ­syndrome inflammatoire modéré. L’examen clé est le scanner abdo­minal injecté. Il montre une image typique, ovalaire, dépendante du côlon, dont la densité est graisseuse, avec un liseré prenant le contraste en périphérie (figure).
La prise en charge d’une torsion de frange épiploïque est symptomatique. Elle comprend des antalgiques et des anti-inflammatoires. Savoir poser le diagnostic de cette affection évite toute prise en charge invasive.1

Référence

1. Schnedl WJ, Krause R, Tafeit E, Tillich M, Lipp RW, Wallner-Liebmann SJ. Insights into epiploic appendagitis. Nat Rev Gastroenterol Hepatol 2011;8:45-9.

Une question, un commentaire ?