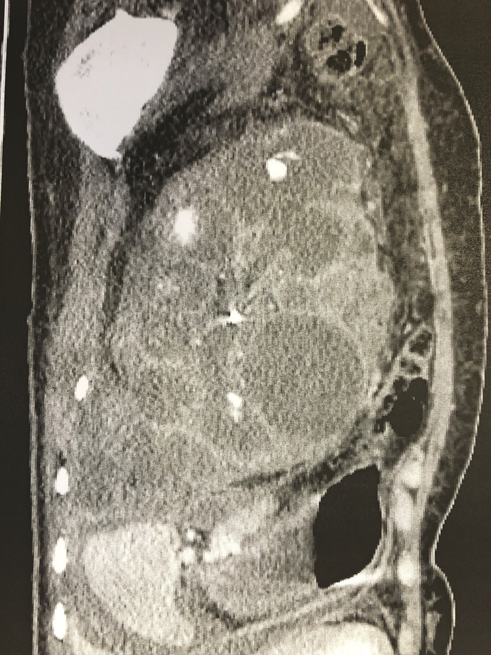
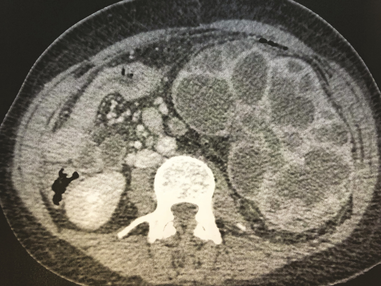
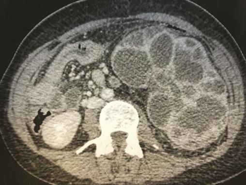
Cette patiente de 33 ans consultait pour des douleurs abdominales fébriles (38,9 °C). L’examen clinique notait une défense du flanc gauche sans autres anomalies. Le bilan biologique montrait des leucocytes à 21 740 /mm3 et une CRP à 312 mg/L. La tomodensitométrie (TDM) abdominopelvienne montrait une hypertrophie rénale gauche de 20 cm de grand axe et une dilatation des cavités pyélocalicielles avec de multiples abcès et cavités liquidiennes en faveur d’une pyélonéphrite xanthogranulomateuse diffuse (fig. 1 et 2). Une antibiothérapie par ceftriaxone, métronidazole et gentamycine était instaurée puis adaptée à l’antibiogramme (Proteus mirabilis multisensible) par amoxicilline seule. En l’absence d’amélioration biologique et à la TDM au 5e jour, une néphrectomie gauche était réalisée (fig. 3). L’anatomopathologie notait un tissu de granulation riche en cellules xanthomateuses et un infiltrat inflammatoire polymorphe remplaçant le parenchyme rénal.
La pyélonéphrite xanthogranulomateuse est une forme rare de pyélonéphrite (0,6 à 1,4 %) touchant surtout les femmes (3/1) entre 50 et 70 ans.1 Sa définition est histologique. Il existe une forme focale avec un tableau clinique pauvre, et une forme diffuse correspondant à une pyonéphrose. La TDM est l’examen de référence : elle permet de chercher un obstacle des voies urinaires et la destruction focale ou complète du rein. Le traitement repose sur une néphrectomie partielle ou totale, associée à une montée de sonde en cas d’obstacle, qui doit être réalisée sous couvert d’une antibiothérapie. Dans la forme focale, quelques cas de guérison par traitement médical seul ont été rapportés.2

Une question, un commentaire ?