Mme X., 29 ans, consulte pour des brûlures mictionnelles évoluant depuis 24 heures. Elle décrit des envies mictionnelles fréquentes, suivies de mictions de moins de 50 mL toutes les 30 minutes environ. Elle est mariée, n'est pas enceinte, n'a pas d’enfant (G0P0), ni d’antécédent chirurgical, et ses antécédents médicaux se résument à une allergie aux fluoroquinolones. Il n’y a pas de notion de fièvre ni d’hématurie macroscopique. À l’examen clinique vous ne retrouvez pas de douleur abdominale ou lombaire. La bandelette urinaire (BU) revient positive aux leucocytes, nitrites et faiblement aux hématies. Vous concluez à un tableau de cystite simple.
Question 1 - Vous prescrivez à la patiente le(s) élément(s) suivant(s).
Patiente allergique aux fluoroquinolones.
Pas d’examen paraclinique nécessaire dans un contexte de cystite simple. La première cause d’hématurie est l’infection urinaire. Devant ce tableau de femme jeune sans comorbidités, avec un diagnostic évident de cystite, il n’est pas nécessaire de poursuivre les investigations en première intention. Monuril ou fluoroquinolone possible en prise unique ; une alternative peut être la nitrofurantoïne sur 5 jours.
Cet épisode est rapidement résolutif après votre traitement antibiotique bien conduit. En votre absence elle avait contacté votre remplaçant qui lui avait prescrit un ECBU de contrôle à la fin du traitement. Elle revient vous voir 15 jours plus tard avec les résultats de cet examen qui revient positif à Escherichia coli 104 multisensible. Elle est apyrétique, sans plainte mictionnelle.
Question 2 - Vous expliquez à la patiente :
La patiente est asymptomatique.
Elle a un germe dans les urines à un seuil significatif (> 103 chez la femme pour Escherichia coli) mais sans symptômes associés.
On ne traite pas les colonisations urinaires excepté en cas d’intervention sur les voies urinaires ou chez une femme enceinte.
Cf. correction de la réponse 3.
On ne prescrit pas de contrôle de l’analyse urinaire excepté en cas de mauvaise évolution des symptômes après 48-72 h de traitement bien conduit.
On ne réalise jamais d’ECBU de contrôle en cas de bonne évolution clinique et, quand bien même un germe est mis en évidence, il ne faut pas en tenir compte et ne pas le traiter.
Vous revoyez Mme X. deux ans plus tard, pour un épisode similaire de cystite simple. Elle vous signale avoir eu neuf épisodes identiques depuis son dernier rendez-vous en plus de celui-ci, soit environ un épisode tous les trois mois. Elle est apyrétique, sans douleur à l’ébranlement des fosses lombaires. La BU montre des leucocytes sans nitrites et des traces d’hématies.
Question 3 - Face à ces nouveaux éléments vous proposez :
Cf. commentaire général de la question 3.
Vrai, en cas de cystite simple à répétition, en l’absence de risque de complication, on traite chacun des épisodes comme un épisode isolé en plus des règles hygiénodiététiques.
Réalisation d’un ECBU et traitement adapté à l’antibiogramme en cas de critères à risque de complication (cf. commentaire général de la question 3).
Indiqué en cas de cystite avec un épisode par mois ou plus.
En cas d’absence de risque de complication il n’est pas nécessaire de réaliser un bilan étiologique poussé, cependant il est recommandé de s’assurer de l’absence d’anomalies organiques ou fonctionnelles uro-génitales, avec au moins un examen clinique et gynécologique, accompagné d’une débit-métrie avec calcul du résidu post-mictionnel pour s’assurer de la bonne vidange vésicale.
Il faut différentier les infections urinaires à risque ou non de complication.
