[Mis à jour le 01/06/23]

Vous recevez Mme D., patiente âgée de 42 ans, qui se plaint de constipation. Cette constipation est apparue il y a trois mois environ, alors qu’elle a toujours eu un transit normal.

Le nombre de selles est effectivement très réduit (maximum 2 à 3 selles par semaine). Elle ne se plaint pas de douleur abdominale, n’éprouve pas de difficulté lors de la défécation, juste une fatigue depuis trois à quatre semaines.

Mme D. prend pour seul médicament de l’Effexor pour un syndrome dépressif. Elle a pour seul autre antécédent personnel un prolapsus mitral connu depuis l’enfance, elle n’a pas d’allergie. Ses cycles menstruels sont réguliers et sans anomalie, elle sort régulièrement pour voir des expositions avec des amies, n’éprouve pas de tristesse particulière.

Mme D. pèse 85 kg pour 1,65 m, la température est de 37,6 °C, les paramètres vitaux sont normaux. La palpation abdominale ne révèle pas de douleur particulière, les bruits hydro-aériques sont présents, l’examen périnéal est sans particularité, le toucher rectal ne retrouve pas de masse, le doigtier est marqué par des traces de selles foncées. La palpation cervicale est normale, l’examen cardio-respiratoire est normal, les réflexes ostéo-tendineux sont tous présents, faibles, la sensibilité superficielle et la motricité sont normales.
Question 1 - À ce stade de votre démarche diagnostique vous estimez que Mme D. peut vraisemblablement avoir (une ou plusieurs réponses exactes) :
L’exonération est normale.
Sur le plan digestif, le tableau clinique se résume à une constipation avec signes d’alerte :
– constipation (≤3 selles par semaine),
– d’apparition récente,
– fatigue secondaire à la constipation.
En complétant votre examen, vous retrouvez une pâleur conjonctivale. Mme D. vous apporte un bilan qu’elle a récemment réalisé.
Hémogramme :
– Hb : 8,9 g/dL,
– VGM : 82 fL,
– CCMH : 31 UI/L
– Leucocytes : 7,5 G/L, dont PNN : 4,4 G/L,
– Lymphocytes : 2,0 G/L,
– Monocytes : 0,1 G/L,
– Plaquettes : 550 G/L,
– Créatinine sanguine : 75 µmol/L (DFG = 74 ml/min),
– Urée 8,5 mmol/L,
– Sodium : 140 mmol/L,
– Potassium : 3,8 mmol/L.
Question 2 - Ces données supplémentaires rendent le tableau général compatible avec (une ou plusieurs réponses exactes) :
Non compatible avec le tableau constipation + anémie.
Elle apparaît rarement sous la forme d’une constipation.
Non, absentes au toucher rectal, et sont un diagnostic d’exclusion dans le cadre d’un saignement d’origine digestive.
Le tableau se précise vers une constipation avec signe d’alerte : anémie + constipation.
Question 3 - À ce stade il est judicieux de prescrire (une ou plusieurs réponses exactes) :
À doser devant une constipation.
On recherche une hypothyroïdie.
On a déjà exclu le diagnostic de maladie cœliaque.
On recherche une anémie ferriprive.
Non, le seul signe d’alerte est l’apparition récente de la constipation. La balance bénéfice-risque pour une coloscopie est encore limite à ce stade des explorations, surtout qu’une hypothyroïdie reste probable dans ce contexte. La FOGD pourrait se discuter en cas de carence martiale avérée.
Indications de la coloscopie devant un tableau de constipation :
– Modification du calibre des selles
– Sang dans les selles
– Anémie ferriprive
– Symptômes d’obstruction
– Patients de > 50 ans n’ayant pas subi d’examen de dépistage pour le cancer colique
– Constipation d’apparition récente
– Rectorragie
– Prolapsus rectal
– Perte pondérale
Vous revoyez Mme D. et les résultats des examens prescrits précédemment sont les suivants :
– Fer sérique : 12 mmol/L,
– Ferritine : 320 UI/L,
– Coefficient de saturation de la transferrine : 8 %,
– TSH : 3,5 mUI/L,
– Glucose à jeûn : 7,2 mmol/L,
– TP : 90%,
– TCA patient : 32 s,
– TCA témoin : 30 s,
– Calcium : 2,25 mmol/L,
– Phosphates : 1,1 mmol/L,
– Albumine : 36 g/L.
