Une patiente de 65 ans, diabétique de type 2 sous antidiabétiques oraux depuis cinq ans, se présente aux urgences pour des douleurs lombaires gauches remontant à quelques semaines, aggravées depuis quatre jours. S’y ajoutent des vomissements et une altération globale de l’état général. À l’admission, la patiente est en décompensation acidocétosique, avec une glycémie capillaire à 5,3 g/L et des corps cétoniques urinaires. La bandelette urinaire révèle aussi la présence d’une leucocyturie. Le bilan infectieux est perturbé, avec une hyperleucocytose à polynucléaires neutrophiles (PNN) dominants et une protéine C-réactive (CRP) à 130 mg/L. La fonction rénale est conservée.
Une échographie rénovésicale est réalisée dans un premier temps, objectivant de larges zones hyperéchogènes avec atténuation postérieure masquant l’ensemble du rein gauche et posant l’indication d’un complément d’exploration scanographique.
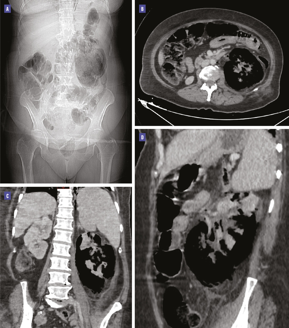
La tomodensitométrie (TDM) abdominopelvienne avec injection de produit de contraste montre la présence de gaz dans le parenchyme rénal gauche et la voie excrétrice supérieure avec une destruction parenchymateuse diffuse, et une extension des bulles au-delà du fascia de Gerota, sans obstacle visible, en rapport avec une pyélonéphrite emphysémateuse de stade 3B selon la classification de Huang et Tseng (figure).
Le diagnostic de pyélonéphrite emphysémateuse avec sepsis est posé, et la patiente est mise d’emblée sous bi-antibiothérapie ainsi que sous insulinothérapie. Parallèlement, l’indication d’une néphrectomie en urgence est posée. L’examen cytobactériologique des urines et les cultures révèlent la présence d’Escherichia coli. L’évolution est favorable, avec un contrôle clinico-biologique et échographique satisfaisant à deux mois.

La pyélonéphrite emphysémateuse est une infection nécrotique du rein caractérisée par la présence de gaz au sein du parenchyme, des cavités excrétrices ou des espaces périrénaux. C’est une affection grave, engageant rapi­dement le pronostic vital en raison du développement d’un état de choc septique et, à terme, d’un syndrome de dysfonction multiviscérale. Le point de départ est l’infection du rein par une variété de bactéries gazogènes, majoritairement des bacilles à Gram négatif, exceptionnellement des germes anaérobies stricts. Le diagnostic est suspecté devant une pyélonéphrite répondant mal au traitement antibiotique ou présentant des signes de gravité, surtout chez un patient diabétique. Il est confirmé radiologiquement.1 La localisation du gaz dans le parenchyme rénal (pyé­lonéphrite emphysémateuse), dans l’espace périrénal (périnéphrite emphysémateuse) ou dans la voie excrétrice urinaire (pyélite emphysémateuse) est à la base de sa classification radiologique, élément crucial pour définir la prise en charge thérapeutique et la détermination du pronostic.
L’attitude thérapeutique est actuellement de plus en plus conservatrice,2 fondée sur les mesures de réanimation, une antibiothérapie adaptée précoce en plus du drainage percutané des collections périrénales et du drainage des voies urinaires en cas d’obstruction. La néphrectomie devrait être réservée aux formes extensives avec plusieurs dysfonctions d’organes ou en cas d’échec du traitement conservateur.

Références

1. Kaiser E, Fournier R. Pyélonéphrite emphysémateuse : diagnostic et traitement. Ann Urol 2005;39(2):49-60.
2. Saadi A, Ayed H, Bouzouita A, Cherif M, Kerkeni W, Selmi S, et al. Résultats du traitement conservateur de la pyélonéphrite emphysémateuse. Néphrologie et Thérapeutique 2016;12(7):508-15.

Une question, un commentaire ?