Collège des enseignants d’urologie, 5e édition : « Les infections urinaires à risque de complication ayant au moins un des facteurs de risque suivants : – anomalies organiques ou fonctionnelles de l’arbre urinaire, quelles qu’elles soient (résidu vésical, reflux, lithiase, tumeur, acte récent...) ; – sexe masculin, du fait de la fréquence des anomalies anatomiques ou fonctionnelles sous-jacentes ; – grossesse ; – sujet âgé : patient de plus de 75 ans ou de plus de 65 ans avec ≥ 3 critères de fragilité (critères de Fried : perte de poids involontaire au cours de la dernière année, vitesse de marche lente, faible endurance, faiblesse/fatigue, activité́ physique réduite) ; – immunodépression grave ; – insuffisance rénale chronique sévère (clairance < 30 mL/min). Important : le diabète, même insulinorequérant, n’est plus considéré comme un facteur de risque de complication. »
Collège des enseignants d’urologie, 4e édition : «Règles hygiénodiététiques. Traitement prophylactique non antibiotique. Des mesures peuvent être proposées, bien que leur efficacité ne soit pas démontrée : des apports hydriques suffisants, des mictions non retenues, une régulation du transit intestinal, un arrêt des spermicides s’il y a lieu. La canneberge peut être proposée en prévention des cystites récidivantes à Escherichia coli à la dose de 36 mg/j de pro-anthocyanidine de type A (Duab®, Cyscontrol®...). Il semble y avoir une certaine accoutumance impliquant des prescriptions de trois mois qui peuvent être renouvelées. Les œstrogènes en application locale peuvent être proposés en prévention des cystites récidivantes chez les femmes ménopausées. »
Vous revoyez votre patiente en consultation six semaines plus tard. Elle vous dit avoir bien suivi vos consignes, cependant elle a eu à nouveau quatre épisodes de cystite dans l’intervalle, traités par le médecin traitant. À l’examen gynécologique le toucher vaginal est normal, vous ne retrouvez pas de cause obstructive. La débit-métrie est sans anomalie, et on ne retrouve pas de résidu post-mictionnel. Vous décidez, du fait de la fréquence des symptômes, de prescrire un traitement prophylactique hebdomadaire.
Question 4 - Vous prescrivez (une ou plusieurs réponses possibles) :
Toxicité hépatique et pulmonaire rare mais grave, à éviter donc sur le long cours.
Collège des enseignants d’urologie, 5e édition : « Une antibioprophylaxie ne doit être proposée que chez les patientes ayant au moins une cystite par mois, lorsque les autres mesures ont échoué. Un ECBU doit être réalisé au plus tard une à deux semaines avant le début de l’antibioprophylaxie et celui-ci doit être stérile. L’antibioprophylaxie n’est que suspensive et permet une diminution de la fréquence des cystites. L’antibioprophylaxie post-coïtale est aussi efficace qu’un traitement quotidien lorsque les rapports sexuels sont en cause. Mais le nombre de rapports doit être l’élément de discussion pour ne pas prescrire trop d’antibiotiques. Les antibiotiques recommandés en prophylaxie des infections urinaires récidivantes sont l’association TMP-SMX et la fosfomycine-trométamol. L’utilisation de nitrofurantoïne dans cette indication est formellement contre-indiquée. Fluoroquinolones et bêtalactamines doivent être évitées dans cette indication en raison du risque de sélection de résistance. On peut varier le choix des antibiotiques utilisés afin de réduire les résistances. »
Trois mois plus tard, Mme X. consulte aux urgences avec un tableau de fièvre et frissons au domicile. Elle se plaint de brûlures mictionnelles et de pollakiurie depuis 4 jours. À l’arrivée elle a une fièvre à 39 °C, la fréquence cardiaque est à 115 bpm, la tension artérielle est à 85/52 mmHg, et la saturation à 99 % en air ambiant. À l’examen clinique vous constatez des marbrures discrètes sur les membres inférieurs. L’examen neurologique et cardiopulmonaire est sans anomalie. L’abdomen est souple, sensible au niveau du flanc gauche, avec une douleur de la fosse lombaire gauche.
Question 5 - Vous prescrivez en urgence :
TDM-TAP avec et sans injection de produit de contraste. La TDM-TAP sans injection est l’examen de référence dans l’urgence, pour le diagnostic des colites néphrétiques (CN). Elle permet de voir les calculs radio-transparents à l’abdomen sans préparation (ASP).
Devant une suspicion d’obstacle des voies urinaires supérieurs, pas d’injection de produit de contraste, et pas de temps tardif car il expose à une majoration des symptômes en majorant la dilatation pyélocalicielle.
Ici fièvre, sepsis et douleur lombaire chez une femme jeune aux antécédents d’infection urinaire : il faut penser à la pyélonéphrite obstructive en priorité.