Question 4 - Mme D. a (une ou plusieurs réponses exactes) :
Non, il y a une anémie et une thrombocytose, pas d’anomalie des leucocytes.
Non, pas d’hypocalcémie, pas d’anémie normocytaire avec anisocytose, pas de diarrhée.
Non, TSH normale.
Anémie microcytaire et hypochrome, hyposidérémie, thrombocytose réactionnelle, deux diagnostics sont en lice : le syndrome inflammatoire et la carence martiale. Ici, le coefficient de saturation de la transferrine effondré ( 10 %) est en faveur d’une carence martiale. Le syndrome inflammatoire cause une augmentation de la ferritinémie, une carence martiale provoque une baisse de la ferritinémie. Les deux mécanismes se compensent, d’où la « normalité » de la ferritinémie.
Question 5 - Vous réalisez comme exploration(s) complémentaire(s) :
Le test immunologique est un test de dépistage et s’adresse aux patients asymptomatiques. Ce n’est pas le cas ici. 
En deuxième intention, la constipation oriente plutôt vers une origine colique que digestive haute (gastrique ou duodénale).
Inutile dans l’exploration d’une constipation.
Toujours pas de maladie cœliaque.
Nous y sommes !
L’hypothyroïdie est éliminée, les explorations biologiques retrouvent une carence martiale et un syndrome inflammatoire, l’indication de la coloscopie est maintenant formelle.
L’endoscopiste vous adresse les images clés suivantes et vous indique que l’examen a permis d’explorer l’ensemble du côlon ainsi que la valvule iléo-caecale.
Question 6 - Vous estimez que (une ou plusieurs réponses exactes) :
Le diagnostic histologique de la maladie cœliaque se fait à partir de biopsie duodénale montrant une atrophie villositaire.
Pas de diverticules.
Seule une masse est visible.
La muqueuse est globalement saine.
La muqueuse colique est globalement saine mais on distingue une masse anormale sigmoïdienne.
Vous recevez les résultats de la biopsie réalisée le jour de la coloscopie. Le compte-rendu mentionne : « Biopsies d’une masse sigmoïdienne au cours d’une coloscopie réalisée pour le bilan d’une carence martiale. Prolifération compatible avec un adénocarcinome lieberkhünien envahissant la sous-muqueuse, franchissant la musculaire-muqueuse et allant jusqu’à la limite profonde des prélèvements. Couche musculeuse prélevée superficiellement. »
Question 7 - Vous concluez que (une ou plusieurs réponses exactes) :
Les prélèvements réalisés permettent d’explorer la muqueuse colique de manière satisfaisante.
Non, le polype « avancé » correspond à un adénome transformé. Ici on est déjà au stade de carcinome donc de cancer.
Oui, il s’agit d’un carcinome invasif T2 au minimum.
Non, c’est le type histologique le plus fréquent.
Question 8 - Votre bilan à ce stade de la maladie comporte (une ou plusieurs réponses exactes) :
C’est l’examen de référence pour le bilan d’extension d’un cancer du côlon.
Moins performant que le scanner abdominal pour la détection des nodules péritonéaux et des adénopathies profondes.
Inutile, trop sensible, trop de faux positif : le TEP-scan est un examen non spécifique. Il n’a pas sa place en première intention dans le bilan d’extension d’un cancer du côlon.
Non, uniquement si point d’appel neurologique à l’examen clinique.
Oui, utile en pré-opératoire et pour le suivi de la maladie. Un marqueur non augmenté ne remet pas en question le diagnostic de cancer colique.
Les indications du TEP-scan au 18-FDG dans le cancer colorectal :
– Patient opéré ayant une augmentation isolée de l’ACE (récidive biologique sans point d’appel clinique),
– Patient « oligométastatique » chez qui on envisage un traitement chirurgical des métastases. Le TEP-TDM est utile pour rechercher d’autres localisations de la maladie. En effet, si un autre foyer métastatique existe, le traitement chirurgical des métastases, lourd dans le contexte d’un patient qui devra aussi être opéré de sa tumeur primitive, devient inutile car on ne pourra pas réséquer toute la maladie tumorale.