Collège des enseignants d’urologie, 5e édition : « Pyélonéphrite aiguë grave. Biologie Outre la BU et l’ECBU avec antibiogramme, un bilan biologique sanguin est recommandé : NFS, CRP, urée, créatinine. Les hémocultures sont systématiques. Imagerie Un uroscanner est indiqué, le plus souvent en urgence, et au plus tard dans les 24 heures. En cas de contre-indication, l’alternative est une échographie rénale. Ici on est dans le cas du sepsis grave avec une hypotension artérielle. Sepsis grave = sepsis + au moins un critère parmi : • lactates > 2 mmol/L (ou > 1,5 fois la normale) ; • hypotension artérielle systolique < 90 mmHg ou baisse de 40 mmHg par rapport au chiffre de base, ou moyenne < 65 mmHg, ou pression artérielle (PA) diastolique < 40 mmHg ; • dysfonction d’organe (une seule suffit) : – respiratoire : pression artérielle d’oxygène (PaO2) < 60 mmHg ou saturation pulsée en oxygène (SpO2) < 90 % à l’air ambiant (a fortiori sous O2), ou PaO2/FiO2 < 300, ou baisse de ce rapport de plus de 20 % chez le malade sous assistance ventilatoire, – rénale : oligurie < 0,5 mL/kg par heure, persistant pendant trois heures malgré le remplissage ou créatinine > 177 μmol/L (20 mg/L), ou élévation de plus de 50 % par rapport au chiffre de base, – coagulation : thrombopénie < 100 000/mm3 ou taux de prothrombine (TP) < 50 %, ou chute de plus de 30 % des plaquettes ou du TP sur deux prélèvements successifs. Présence d’une coagulation intravasculaire disséminée (CIVD), – hépatique : hyperbilirubinémie > 34 μmol/L. Fonctions supérieures : encéphalopathie. »
Collège des enseignants d’urologie, 5e édition : « Pyélonéphrite aiguë grave. Biologie Outre la BU et l’ECBU avec antibiogramme, un bilan biologique sanguin est recommandé : NFS, CRP, urée, créatinine. Les hémocultures sont systématiques. Imagerie Un uroscanner est indiqué, le plus souvent en urgence, et au plus tard dans les 24 heures. En cas de contre-indication, l’alternative est une échographie rénale. L’exploration du parenchyme rénal est indispensable à la recherche : – d’un obstacle avec dilatation des cavités pyélocalicielles ; – d’un foyer de néphrite : hypodensité triangulaire à base externe au temps sécrétoire, pathognomonique de la pyélonéphrite aiguë ; – d’un abcès rénal : collection infectieuse intra parenchymateuse ; – d’un phlegmon périnéphritique : infection contenue dans le fascia périrénal. » À noter que cette recommandation est à opposer à celle de ne pas injecter de produit de contraste en urgence face à un tableau de colique néphrétique. Ici, dans cette situation, il est licite de demander un scanner sans injection devant la forte suspicion d’obstacle des voies urinaires supérieures gauches.
Le bilan biologique est le suivant : leucocytes = 23 G/L ; hémoglobine = 12,8 g/dL ; plaquettes = 459 G/L ; sodium = 136 mmol/L ; potassium = 4,9 mmol/L ; bicarbonates = 22 mmol/L ; trou anionique = 17 ; urée = 7,5 mmol/L ; créatininémie = 95 μmol/L (antériorité à 65 μmol/L) ; débit de filtration glomérulaire selon CKD-EPI = 79 mL/min ; CRP = 89 mg/L.
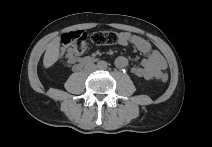
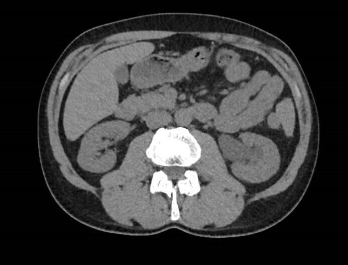
Voici les images clés du scanner réalisé (figures 1 et 2) : Figure 1 (Source : Théo Arber, La Revue du Praticien)
Figure 2 (Source : Théo Arber, La Revue du Praticien) Il n'y a pas d'abcès rénal.
Question 6 - Vous mettez alors en place :
Pas suffisant dans la pyélonéphrite grave.
Traitement de la pyélonéphrite obstructive, en urgence.
Jamais car risque d’aggraver le sepsis du fait de la pression imposée dans les cavités par la perfusion d’eau en cours d’urétéroscopie, la libération des germes qui peuvent être contenus dans le calcul. De plus, urothélium inflammatoire donc plus à risque de plaie de l’uretère lors du passage de l’urétéroscope. Globalement, la pyélonéphrite obstructive est une situation d’urgence qui nécessite le drainage en urgence des urines infectées et l’administration des antibiotiques.