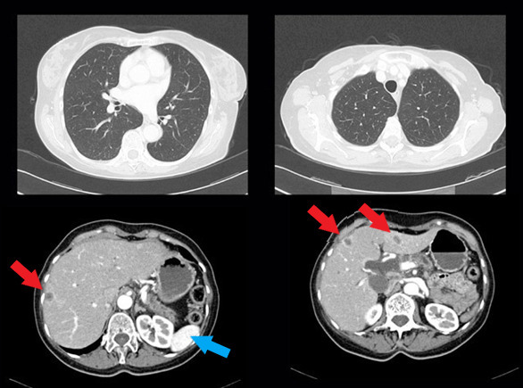
Vous recevez les résultats du scanner demandé (ci-dessous) ; les coupes sont représentatives et suffisent à conclure pour les organes explorés.
Question 9 - Sur cet examen, vous notez (une ou plusieurs réponses exactes) :
Le parenchyme pulmonaire est normal, on distingue uniquement les structures bronchovasculaires habituelles. En revanche on note des lésions hypodenses avec une prise de contraste périphérique hépatiques (flèches rouges) évoquant des lésions secondaires. Le reste du scanner est normal, la rate est visible (flèche bleue).
Le compte rendu du scanner confirme la présence de lésions secondaires hépatiques.
Voici les résultats de votre bilan :
– ASAT : 45 UI/L (N = 32) ;
– ALAT : 55 UI/L (N = 32) ;
– Phosphatases alcalines : 135 UI/L (N = 120) ;
– GammaGT : 75 UI/L (N = 30) ;
– Bilirubine totale : 6 UI/L ;
– CRP : 45 mg/L ;
– LDH : 210 (N = 120) ;
– ACE : 125 ngI/L (norme 10 ng/L).
Complément d’examen anatomopathologique : absence de mutation pour les gènes K-RAS, N-RAS et B-RAF. Le profil génétique compatible avec une instabilité des microsatellites = MSI.
Vous préparez le dossier en vue de la RCP.
Question 10 - Quelle(s) séquence(s) thérapeutique(s) est/sont envisageable(s) chez Mme D. ?
Non, la radiothérapie n’a pas sa place dans le traitement du cancer du côlon car haut risque de toxicité digestive (grêle radique). Elle est par contre utilisée dans les cancers localement avancés du rectum.
L’Avastin est envisageable car pas de contre-indication (EP, MTEV, fistule, hémorragie, chirurgie récente, lésion cérébrale hémorragique).
Non, la mucosectomie est réservée aux tumeurs localisées et de petite taille (T1).
Le patient est métastatique, il a plusieurs métastases hépatiques. Ceci élimine d’office toutes les propositions correspondant au traitement d’une tumeur localisée, à savoir colectomie segmentaire +/- chimiothérapie adjuvante.
Question 11 - Que pensez-vous du risque familial de cancer du côlon de Mme D. (une ou plusieurs réponses exactes) ?
Oui, survenue d’un cas de cancer de côlon avant 50 ans.
Non, la coloscopie ne retrouve pas de polype, et l’âge de survenue est relativement tardif pour un tel syndrome.
Oui, absence de polypose en coloscopie (non polyposis), l’âge est tout à fait compatible et enfin l’instabilité des microsatellites est un argument supplémentaire (mais ne suffit pas à confirmer le diagnostic de syndrome de Lynch).
Mme D. accepte votre traitement. Vous la revoyez pour sa deuxième cure de chimiothérapie par Folfox (5 Fluoro-uracile et Oxaliplatine) et Erbitux (cetuximab, anti-EGFR). Elle se plaint de picotements dans les mains et les pieds d’une part, qui vont en s’aggravant progressivement, et d’autre part de l’apparition de boutons sur le visage, sur le torse et dans le haut du dos.
Question 12 - Que pensez de la plainte de Mme D. concernant les picotements (une ou plusieurs réponses exactes) ?
Non, le 5-FU ne donne pas de neuropathie.
Oui, c’est la principale toxicité de l’oxaliplatine. C’est d’ailleurs la toxicité qui fait arrêter l’oxaliplatine parfois de manière prématurée.
Non, le cetuximab ne donne pas de neuropathie.
Non, la topographie bilatérale, symétrique et distale est en faveur d’une neuropathie métabolique ou médicamenteuse. Elle serait donc plutôt en faveur d’un effet secondaire de la chimiothérapie dans ce contexte.
Ces gants sont utilisés pour prévenir la toxicité unguéale des taxanes.
Attention à ne pas conclure trop vite à la toxicité de la chimiothérapie au moindre symptôme apparaissant. Il faut toujours soigneusement décrire la sémiologie et explorer les autres hypothèses diagnostiques (AVC, métastase cérébrale…, ou pathologie bénigne).
Mme D. se plaint aussi de l’apparition de boutons sur le visage, sur le torse et dans le haut du dos depuis quelques jours.
Question 13 - Que signifie pour vous l’apparition des boutons (une ou plusieurs réponses exactes) ?
Pas de décollement cutané.
Oui, il s’agit de papules et pustules du visage.
Les pustules ne sont pas en faveur de même que la topographie.
Oui, c’est la première toxicité des inhibiteurs de l’EGFR. Elle est souvent corrélée à une bonne réponse tumorale. On peut proposer un traitement par doxycycline per os.
Vous revoyez Mme D. en consultation d’évaluation après 3 cures. L’oxaliplatine a été arrêtée après 5 cures en raison de l’aggravation des paresthésies. La masse colique est toujours en place, la constipation est persistante mais le transit est conservé, son poids est actuellement de 81,5 kg.
En arrêt maladie de longue durée, Mme D. sort quotidiennement de chez elle et fait 1 h de sieste 2 à 3 fois par semaine, mais le reste du temps est active.
Elle vous apporte les résultats du scanner d’évaluation, qui retrouve une augmentation de 25 % de la taille des métastases hépatiques et l’apparition de 2 nodules pulmonaires. La biologie retrouve :
– ASAT : 58 UI/L (N 32) ;
– ALAT : 65 UI/L (N 32) ;
– Phosphatases alcalines : 155 UI/L (N = 120) ;
– GammaGT : 90 UI/L (N = 30) ;
– Bilirubine totale : 10 UI/L ;
– Créatinine sanguine : 78 µmol/L ;
– Urée : 8,9 mmol/L ;
– Sodium : 140 mmol/L ;
– Potassium : 3,8 mmol/L ;
– Calcium : 2,25 mmol/L ;
– Phosphates : 1,1 mmol/L ;
– Albumine : 34 g/L ;
– CRP : 65 mg/L.
Un essai clinique dont vous êtes investigateur est en cours. Il évalue la place de l’immunothérapie par pembrolizumab dans le cancer du côlon. Les critères d’inclusion et d’exclusion sont les suivants.
Critère d’inclusion :
– Cancer colique métastatique en progression radiologique selon les critères RECIST après une première ligne de traitement à la discrétion du médecin traitant.
Critères d’exclusion :
– Traitement préalable par anti-angiogéniques ;
– Indice de performance de l’OMS supérieur ou égal à 2 ;
– Syndrome occlusif ;
– Insuffisance rénale (DFG < 60 mL/min selon Cockroft).
Question 14 - À propos de l’essai clinique, vous notez que (une ou plusieurs réponses exactes) :
Les critères RECIST se basent sur la taille de lésions cibles que l’on compare entre deux séquences de chimiothérapie. On prend aussi en compte la disparition des lésions non-cibles ou l’apparition de nouvelles lésions.
Et elle est stable depuis le début du traitement.
Ici l’IP est évalué à 1. La patiente reste parfaitement autonome mais est symptomatique. A priori simple, son évaluation s’avère toujours délicate. Attention à ne pas confondre la sieste avec un alitement.
Un traitement standard de 2ème ligne pourrait être proposé.
L’essai suit le modèle suivant : les patients sont inclus par tirage au sort soit dans le bras A dans lequel ils reçoivent Folfiri (ou Folfox si traités initialement par Folfiri) + Pembrolizumab, soit dans le bras B dans lequel ils reçoivent Folfiri (ou Folfox) + Placebo. À aucun moment le patient ou le médecin ne connaît le produit injecté (Pembrolizumab ou placebo).
Question 15 - Cochez la/les réponse(s) exacte(s) :
Non, c’est au promoteur de l’essai de souscrire à l’assurance.
Le traitement proposé dans le bras B est le traitement standard d’un patient en deuxième ligne d’un cancer du côlon.
L’oncologue référent, du moment qu’il est déclaré investigateur de l’essai, peut tout à fait assurer le suivi de sa patiente.

Exercez-vous aux ECN avec les dossiers progressifs et les LCA de La Revue du Praticien