Collège des enseignants d’urologie, 5e édition : « L’hospitalisation est systématique. Le traitement comporte une antibiothérapie, initialement probabiliste et un drainage chirurgical des urines en urgence en cas d’obstacle. Les céphalosporines de troisième génération (C3G) restent indiquées en traitement probabiliste, excepté lorsqu’une infection à bêtalactamases à spectre élargi (BLSE) est suspectée (colonisation urinaire ou infection à BLSE < 6 mois, antibiothérapie par pénicilline + inhibiteur, C2G, C3G ou fluoroquinolones < 6 mois, voyage récent en zone d’endémie de BLSE, hospitalisation < 3 mois, vie en long séjour). L’antibiothérapie probabiliste des pyélonéphrites aiguës (PNA) graves repose donc sur l’association C3G parentérale (céfotaxime ou ceftriaxone) + amikacine sauf dans les cas suivants : – en cas d’allergie : aztréonam + amikacine ; – en cas de suspicion d’infection à BLSE : carbapénème (imipénème ou méropénème) + amikacine. La PNA obstructive est une véritable urgence médico-chirurgicale. Il existe une indication formelle à un drainage chirurgical des voies urinaires du haut appareil en urgence, soit par cathétérisme urétéral rétrograde (sonde urétérale ou sonde JJ), soit par néphrotomie percutanée échoguidée, en fonction des conditions anatomiques. Ce drainage chirurgical sera associé à une bi-antibiothérapie d’emblée. La cause de l’obstruction (lithiase, compression extrinsèque, tumeur de l’uretère...) sera toujours traitée secondairement. Le traitement de relais après résultat de l’antibiogramme fait appel aux mêmes molécules que pour les PNA sans signe de gravité. La durée du traitement d’une PNA grave est de 10 à 14 jours. Une durée supérieure à 21 jours est à discuter dans certaines situations exceptionnelles (abcès rénal, par exemple). »
Une sonde double J a été posée au bloc dans les cavités pyélocalicielles gauches de Mme X. Elle est sous céfotaxime et amikacine, et devient apyrétique 24 heures après l’intervention. Vous obtenez à J2 de l’intervention les résultats de l’ECBU prélevé aux urgences ainsi que l’antibiogramme associé (tableau). Tableau (Théo Arber, La Revue du Praticien)À noter : la ceftriaxone et la céfotaxime ont le même spectre et le même type d’action.
Question 7 - Vous laissez rentrer la patiente à son domicile avec comme consignes :
Privilégier les traitements par voie orale.
Seul traitement à tropisme urinaire dans cette situation, par voie orale, pour 14 jours dans les formes graves et non pas 7.
Idem : voie intraveineuse et néphrotique sur le long court. C’est un médicament de l’urgence.
Pas en traitement supérieur à 5 jours. À réserver pour la cystite simple.
Uniquement en cas d’évolution défavorable.
Collège des enseignants d’urologie, 5e édition : «Traitement de la pyélonéphrite aiguë. Un traitement antibiotique probabiliste doit être débuté immédiatement après la réalisation de l’ECBU. Il doit être adapté à 48 heures en fonction des données de l’antibiogramme, en choisissant un antibiotique du spectre le plus étroit possible, à bonne diffusion rénale. La durée du traitement est de 7 jours en cas de traitement par fluor quinolone ou bêtalactamine parentérale, 10 à 14 jours dans les autres cas. Le traitement de relais après résultat de l’antibiogramme fait appel aux mêmes molécules que pour les PNA sans signe de gravité. La durée du traitement d’une PNA grave est de 10 à 14 jours. Une durée supérieure à 21 jours est à̀ discuter dans certaines situations exceptionnelles (abcès rénal, par exemple). Le suivi est essentiellement clinique. Il est recommandé́ de ne pas prévoir d’ECBU de contrôle sous et après traitement. En cas d’évolution défavorable sous traitement (fièvre après 72 heures) : – ECBU avec antibiogramme ; – uroscanner (sauf contre-indication). L’acide clavulanique ayant une mauvaise diffusion urinaire, on ne prescrit pas d’Augmentin pour les infections urinaires. »
La première cause d’hématurie est l’infection urinaire. Devant ce tableau de femme jeune sans comorbidités, avec un diagnostic évident de cystite, il n’est pas nécessaire de poursuivre les investigations en première intention.
Monuril ou fluoroquinolone possible en prise unique ; une alternative peut être la nitrofurantoïne sur 5 jours.